Shopping Cart
Remove All
Your shopping cart is currently empty
Synonyms: Transcription factor ATF-A, Transcription factor ATF A, MGC57182, MGC31554, Cyclic AMP-dependent transcription factor ATF-7, Cyclic AMP-dependent transcription factor ATF 7, cAMP-dependent transcription factor ATF-7, C130020M04Rik, ATFA, ATF7_HUMAN, Atf7 protein, ATF 7, AI549878, Activating transcription factor 7, 9430065F09Rik, 1110012F10Rik
Anti-ATF7 Antibody
(6F15)
| Pack Size | Price | USA Stock | Global Stock | Quantity |
|---|---|---|---|---|
| 50 µL | $296 | 7-10 days | 7-10 days | |
| 100 µL | $496 | 7-10 days | 7-10 days |
| Description | Anti-ATF7 Antibody (6F15) is a Rabbit antibody targeting ATF7. Anti-ATF7 Antibody (6F15) can be used in FCM,ICC/IF,IHC,WB. |
| Synonyms | Transcription factor ATF-A, Transcription factor ATF A, MGC57182, MGC31554, Cyclic AMP-dependent transcription factor ATF-7, Cyclic AMP-dependent transcription factor ATF 7, cAMP-dependent transcription factor ATF-7, C130020M04Rik, ATFA, ATF7_HUMAN, Atf7 protein, ATF 7, AI549878, Activating transcription factor 7, 9430065F09Rik, 1110012F10Rik |
| Ig Type | IgG |
| Clone | 6F15 |
| Reactivity | Human,Mouse,Rat |
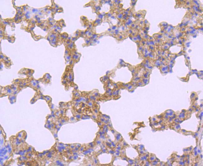
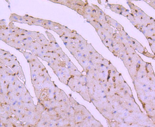
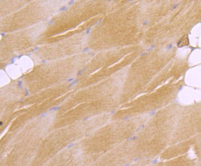
| Verified Activity | 1. Immunohistochemical analysis of paraffin-embedded mouse lung tissue using anti-ATF7 antibody. Counter stained with hematoxylin. 2. Immunohistochemical analysis of paraffin-embedded mouse skeletal muscle tissue using anti-ATF7 antibody. Counter stained with hematoxylin. 3. Immunohistochemical analysis of paraffin-embedded mouse heart tissue using anti-ATF7 antibody. Counter stained with hematoxylin. 4. ICC staining ATF7 in HepG2 cells (green). The nuclear counter stain is DAPI (blue). Cells were fixed in paraformaldehyde, permeabilised with 0.25% Triton X100/PBS. 5. ICC staining ATF7 in Hela cells (green). The nuclear counter stain is DAPI (blue). Cells were fixed in paraformaldehyde, permeabilised with 0.25% Triton X100/PBS. 6. Flow cytometric analysis of Jurkat cells with ATF7 antibody at 1/50 dilution (red) compared with an unlabelled control (cells without incubation with primary antibody; black). Alexa Fluor 488-conjugated goat anti rabbit IgG was used as the secondary antibody. , , , , ,![]() |
| Application | |
| Recommended Dose | WB: 1:500-1000; IHC: 1:50-200; ICC/IF: 1:50-200; FCM: 1:50-100 |
| Antibody Type | Monoclonal |
| Host Species | Rabbit |
| Construction | Recombinant Antibody |
| Purification | ProA affinity purified |
| Appearance | Liquid |
| Formulation | 1*TBS (pH7.4), 1%BSA, 40%Glycerol. Preservative: 0.05% Sodium Azide. |
| Research Background | Plays important functions in early cell signaling. Binds the cAMP response element (CRE) (consensus: 5'-GTGACGT[AG][AG]-3'), a sequence present in many viral and cellular promoters. Activator of the NF-ELAM1/delta-A site of the E-selectin promoter. Has no intrinsic transcriptional activity, but activates transcription on formation of JUN or FOS heterodimers. Also can bind TRE promoter sequences when heterodimerized with members of the JUN family.Isoform 4/ATF-A0 acts as a dominant repressor of the E-selectin/NF-ELAM1/delta-A promoter.Isoform 5/ATF-4 acts as a negative regulator, inhibiting both ATF2 and ATF7 transcriptional activities. It may exert these effects by sequestrating in the cytoplasm the Thr-53 phosphorylating kinase, preventing activation. |
| Conjucates | Unconjugated |
| Immunogen | Recombinant Protein |
| Uniprot ID |
| Molecular Weight | Theoretical: 53 kDa. |
| Stability & Storage | Store at -20°C or -80°C for 12 months. Avoid repeated freeze-thaw cycles. |
| Transport | Shipping with blue ice. |
| Size | Quantity | Unit Price | Amount | Operation |
|---|

Copyright © 2015-2026 TargetMol Chemicals Inc. All Rights Reserved.