Shopping Cart
Remove All
Your shopping cart is currently empty
Anti-Transthyretin Antibody (5H602) is a Rabbit antibody targeting Transthyretin. Anti-Transthyretin Antibody (5H602) can be used in FCM,ICC/IF,IHC,IP,WB.
| Pack Size | Price | USA Warehouse | Global Warehouse | Quantity |
|---|---|---|---|---|
| 50 μL | $297 | 7-10 days | 7-10 days | |
| 100 μL | $496 | 7-10 days | 7-10 days |
| Description | Anti-Transthyretin Antibody (5H602) is a Rabbit antibody targeting Transthyretin. Anti-Transthyretin Antibody (5H602) can be used in FCM,ICC/IF,IHC,IP,WB. |
| Ig Type | IgG |
| Clone | 5H602 |
| Reactivity | Human |
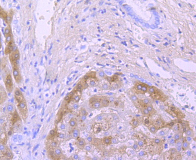
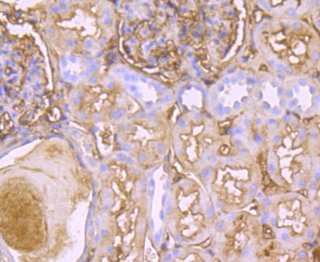
| Verified Activity | 1. Western blot analysis of TTR on different cells lysates using anti-TTR antibody at 1/500 dilution. Positive control: Line 1: Human brain, Line 2:Human lung. 2. Immunohistochemical analysis of paraffin-embedded human liver cancer tissue using anti-TTR antibody. Counter stained with hematoxylin. 3. Immunohistochemical analysis of paraffin-embedded human liver tissue using anti- TTR antibody. Counter stained with hematoxylin. 4. Immunohistochemical analysis of paraffin-embedded human thyroid tissue using anti-TTR antibody. Counter stained with hematoxylin. 5. Immunohistochemical analysis of paraffin-embedded human kidney tissue using anti-TTR antibody. Counter stained with hematoxylin. 6. Immunohistochemical analysis of paraffin-embedded human pancreas tissue using anti-TTR antibody. Counter stained with hematoxylin. 7. ICC staining TTR in A549 cells (red). The nuclear counter stain is DAPI (blue). Cells were fixed in paraformaldehyde, permeabilised with 0.25% Triton X100/PBS. 8. ICC staining TTR in MCF-7 cells (red). The nuclear counter stain is DAPI (blue). Cells were fixed in paraformaldehyde, permeabilised with 0.25% Triton X100/PBS. 9. Flow cytometric analysis of MCF-7 cells with TTR antibody at 1/50 dilution (red) compared with an unlabelled control (cells without incubation with primary antibody; black). Alexa Fluor 488-conjugated goat anti rabbit IgG was used as the secondary antibody. ![]() ![]() ![]() ![]() ![]() ![]() ![]() ![]() ![]() |
| Application | |
| Recommended Dose | WB: 1:500-2000; IHC: 1:50-200; ICC/IF: 1:50-200; FCM: 1:50-100 |
| Antibody Type | Monoclonal |
| Host Species | Rabbit |
| Construction | Recombinant Antibody |
| Purification | ProA affinity purified |
| Appearance | Liquid |
| Formulation | 1*TBS (pH7.4), 1%BSA, 40%Glycerol. Preservative: 0.05% Sodium Azide. |
| Research Background | Prealbumin, also designated transthyretin, is a major thyroid-hormone binding protein involved in transporting thyroxine from the bloodstream to the brain. Prealbumin is located in the cytoplasm and in the vesicles of developing rat brain cells, and is thought to be transported there from the cerebrospinal fluid via endocytosis. Sequence variants of this protein have been identified in amyloid fibrils from patients with familial amyloidotic polyneuropathy (FAP), the most common form of hereditary systemic amyloidosis. Although the biologically active form of Prealbumin is a tetramer, the amyloidogenic intermed-iate is thought to be a monomeric species. Prealbumin also binds to the retinol carrier protein RBP (retinol-binding protein). The gene encoding Prealbumin maps to human chromosome 18q12.1. |
| Conjucates | Unconjugated |
| Immunogen | Recombinant Protein |
| Uniprot ID |
| Molecular Weight | Theoretical: 16 kDa. |
| Stability & Storage | Store at -20°C or -80°C for 12 months. Avoid repeated freeze-thaw cycles. |
| Transport | Shipping with blue ice. |
| Size | Quantity | Unit Price | Amount | Operation |
|---|

Copyright © 2015-2026 TargetMol Chemicals Inc. All Rights Reserved.