Shopping Cart
- Remove All
 Your shopping cart is currently empty Your shopping cart is currently empty
Anti-ATP5A1 Antibody (7X811) is a Rabbit antibody targeting ATP5A1. Anti-ATP5A1 Antibody (7X811) can be used in FCM,ICC/IF,IHC,WB.
| Pack Size | Price | Availability | Quantity | 
|---|---|---|---|
| 50 μL | $296 | 7-10 days | |
| 100 μL | $498 | 7-10 days | 
| Description | Anti-ATP5A1 Antibody (7X811) is a Rabbit antibody targeting ATP5A1. Anti-ATP5A1 Antibody (7X811) can be used in FCM,ICC/IF,IHC,WB. | 
| Ig Type | IgG | 
| Clone | 7X811 | 
| Reactivity | Human,Mouse,Rat | 
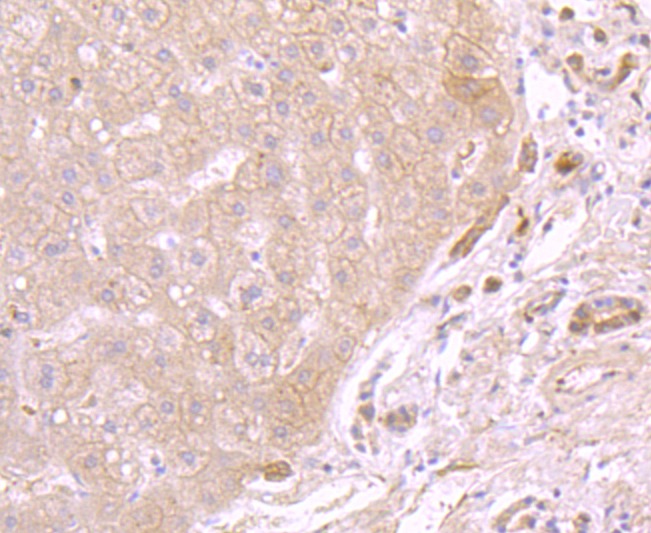
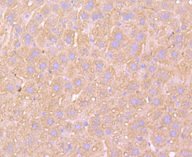
| Verified Activity | 1. Immunohistochemical analysis of paraffin-embedded human liver tissue using anti-ATP5A1 antibody. Counter stained with hematoxylin. 2. Immunohistochemical analysis of paraffin-embedded mouse liver tissue using anti-ATP5A1 antibody. Counter stained with hematoxylin. 3. Immunohistochemical analysis of paraffin-embedded mouse heart muscle tissue using anti-ATP5A1 antibody. Counter stained with hematoxylin. 4. ICC staining ATP5A1 in MCF-7 cells (red). The nuclear counter stain is DAPI (blue). Cells were fixed in paraformaldehyde, permeabilised with 0.25% Triton X100/PBS. 5. ICC staining ATP5A1 in HepG2 cells (red). The nuclear counter stain is DAPI (blue). Cells were fixed in paraformaldehyde, permeabilised with 0.25% Triton X100/PBS. 6. ICC staining ATP5A1 in Hela cells (red). The nuclear counter stain is DAPI (blue). Cells were fixed in paraformaldehyde, permeabilised with 0.25% Triton X100/PBS. 7. Flow cytometric analysis of Hela cells with ATP5A1 antibody at 1/50 dilution (red) compared with an unlabelled control (cells without incubation with primary antibody; black). Alexa Fluor 488-conjugated goat anti rabbit IgG was used as the secondary antibody. 8. All lanes use the Antibody at 1:2K dilution for 1 hour at room temperature. 9. Western blot analysis of ATP5A1 expression in HepG2 cell lysate.          | 
| Application | |
| Recommended Dose | WB: 1:1000-2000; IHC: 1:100-200; ICC/IF: 1:50-200; FCM: 1:20-100 | 
| Antibody Type | Monoclonal | 
| Host Species | Rabbit | 
| Construction | Recombinant Antibody | 
| Purification | Affinity-chromatography | 
| Appearance | Liquid | 
| Formulation | Rabbit IgG in 10mM phosphate buffered saline , pH 7.4, 150mM sodium chloride, 0.05% BSA, 0.02% sodium azide and 50% glycerol. | 
| Research Background | Mitochondrial ATP synthases (ATPases) transduce the energy contained in membrane electrochemical proton gradients into the energy required for synthesis of high-energy phosphate bonds. ATPases contain two linked complexes: F1, the hydrophilic catalytic core; and F0, the membrane-embedded protein channel. F1 consists of three α chains and three β chains, which are weakly homologous, as well as one γ chain, one δ chain and one e chain. F0 consists of three subunits: a, b and c. The α chain of F1 is a regulatory subunit that contains 509 amino acids. Mitochondrial ATPase α chain (ATP5A) localizes to the mitochondria and catalyzes ATP synthesis. | 
| Conjucates | Unconjugated | 
| Immunogen | A synthesized peptide: human ATP5A | 
| Antigen Species | human | 
| Uniprot ID | 
| Molecular Weight | Theoretical: 50 kDa. | 
| Stability & Storage | Store at 2°C-8°C for 1 month. Store at -20°C or -80°C for 12 months. Avoid repeated freeze-thaw cycles. | 
| Transport | Shipping with blue ice. | 

Copyright © 2015-2025 TargetMol Chemicals Inc. All Rights Reserved.