Shopping Cart
Remove All
Your shopping cart is currently empty
Anti-USP10 Antibody (1T260) is a Rabbit antibody targeting USP10. Anti-USP10 Antibody (1T260) can be used in ICC/IF,IHC,IP,WB.
| Pack Size | Price | USA Warehouse | Global Warehouse | Quantity |
|---|---|---|---|---|
| 50 μL | $298 | 7-10 days | 7-10 days | |
| 100 μL | $498 | 7-10 days | 7-10 days |
| Description | Anti-USP10 Antibody (1T260) is a Rabbit antibody targeting USP10. Anti-USP10 Antibody (1T260) can be used in ICC/IF,IHC,IP,WB. |
| Synonyms | USP 10, UBPO, UBP10_HUMAN, Ubiquitin-specific-processing protease 10, Ubiquitin thiolesterase 10, Ubiquitin thioesterase 10, Ubiquitin specific protease 10, Ubiquitin specific processing protease 10, Ubiquitin specific peptidase 10, Ubiquitin carboxyl-terminal hydrolase 10, Ubiquitin carboxyl terminal hydrolase 10, MGC2621, MGC124997, KIAA0190, Deubiquitinating enzyme 10 |
| Ig Type | IgG |
| Clone | 1T260 |
| Reactivity | Human |
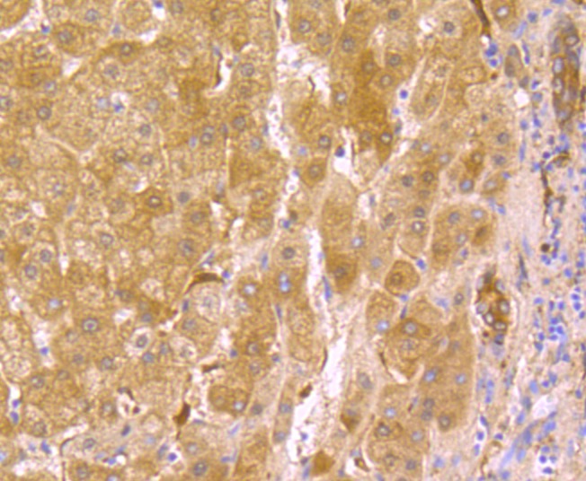
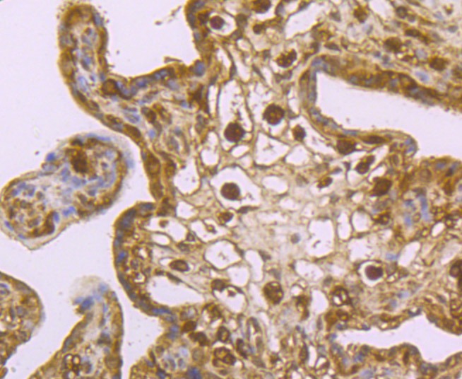
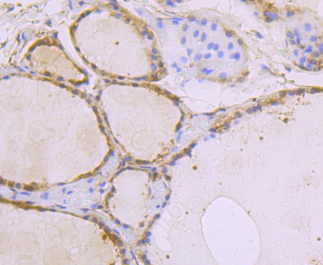
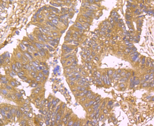
| Verified Activity | 1. Western blot analysis of USP10 on SiHa (1) and A549 (2) cell lysate using anti-USP10 antibody at 1/500 dilution. 2. Immunohistochemical analysis of paraffin-embedded human liver tissue using anti-USP10 antibody. Counter stained with hematoxylin. 3. Immunohistochemical analysis of paraffin-embedded human thyroid grand tissue using anti-USP10 antibody. Counter stained with hematoxylin. 4. Immunohistochemical analysis of paraffin-embedded human colon cancer tissue using anti-USP10 antibody. Counter stained with hematoxylin. 5. Immunohistochemical analysis of paraffin-embedded human spleen tissue using anti-USP10 antibody. Counter stained with hematoxylin. 6. Immunohistochemical analysis of paraffin-embedded human placenta tissue using anti-USP10 antibody. Counter stained with hematoxylin. 7. ICC staining USP10 in Hela cells (green). The nuclear counter stain is DAPI (blue). Cells were fixed in paraformaldehyde, permeabilised with 0.25% Triton X100/PBS. 8. ICC staining USP10 in LOVO cells (green). The nuclear counter stain is DAPI (blue). Cells were fixed in paraformaldehyde, permeabilised with 0.25% Triton X100/PBS. 9. ICC staining USP10 in MCF-7 cells (green). The nuclear counter stain is DAPI (blue). Cells were fixed in paraformaldehyde, permeabilised with 0.25% Triton X100/PBS. ![]() ![]() ![]() ![]() ![]() ![]() ![]() ![]() ![]() |
| Application | |
| Recommended Dose | WB: 1:500-2000; IHC: 1:50-200; ICC/IF: 1:50-200 |
| Antibody Type | Monoclonal |
| Host Species | Rabbit |
| Construction | Recombinant Antibody |
| Purification | ProA affinity purified |
| Appearance | Liquid |
| Formulation | 1*TBS (pH7.4), 1%BSA, 40%Glycerol. Preservative: 0.05% Sodium Azide. |
| Research Background | The ubiquitin (Ub) pathway involves three sequential enzymatic steps that facilitate the conjugation of Ub and Ub-like molecules to specific protein substrates. Through the use of a wide range of enzymes that can add or remove ubiquitin, the Ub pathway controls many intracellular processes such as signal transduction, transcriptional activation and cell cycle progression. USP10 (ubiquitin specific peptidase 10), also known as UBPO, is a 798 amino acid protein that belongs to the ubiquitin-specific protease family of cysteine proteases. Expressed in a variety of tissues, USP10 functions to catalyze the cleavage of ubiquitin from ubiquitin-conjugated protein substrates, possibly playing a role in the activity of the DNA-bound androgen receptor complex. |
| Conjucates | Unconjugated |
| Immunogen | Recombinant Protein |
| Uniprot ID |
| Molecular Weight | Theoretical: 110 kDa. |
| Stability & Storage | Store at -20°C or -80°C for 12 months. Avoid repeated freeze-thaw cycles. |
| Transport | Shipping with blue ice. |
| Size | Quantity | Unit Price | Amount | Operation |
|---|

Copyright © 2015-2026 TargetMol Chemicals Inc. All Rights Reserved.