Shopping Cart
- Remove All
 Your shopping cart is currently empty Your shopping cart is currently empty
Anti-Acetylcholinesterase Polyclonal Antibody is a Rabbit antibody targeting Acetylcholinesterase. Anti-Acetylcholinesterase Polyclonal Antibody can be used in IF,IHC-Fr,IHC-P,WB.
| Pack Size | Price | Availability | Quantity | 
|---|---|---|---|
| 50 μL | $221 | 7-10 days | |
| 100 μL | $373 | 7-10 days | |
| 200 μL | $527 | 7-10 days | 
| Description | Anti-Acetylcholinesterase Polyclonal Antibody is a Rabbit antibody targeting Acetylcholinesterase. Anti-Acetylcholinesterase Polyclonal Antibody can be used in IF,IHC-Fr,IHC-P,WB. | 
| Synonyms | Yt blood group, YT, N-ACHE, ARACHE, Apoptosis related acetylcholinesterase, ACHE protein, Acetylcholinesterase YT blood group, Acetylcholinesterase, Acetylcholine acetylhydrolase, ACES | 
| Ig Type | IgG | 
| Reactivity | Human,Mouse (predicted:Rat,Dog,Cow,Horse) | 
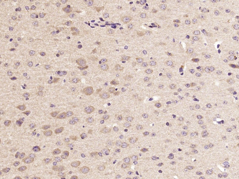
| Verified Activity | 1. Paraformaldehyde-fixed, paraffin embedded (Mouse brain); Antigen retrieval by microwave in sodium citrate buffer (pH6.0); Block endogenous peroxidase by 3% hydrogen peroxide for 30 minutes; Blocking buffer (3% BSA) at RT for 30 min; Antibody incubation with ACHE Polyclonal Antibody, Unconjugated (TMAB-00034) at 1:400 overnight at 4°C, followed by conjugation to the secondary antibody (labeled with HRP) and DAB staining. 2. Sample: Lane 1: Human K562 cell lysates Lane 2: Human U-2 OS cell lysates Lane 3: Human MCF-7 cell lysates Lane 4: Human SH-SY5Y cell lysates Primary: Anti-ACHE (TMAB-00034) at 1/500 dilution Secondary: IRDye800CW Goat Anti-Rabbit IgG at 1/20000 dilution Predicted band size: 68 kDa Observed band size: 68 kDa   | 
| Application | |
| Recommended Dose | WB: 1:500-2000; IHC-P: 1:100-500; IHC-Fr: 1:100-500; IF: 1:100-500 | 
| Antibody Type | Polyclonal | 
| Host Species | Rabbit | 
| Subcellular Localization | Cell junction, synapse. Secreted. Cell membrane; Peripheral membrane protein. Isoform T: Nucleus. Note=Only observed in apoptotic nuclei. Isoform H: Cell membrane; Lipid-anchor, GPI-anchor; Extracellular side. | 
| Tissue Specificity | Isoform H is highly expressed in erythrocytes. | 
| Construction | Polyclonal Antibody | 
| Purification | Protein A purified | 
| Appearance | Liquid | 
| Formulation | 0.01M TBS (pH7.4) with 1% BSA, 0.02% Proclin300 and 50% Glycerol. | 
| Concentration | 1 mg/mL | 
| Research Background | Acetylcholinesterase hydrolyzes the neurotransmitter, acetylcholine at neuromuscular junctions and brain cholinergic synapses, and thus terminates signal transmission. It is also found on the red blood cell membranes, where it constitutes the Yt blood group antigen. Acetylcholinesterase exists in multiple molecular forms which possess similar catalytic properties, but differ in their oligomeric assembly and mode of cell attachment to the cell surface. It is encoded by the single ACHE gene, and the structural diversity in the gene products arises from alternative mRNA splicing, and post-translational associations of catalytic and structural subunits. The major form of acetylcholinesterase found in brain, muscle and other tissues is the hydrophilic species, which forms disulfide-linked oligomers with collagenous, or lipid-containing structural subunits. The other, alternatively spliced form, expressed primarily in the erythroid tissues, differs at the C-terminal end, and contains a cleavable hydrophobic peptide with a GPI-anchor site. It associates with the membranes through the phosphoinositide (PI) moieties added post-translationally. | 
| Immunogen | KLH conjugated synthetic peptide: human AchE | 
| Antigen Species | Human | 
| Gene Name | ACHE | 
| Gene ID | |
| Protein Name | Acetylcholinesterase | 
| Uniprot ID | |
| Biology Area | Cardiac arrhythmias,Acetylcholine | 
| Function | Terminates signal transduction at the neuromuscular junction by rapid hydrolysis of the acetylcholine released into the synaptic cleft. Role in neuronal apoptosis. | 
| Molecular Weight | Theoretical: 68 kDa. | 
| Stability & Storage | Store at -20°C or -80°C for 12 months. Avoid repeated freeze-thaw cycles. | 
| Transport | Shipping with blue ice. | 

Copyright © 2015-2025 TargetMol Chemicals Inc. All Rights Reserved.