Shopping Cart
Remove All
Your shopping cart is currently empty
Anti-14-3-3 sigma Antibody (2I538) is a Rabbit antibody targeting 14-3-3 sigma. Anti-14-3-3 sigma Antibody (2I538) can be used in IHC,WB.
| Pack Size | Price | USA Warehouse | Global Warehouse | Quantity |
|---|---|---|---|---|
| 50 μL | $297 | 7-10 days | 7-10 days | |
| 100 μL | $498 | 7-10 days | 7-10 days |
| Description | Anti-14-3-3 sigma Antibody (2I538) is a Rabbit antibody targeting 14-3-3 sigma. Anti-14-3-3 sigma Antibody (2I538) can be used in IHC,WB. |
| Synonyms | YWHAS, stratifin, 14-3-3 σ |
| Ig Type | IgG |
| Clone | 2I538 |
| Reactivity | Human,Rat |
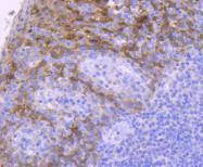
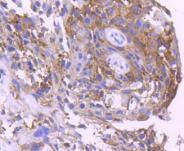
| Verified Activity | 1. Immunohistochemical analysis of paraffin-embedded human tonsil tissue using anti-14-3-3 sigma antibody. Counter stained with hematoxylin. 2. Immunohistochemical analysis of paraffin-embedded human breast carcinoma tissue using anti-14-3-3 sigma antibody. Counter stained with hematoxylin. ![]() ![]() |
| Application | |
| Recommended Dose | WB: 1:1000; IHC: 1:50-200 |
| Antibody Type | Monoclonal |
| Host Species | Rabbit |
| Construction | Recombinant Antibody |
| Purification | ProA affinity purified |
| Appearance | Liquid |
| Formulation | 1*TBS (pH7.4), 1%BSA, 40%Glycerol. Preservative: 0.05% Sodium Azide. |
| Research Background | 14-3-3 proteins regulate many cellular processes relevant to cancer biology, notably apoptosis, mitogenic signaling and cell-cycle checkpoints. Seven isoforms, denoted 14-3-3 b, g, e, z, h, q and s, comprise this family of signaling intermediates. 14-3-3 s, also known as SFN, stratifin, HME1 or YWHAS, is a secreted adaptor protein that is involved in regulating both general and specific signaling pathways. Expressed predominately in stratified squamous keratinising epithelium, 14-3-3 s is able to bind and modify the activity of a large number of proteins, such as KRT17 (Keratin 17), through recognition of a phosphothreonine or phosphoserine motif. When bound to Keratin 17, for example, 14-3-3 s acts to stimulate the Akt/mTOR signaling pathway by upregulating protein synthesis and cell growth. 14-3-3 s also functions to positively mediate IGF-I-induced cell cycle progression and can bind to a variety of translation initiation factors, thus controlling mitotic translation. In response to tumor growth, 14-3-3 s positively regulates the tumor suppressor p53 and increases the rate of p53-regulated inhibition of G2/M cell cycle progression. Multiple isoforms of 14-3-3 s exist due to alternative splicing events. |
| Conjucates | Unconjugated |
| Immunogen | Recombinant Protein |
| Uniprot ID |
| Molecular Weight | Theoretical: 28 kDa. |
| Stability & Storage | Store at -20°C or -80°C for 12 months. Avoid repeated freeze-thaw cycles. |
| Transport | Shipping with blue ice. |
| Size | Quantity | Unit Price | Amount | Operation |
|---|

Copyright © 2015-2026 TargetMol Chemicals Inc. All Rights Reserved.