Shopping Cart
Remove All
Your shopping cart is currently empty
Anti-XDH Antibody (4C20) is a Mouse antibody targeting XDH. Anti-XDH Antibody (4C20) can be used in FCM,IHC.
| Pack Size | Price | USA Warehouse | Global Warehouse | Quantity |
|---|---|---|---|---|
| 50 μL | $297 | 7-10 days | 7-10 days | |
| 100 μL | $428 | 7-10 days | 7-10 days |
| Description | Anti-XDH Antibody (4C20) is a Mouse antibody targeting XDH. Anti-XDH Antibody (4C20) can be used in FCM,IHC. |
| Synonyms | XOR, XO, XDHA, XD, Xanthine oxidoreductase, Xanthine oxidase, Xanthine dehydrogenase/oxidase, Xanthine dehydrogenase, EC 1.17.3.2, EC 1.17.1.4 |
| Clone | 4C20 |
| Reactivity | Human |
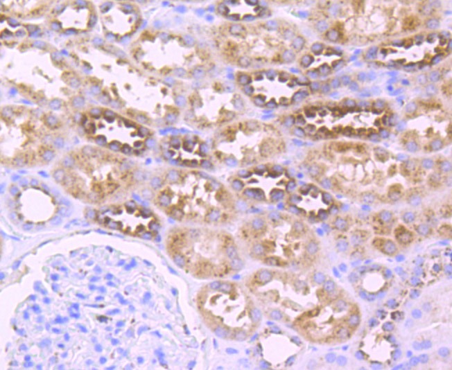
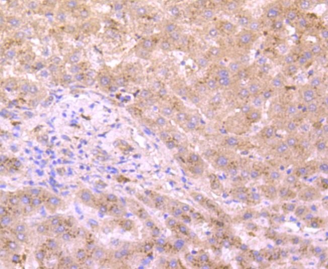
| Verified Activity | 1. Immunohistochemical analysis of paraffin-embedded human liver tissue using anti-xanthine dehydrogenase antibody. Counter stained with hematoxylin. 2. Immunohistochemical analysis of paraffin-embedded human kidney tissue using anti-xanthine dehydrogenase antibody. Counter stained with hematoxylin. 3. Flow cytometric analysis of LOVO cells with xanthine dehydrogenase antibody at 1/50 dilution (red) compared with an unlabelled control (cells without incubation with primary antibody; black). Alexa Fluor 488-conjugated Goat anti mouse IgG was used as the secondary antibody. ![]() ![]() ![]() |
| Application | |
| Recommended Dose | IHC: 1:50-200; FCM: 1:50-100 |
| Antibody Type | Monoclonal |
| Host Species | Mouse |
| Construction | Hybridoma Monoclonal Antibody |
| Purification | ProG affinity purified |
| Appearance | Liquid |
| Formulation | 1*TBS (pH7.4), 0.5%BSA, 50%Glycerol. Preservative: 0.05% Sodium Azide. |
| Research Background | The process of metabolizing purines to a common molecule known as xanthine is an essential process for the proper shuttling of uric acid. Xanthine oxidase is a flavoprotein enzyme that coordinates molybdenum and utilizes NAD+ as an electron acceptor to catalyze the oxidation of hypoxanthine to xanthine and then to uric acid. The predominant form of this enzyme is xanthine dehydrogenase, which is a homodimer that can be converted to xanthine oxidase by sulfhydryl oxidation or proteolytic modification. Xanthine oxidase is present in species ranging from bacteria to human and is ubiquitously expressed in mammalian tissues. In the oxidase form, this enzyme is coupled to the generation of free radicals. Individuals showing marked elevation of serum xanthine oxidase is suggestive of chronic liver disease and cholestasis, which is a condition defined by hepatic obstruction. Hepatic obstruction causes bile salts, the bile pigment bilirubin, and fats to accumulate in the blood stream instead of being eliminated normally. The clinical consequences of defects in xanthine oxidase range from mild to severe and even contribute to fatal disorders. |
| Conjucates | Unconjugated |
| Immunogen | Peptide |
| Uniprot ID |
| Molecular Weight | Theoretical: 146 kDa. |
| Stability & Storage | Store at -20°C or -80°C for 12 months. Avoid repeated freeze-thaw cycles. |
| Transport | Shipping with blue ice. |
| Size | Quantity | Unit Price | Amount | Operation |
|---|

Copyright © 2015-2026 TargetMol Chemicals Inc. All Rights Reserved.