Shopping Cart
Remove All
Your shopping cart is currently empty
Anti-Alpha/Beta-Synuclein Antibody (5Q165) is a Rabbit antibody targeting Alpha/Beta-Synuclein. Anti-Alpha/Beta-Synuclein Antibody (5Q165) can be used in FCM,ICC/IF,IHC,WB.
| Pack Size | Price | USA Warehouse | Global Warehouse | Quantity |
|---|---|---|---|---|
| 50 μL | $298 | 7-10 days | 7-10 days | |
| 100 μL | $497 | 7-10 days | 7-10 days |
| Description | Anti-Alpha/Beta-Synuclein Antibody (5Q165) is a Rabbit antibody targeting Alpha/Beta-Synuclein. Anti-Alpha/Beta-Synuclein Antibody (5Q165) can be used in FCM,ICC/IF,IHC,WB. |
| Synonyms | PD1, PARK4, PARK1, NACP |
| Ig Type | IgG |
| Clone | 5Q165 |
| Reactivity | Human,Mouse,Rat |
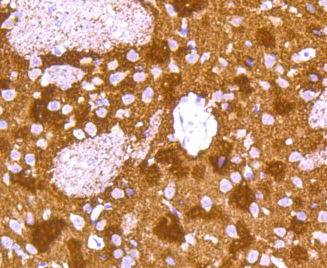
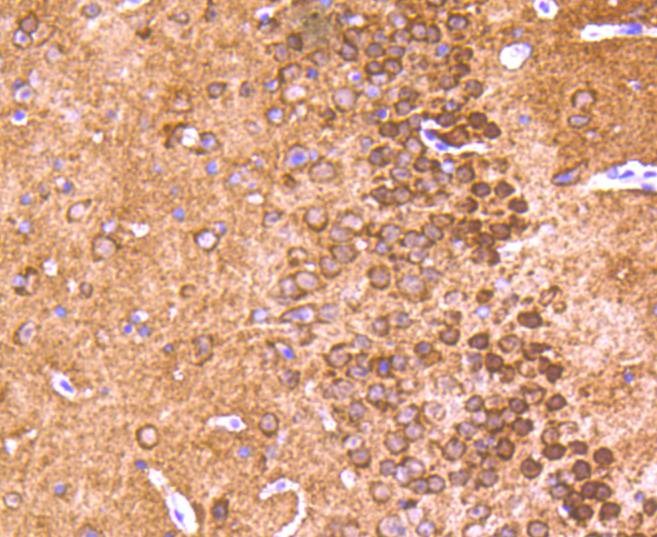
| Verified Activity | 1. Immunohistochemical analysis of paraffin-embedded rat brain tissue using anti-alpha+beta Synuclein antibody. Counter stained with hematoxylin. 2. Immunohistochemical analysis of paraffin-embedded mouse brain tissue using anti-alpha+beta Synuclein antibody. Counter stained with hematoxylin. 3. ICC staining alpha+beta Synuclein in Hela cells (green). The nuclear counter stain is DAPI (blue). Cells were fixed in paraformaldehyde, permeabilised with 0.25% Triton X100/PBS. 4. ICC staining alpha+beta Synuclein in N2A cells (green). The nuclear counter stain is DAPI (blue). Cells were fixed in paraformaldehyde, permeabilised with 0.25% Triton X100/PBS. 5. ICC staining alpha+beta Synuclein in SH-SY-5Y cells (green). The nuclear counter stain is DAPI (blue). Cells were fixed in paraformaldehyde, permeabilised with 0.25% Triton X100/PBS. 6. Flow cytometric analysis of Hela cells with alpha+beta Synuclein antibody at 1/50 dilution (red) compared with an unlabelled control (cells without incubation with primary antibody; black). Alexa Fluor 488-conjugated goat anti rabbit IgG was used as the secondary antibody. ![]() ![]() ![]() ![]() ![]() ![]() |
| Application | |
| Recommended Dose | WB: 1:1000-2000; IHC: 1:50-200; ICC/IF: 1:50-200; FCM: 1:50-100 |
| Antibody Type | Monoclonal |
| Host Species | Rabbit |
| Construction | Recombinant Antibody |
| Purification | ProA affinity purified |
| Appearance | Liquid |
| Formulation | 1*TBS (pH7.4), 1%BSA, 40%Glycerol. Preservative: 0.05% Sodium Azide. |
| Research Background | The synucleins, including α-synuclein (also designated NACP for nonamyloid component precursor), β-synuclein (also designated PNP 14 for phospho-neuroprotein 14) and γ-synuclein (also designated persyn or BCSG1 for breast cancer-specific gene 1) are presynaptic proteins abundant in neurons. Synucleins are predominantly expressed in the brain and are speculated to be involved in synaptic regulation and neuronal plasticity. α-Synuclein, identified as a component of Alzheimer??s disease amyloid plaques, is localized to neuronal cell bodies and synapses. Coordinate expression of α-synuclein and β-synuclein may be important during hematopoetic cell differentiation. A mutant form of α-synuclein is found in patients with early onset Parkinson??s disease. γ-Synuclein is associated with axonal pathology in Parkinson??s disease. |
| Conjucates | Unconjugated |
| Immunogen | Recombinant Protein |
| Uniprot ID |
| Molecular Weight | Theoretical: 18 kDa. |
| Color | Transparent |
| Appearance | Liquid |
| Stability & Storage | Store at -20°C or -80°C for 12 months. Avoid repeated freeze-thaw cycles. |
| Transport | Shipping with blue ice. |
| Size | Quantity | Unit Price | Amount | Operation |
|---|

Copyright © 2015-2026 TargetMol Chemicals Inc. All Rights Reserved.