Shopping Cart
Remove All
Your shopping cart is currently empty
Synonyms: TIC, PASD3, PAS domain-containing protein 3, MOP3, Member of PAS protein 3, Class E basic helix-loop-helix protein 5(bHLHe5), Brain and muscle ARNT-like 1, BMAL1c, BMAL1, bHLH-PAS protein JAP3, BHLHE5, Basic-helix-loop-helix-PAS protein MOP3, Basic helix-loop-helix ARNT-like protein 1, Aryl hydrocarbon receptor nuclear translocator-like protein 1, ARNTL1, ARNTL
Anti-BMAL1 Polyclonal Antibody
| Pack Size | Price | USA Stock | Global Stock | Quantity |
|---|---|---|---|---|
| 50 µL | $222 | 7-10 days | 7-10 days | |
| 100 µL | $373 | 7-10 days | 7-10 days | |
| 200 µL | $529 | 7-10 days | 7-10 days |
| Description | Anti-BMAL1 Polyclonal Antibody is a Rabbit antibody targeting BMAL1. Anti-BMAL1 Polyclonal Antibody can be used in FCM,IF,IHC-Fr,IHC-P. |
| Synonyms | TIC, PASD3, PAS domain-containing protein 3, MOP3, Member of PAS protein 3, Class E basic helix-loop-helix protein 5(bHLHe5), Brain and muscle ARNT-like 1, BMAL1c, BMAL1, bHLH-PAS protein JAP3, BHLHE5, Basic-helix-loop-helix-PAS protein MOP3, Basic helix-loop-helix ARNT-like protein 1, Aryl hydrocarbon receptor nuclear translocator-like protein 1, ARNTL1, ARNTL |
| Ig Type | IgG |
| Reactivity | Human,Mouse,Rat (predicted:Dog,Pig,Cow,Horse,Sheep) |
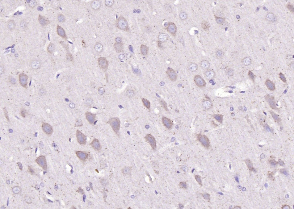
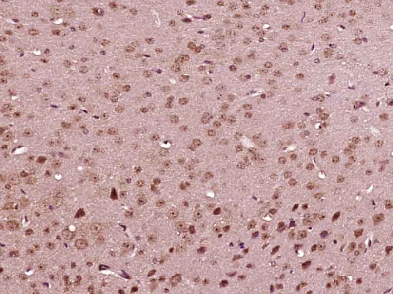
| Verified Activity | 1. Paraformaldehyde-fixed, paraffin embedded (rat brain); Antigen retrieval by boiling in sodium citrate buffer (pH6.0) for 15 min; Block endogenous peroxidase by 3% hydrogen peroxide for 20 min; Blocking buffer (normal goat serum) at 37°C for 30 min; Antibody incubation with (BMAL1) Polyclonal Antibody, Unconjugated (TMAB-00238) at 1:200 overnight at 4°C, followed by operating according to SP Kit (Rabbit) instructionsand DAB staining. 2. Paraformaldehyde-fixed, paraffin embedded (Human brain glioma); Antigen retrieval by boiling in sodium citrate buffer (pH6.0) for 15 min; Block endogenous peroxidase by 3% hydrogen peroxide for 20 min; Blocking buffer (normal goat serum) at 37°C for 30 min; Antibody incubation with (BMAL1) Polyclonal Antibody, Unconjugated (TMAB-00238) at 1:400 overnight at 4°C, followed by operating according to SP Kit (Rabbit) instructionsand DAB staining. 3. Blank control: A431. Primary Antibody (green line): Rabbit Anti-BMAL1 antibody (TMAB-00238) Dilution: 1 μg/10^6 cells; Isotype Control Antibody (orange line): Rabbit IgG. Secondary Antibody: Goat anti-rabbit IgG-AF647 Dilution: 1 μg/test. Protocol The cells were fixed with 4% PFA (10 min at room temperature) and then permeabilized with 90% ice-cold methanol for 20 min at-20°C. The cells were then incubated in 5% BSA to block non-specific protein-protein interactions for 30 min at at room temperature. Cells stained with Primary Antibody for 30 min at room temperature. The secondary antibody used for 40 min at room temperature. 4. Paraformaldehyde-fixed, paraffin embedded (Mouse brain); Antigen retrieval by boiling in sodium citrate buffer (pH6.0) for 15 min; Block endogenous peroxidase by 3% hydrogen peroxide for 20 min; Blocking buffer (normal goat serum) at 37°C for 30 min; Antibody incubation with (BMAL1) Polyclonal Antibody, Unconjugated (TMAB-00238) at 1:400 overnight at 4°C, followed by operating according to SP Kit (Rabbit) instructionsand DAB staining. 5. Paraformaldehyde-fixed, paraffin embedded (rat brain); Antigen retrieval by boiling in sodium citrate buffer (pH6.0) for 15 min; Block endogenous peroxidase by 3% hydrogen peroxide for 20 min; Blocking buffer (normal goat serum) at 37°C for 30 min; Antibody incubation with (BMAL1) Polyclonal Antibody, Unconjugated (TMAB-00238) at 1:200 overnight at 4°C, followed by operating according to SP Kit (Rabbit) instructionsand DAB staining. , , , ,![]() |
| Application | |
| Recommended Dose | IHC-P: 1:100-500; IHC-Fr: 1:100-500; IF: 1:100-500; FCM: 1ug/Test |
| Antibody Type | Polyclonal |
| Host Species | Rabbit |
| Subcellular Localization | Nucleus. |
| Tissue Specificity | Highly expressed in the adult brain, skeletal muscle and heart. |
| Construction | Polyclonal Antibody |
| Purification | Protein A purified |
| Appearance | Liquid |
| Formulation | 0.01M TBS (pH7.4) with 1% BSA, 0.02% Proclin300 and 50% Glycerol. |
| Concentration | 1 mg/mL |
| Research Background | The protein encoded by this gene is a basic helix-loop-helix protein that forms a heterodimer with CLOCK. This heterodimer binds E-box enhancer elements upstream of Period (PER1, PER2, PER3) and Cryptochrome (CRY1, CRY2) genes and activates transcription of these genes. PER and CRY proteins heterodimerize and repress their own transcription by interacting in a feedback loop with CLOCK/ARNTL complexes. Defects in this gene have been linked to infertility, problems with gluconeogenesis and lipogenesis, and altered sleep patterns. The protein regulates interferon-stimulated gene expression and is an important factor in viral infection, including COVID-19. [provided by RefSeq, Oct 2021] |
| Immunogen | KLH conjugated synthetic peptide: human BMAL1 |
| Antigen Species | Human |
| Gene Name | BMAL1 |
| Gene ID | |
| Protein Name | Basic helix-loop-helix ARNT-like protein 1 |
| Uniprot ID | |
| Biology Area | Blood Pressure regulation,Cardiac metabolism,Cholesterol Metabolism,HLH,Transcription Factors,Cholesterol Metabolism,Metabolism |
| Function | ARNTL-CLOCK heterodimers activate E-box element (3'-CACGTG-5') transcription of a number of proteins of the circadian clock. This transcription is inhibited in a feedback loop by PER, and also by CRY proteins. |
| Molecular Weight | Theoretical: 69 kDa. |
| Stability & Storage | Store at -20°C or -80°C for 12 months. Avoid repeated freeze-thaw cycles. |
| Transport | Shipping with blue ice. |
| Size | Quantity | Unit Price | Amount | Operation |
|---|

Copyright © 2015-2026 TargetMol Chemicals Inc. All Rights Reserved.