Shopping Cart
Remove All
Your shopping cart is currently empty
Synonyms: KCC2A_HUMAN, CaMK-II subunit alpha, CAMKA, CAMK2G, CAMK2D, CAMK2B, CAMK2A, CAMK 2, CaM kinase II subunit alpha, CaM kinase II gamma, CaM kinase II delta, CaM kinase II beta, CaM kinase II alpha, CaM kinase II, Calcium/calmodulin-dependent protein kinase type II subunit alpha, Calcium/calmodulin dependent protein kinase II gamma, Calcium/calmodulin dependent protein kinase II delta, Calcium/calmodulin dependent protein kinase II beta, Calcium/calmodulin dependent protein kinase II alpha
| Pack Size | Price | USA Stock | Global Stock | Quantity |
|---|---|---|---|---|
| 50 μL | $298 | 7-10 days | 7-10 days | |
| 100 μL | $498 | 7-10 days | 7-10 days |
| Description | Anti-CaMK2 Antibody (2O871) is a Rabbit antibody targeting CaMK2. Anti-CaMK2 Antibody (2O871) can be used in ICC/IF,IHC,WB. |
| Synonyms | KCC2A_HUMAN, CaMK-II subunit alpha, CAMKA, CAMK2G, CAMK2D, CAMK2B, CAMK2A, CAMK 2, CaM kinase II subunit alpha, CaM kinase II gamma, CaM kinase II delta, CaM kinase II beta, CaM kinase II alpha, CaM kinase II, Calcium/calmodulin-dependent protein kinase type II subunit alpha, Calcium/calmodulin dependent protein kinase II gamma, Calcium/calmodulin dependent protein kinase II delta, Calcium/calmodulin dependent protein kinase II beta, Calcium/calmodulin dependent protein kinase II alpha |
| Ig Type | IgG |
| Clone | 2O871 |
| Reactivity | Human,Mouse,Rat |
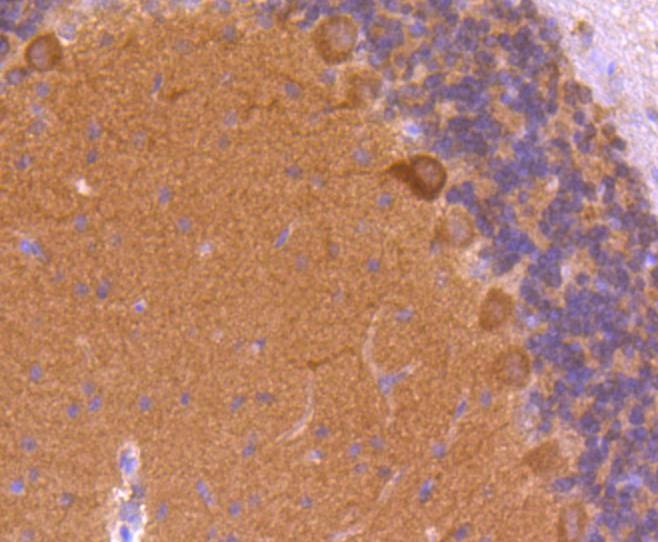
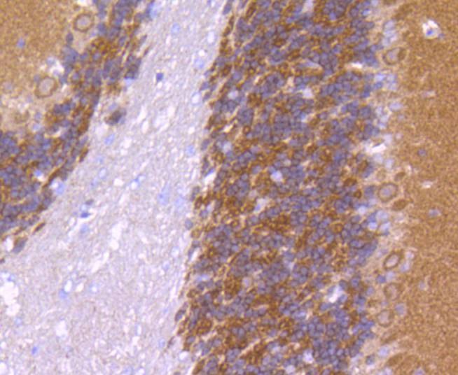
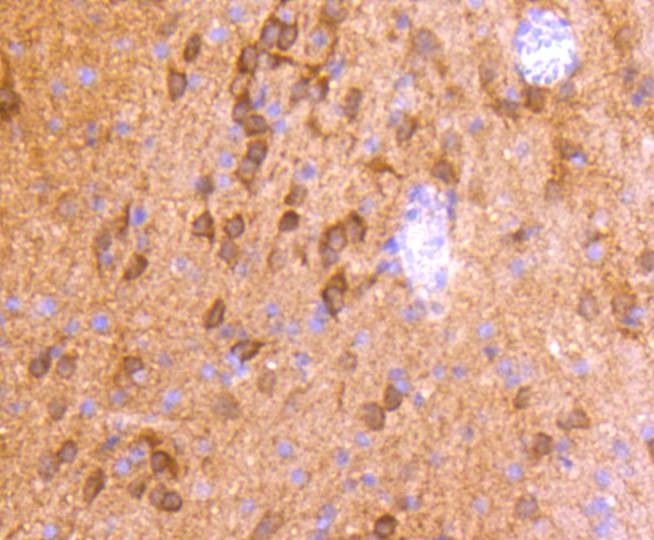
| Verified Activity | 1. Western blot analysis of CaMKⅡ on different lysates using anti-CaMKⅡ antibody at 1/1,000 dilution. Positive control: Lane 1: SH-SY-5Y, Lane 2: PC-12, Lane 3: SHG-44. 2. Immunohistochemical analysis of paraffin-embedded rat brain tissue using anti-CaMKⅡ antibody. Counter stained with hematoxylin. 3. Immunohistochemical analysis of paraffin-embedded rat cerebellum tissue using anti-CaMKⅡ antibody. Counter stained with hematoxylin. 4. Immunohistochemical analysis of paraffin-embedded mouse brain tissue using anti-CaMKⅡ antibody. Counter stained with hematoxylin. 5. Immunohistochemical analysis of paraffin-embedded mouse cerebellum tissue using anti-CaMKⅡ antibody. Counter stained with hematoxylin. 6. ICC staining CaMKⅡ in Hela cells (green). The nuclear counter stain is DAPI (blue). Cells were fixed in paraformaldehyde, permeabilised with 0.25% Triton X100/PBS. 7. ICC staining CaMKⅡ in PC-12 cells (green). The nuclear counter stain is DAPI (blue). Cells were fixed in paraformaldehyde, permeabilised with 0.25% Triton X100/PBS. 8. ICC staining CaMKⅡ in SHG-44 cells (green). The nuclear counter stain is DAPI (blue). Cells were fixed in paraformaldehyde, permeabilised with 0.25% Triton X100/PBS. |
| Application | |
| Recommended Dose | WB: 1:1000-2000; IHC: 1:50-200; ICC/IF: 1:50-200 |
| Antibody Type | Monoclonal |
| Host Species | Rabbit |
| Construction | Recombinant Antibody |
| Purification | ProA affinity purified |
| Appearance | Liquid |
| Formulation | 1*TBS (pH7.4), 1%BSA, 40%Glycerol. Preservative: 0.05% Sodium Azide. |
| Research Background | The Ca2+/calmodulin-dependent protein kinases (CaM kinases) comprise a structurally related subfamily of serine/threonine kinases which include CaMKI, CaMKII and CaMKIV. CaMKII is a ubiquitously expressed serine/threonine protein kinase that is activated by Ca2+and calmodulin (CaM) and has been implicated in regulation of the cell cycle and transcription. There are four CaMKII isozymes designated α, β, γ and δ, which may or may not be co-expressed in the same tissue type. CaMKIV is stimulated by Ca2+ and CaM but also requires phosphorylation by a CaMK for full activation. Stimulation of the T cell receptor CD3 signaling complex with an CD3 monoclonal antibody leads to a 10-40 fold increase in CaMKIV activity. An additional kinase, CaMKK, functions to activate CaMKI through the specific phosphorylation of the regulatory Threonine residue at position 177. |
| Conjucates | Unconjugated |
| Immunogen | Recombinant Protein |
| Uniprot ID |
| Molecular Weight | Theoretical: 54 kDa. |
| Stability & Storage | Store at -20°C or -80°C for 12 months. Avoid repeated freeze-thaw cycles. |
| Transport | Shipping with blue ice. |
| Size | Quantity | Unit Price | Amount | Operation |
|---|

Copyright © 2015-2026 TargetMol Chemicals Inc. All Rights Reserved.