Shopping Cart
Remove All
Your shopping cart is currently empty
Donkey Anti-Rabbit IgG H&L Secondary Antibody-Cy5 is a Cy5-conjugated Donkey antibody targeting IgG H&L. Donkey Anti-Rabbit IgG H&L Secondary Antibody-Cy5 can be used in FCM,ICC/IF,IF.
| Pack Size | Price | USA Warehouse | Global Warehouse | Quantity |
|---|---|---|---|---|
| 100 μL | $355 | 7-10 days | 7-10 days | |
| 1 mL | $2,385 | 7-10 days | 7-10 days |
| Description | Donkey Anti-Rabbit IgG H&L Secondary Antibody-Cy5 is a Cy5-conjugated Donkey antibody targeting IgG H&L. Donkey Anti-Rabbit IgG H&L Secondary Antibody-Cy5 can be used in FCM,ICC/IF,IF. |
| Synonyms | Immunoglobulin G, Donkey Anti-Rabbit IgG H&L (Cy5) |
| Ig Type | IgG |
| Reactivity | Rabbit |
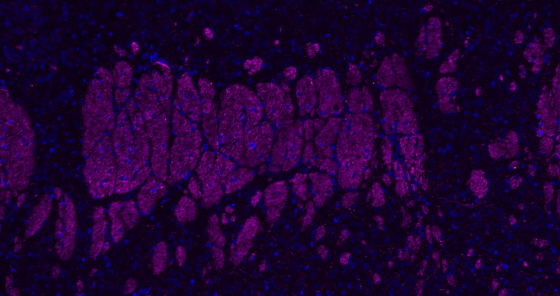
| Verified Activity | 1. Paraformaldehyde-fixed, paraffin embedded Rat Cerebellum; Antigen retrieval by boiling in sodium citrate buffer (pH6.0) for 15 min; Antibody incubation with MBP Polyclonal Antibody, Unconjugated at 1:200 overnight at 4°C. Followed by conjugated Goat Anti-Rabbit IgG antibody (Purple, TMAB-02007C5), DAPI (blue) was used to stain the cell nuclei.
2. Paraformaldehyde-fixed, paraffin embedded Human Cerebellum; Antigen retrieval by boiling in sodium citrate buffer (pH6.0) for 15 min; Antibody incubation with MBP Polyclonal Antibody, Unconjugated at 1:200 overnight at 4°C. Followed by conjugated Goat Anti-Rabbit IgG antibody (Purple, TMAB-02007C5), DAPI (blue) was used to stain the cell nuclei. 3. Paraformaldehyde-fixed, paraffin embedded Human Left Parietal Lobe; Antigen retrieval by boiling in sodium citrate buffer (pH6.0) for 15 min; Antibody incubation with MBP Polyclonal Antibody, Unconjugated at 1:200 overnight at 4°C. Followed by conjugated Goat Anti-Rabbit IgG antibody (Purple, TMAB-02007C5), DAPI (blue) was used to stain the cell nuclei. 4. Paraformaldehyde-fixed, paraffin embedded Mouse Cerebrum; Antigen retrieval by boiling in sodium citrate buffer (pH6.0) for 15 min; Antibody incubation with MBP Polyclonal Antibody, Unconjugated at 1:200 overnight at 4°C. Followed by conjugated Goat Anti-Rabbit IgG antibody (Purple, TMAB-02007C5), DAPI (blue) was used to stain the cell nuclei. 5. Paraformaldehyde-fixed, paraffin embedded Mouse Cerebellum; Antigen retrieval by boiling in sodium citrate buffer (pH6.0) for 15 min; Antibody incubation with MBP Polyclonal Antibody, Unconjugated at 1:200 overnight at 4°C. Followed by conjugated Goat Anti-Rabbit IgG antibody (Purple, TMAB-02007C5), DAPI (blue) was used to stain the cell nuclei. 6. Paraformaldehyde-fixed, paraffin embedded Human Duodenum; Antigen retrieval by boiling in sodium citrate buffer (pH6.0) for 15 min; Antibody incubation with CHGA Polyclonal Antibody, Unconjugated at 1:200 overnight at 4°C. Followed by conjugated Goat Anti-Rabbit IgG antibody (Purple, TMAB-02007C5), DAPI (blue) was used to stain the cell nuclei. 7. Paraformaldehyde-fixed, paraffin embedded Human Fundus; Antigen retrieval by boiling in sodium citrate buffer (pH6.0) for 15 min; Antibody incubation with CHGA Polyclonal Antibody, Unconjugated at 1:200 overnight at 4°C. Followed by conjugated Goat Anti-Rabbit IgG antibody (Purple, TMAB-02007C5), DAPI (blue) was used to stain the cell nuclei. 8. Paraformaldehyde-fixed, paraffin embedded Mouse Stomach; Antigen retrieval by boiling in sodium citrate buffer (pH6.0) for 15 min; Antibody incubation with CHGA Polyclonal Antibody, Unconjugated at 1:200 overnight at 4°C. Followed by conjugated Goat Anti-Rabbit IgG antibody (Purple, TMAB-02007C5), DAPI (blue) was used to stain the cell nuclei. 9. Paraformaldehyde-fixed, paraffin embedded Mouse Small Intestine; Antigen retrieval by boiling in sodium citrate buffer (pH6.0) for 15 min; Antibody incubation with CHGA Polyclonal Antibody, Unconjugatedat 1:200 overnight at 4°C. Followed by conjugated Goat Anti-Rabbit IgG antibody (Purple, TMAB-02007C5), DAPI (blue) was used to stain the cell nuclei. 10. Paraformaldehyde-fixed, paraffin embedded Rat Cerebrum; Antigen retrieval by boiling in sodium citrate buffer (pH6.0) for 15 min; Antibody incubation with NF-L Polyclonal Antibody, Unconjugated at 1:200 overnight at 4°C. Followed by conjugated Goat Anti-Rabbit IgG antibody (Purple, TMAB-02007C5), DAPI (blue) was used to stain the cell nuclei. ![]() ![]() ![]() ![]() ![]() ![]() ![]() ![]() ![]() ![]() |
| Application | |
| Recommended Dose | IF: 1:100-1000; FCM: 1:100-1000; ICC/IF: 1:100-1000 |
| Antibody Type | Polyclonal |
| Host Species | Donkey |
| Construction | Polyclonal Antibody |
| Purification | Protein G purified |
| Appearance | Liquid |
| Formulation | 10 mM TBS (pH=7.4) with 1% BSA, 0.03% Proclin300 and 50% glycerol. |
| Concentration | 2.0 mg/ml |
| Research Background | Immunoglobulin G (IgG), is one of the most abundant proteins in serum with normal levels between 8-17 mg/mL in adult blood. IgG is important for our defence against microorganisms and the molecules are produced by B lymphocytes as a part of our adaptive immune response. The IgG molecule has two separate functions; to bind to the pathogen that elicited the response and to recruit other cells and molecules to destroy the antigen. The variability of the IgG pool is generated by somatic recombination and the number of specificities in an individual at a given time point is estimated to be 1011 variants. |
| Immunogen | Native Rabbit IgG |
| Stability & Storage | Store at -20°C or -80°C for 12 months. Avoid repeated freeze-thaw cycles. |
| Transport | Shipping with blue ice. |
| Size | Quantity | Unit Price | Amount | Operation |
|---|

Copyright © 2015-2026 TargetMol Chemicals Inc. All Rights Reserved.