Shopping Cart
Remove All
Your shopping cart is currently empty
Anti-alpha sarcoglycan Antibody (1V177) is a Rabbit antibody targeting alpha sarcoglycan. Anti-alpha sarcoglycan Antibody (1V177) can be used in IHC,IP,WB.
| Pack Size | Price | USA Warehouse | Global Warehouse | Quantity |
|---|---|---|---|---|
| 50 μL | $298 | 7-10 days | 7-10 days | |
| 100 μL | $497 | 7-10 days | 7-10 days |
| Description | Anti-alpha sarcoglycan Antibody (1V177) is a Rabbit antibody targeting alpha sarcoglycan. Anti-alpha sarcoglycan Antibody (1V177) can be used in IHC,IP,WB. |
| Synonyms | αsarcoglycan, α sarcoglycan, SGCA_HUMAN, Sgca, SCARMD1, sarcoglycan, alpha (dystrophin-associated glycoprotein), LGMD2D, Dystroglycan-2, Dystroglycan 2, DMDA2, DAG2, Asg, asarcoglycan, Alpha-SG, Alpha-sarcoglycan, alphasarcoglycan, Alpha SG, ADL, adhalin, A2, a sarcoglycan, 59kDa, 50kD DAG, 50DAG, 50 kDa dystrophin-associated glycoprotein, 50 kDa dystrophin associated glycoprotein, 50 DAG |
| Ig Type | IgG |
| Clone | 1V177 |
| Reactivity | Human,Mouse,Rat |
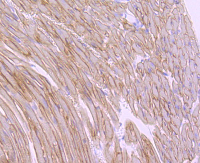
| Verified Activity | 1. Western blot analysis of alpha sarcoglycan on rat heart cells lysates using anti-alpha sarcoglycan antibody at 1/500 dilution. 2. Immunohistochemical analysis of paraffin-embedded mouse heart tissue using anti-alpha sarcoglycan antibody. Counter stained with hematoxylin. 3. Immunohistochemical analysis of paraffin-embedded mouse skeletal muscle tissue using anti-alpha sarcoglycan antibody. Counter stained with hematoxylin. ![]() ![]() ![]() |
| Application | |
| Recommended Dose | WB: 1:500-2000; IHC: 1:50-200; IP: 1:50-100 |
| Antibody Type | Monoclonal |
| Host Species | Rabbit |
| Construction | Recombinant Antibody |
| Purification | ProA affinity purified |
| Appearance | Liquid |
| Formulation | 1*TBS (pH7.4), 1%BSA, 40%Glycerol. Preservative: 0.05% Sodium Azide. |
| Research Background | The sarcoglycan transmembrane proteins are members of the dystrophin complex. Sarcoglycans cluster together to form a complex, which is localized in the cell membrane of skeletal, cardiac, and smooth muscle fibers. Four sarcoglycan subunit proteins, designated α-, β-, γ- and δ-sarcoglycan, form a complex on the skeletal muscle cell surface membrane. A genetic defect in any one of these proteins causes the loss or marked decrease of the whole sarcoglycan complex, which is observed in the autosomal recessive muscular dystrophy, sarcoglycanopathy. In smooth muscle, β- and δ-sarcoglycans are associated with ε-sarcoglycan, a glycoprotein homologous to α-sarcoglycan. Additionally, a complete deficiency in δ-sarcoglycan is the cause of the Syrian hamster BIO.14 cardiomyopathy. |
| Conjucates | Unconjugated |
| Immunogen | Recombinant Protein |
| Uniprot ID |
| Molecular Weight | Theoretical: 50 kDa. |
| Stability & Storage | Store at -20°C or -80°C for 12 months. Avoid repeated freeze-thaw cycles. |
| Transport | Shipping with blue ice. |
| Size | Quantity | Unit Price | Amount | Operation |
|---|

Copyright © 2015-2026 TargetMol Chemicals Inc. All Rights Reserved.