Shopping Cart
Remove All
Your shopping cart is currently empty
Anti-TLR4 Polyclonal Antibody is a Rabbit antibody targeting TLR4. Anti-TLR4 Polyclonal Antibody can be used in FCM, ICC/IF, IF, IHC-Fr, IHC-P, WB.
| Pack Size | Price | USA Warehouse | Global Warehouse | Quantity |
|---|---|---|---|---|
| 50 μL | $222 | 7-10 days | 7-10 days | |
| 100 μL | $372 | 7-10 days | 7-10 days | |
| 200 μL | $528 | 7-10 days | 7-10 days |
| Description | Anti-TLR4 Polyclonal Antibody is a Rabbit antibody targeting TLR4. Anti-TLR4 Polyclonal Antibody can be used in FCM, ICC/IF, IF, IHC-Fr, IHC-P, WB. |
| Synonyms | toll-like receptor 4, TOLL, TLR-4, TLR4, CD284, ARMD10 |
| Ig Type | IgG |
| Reactivity | Human,Rat (predicted:Mouse,Dog,Pig,Cow,Sheep) |
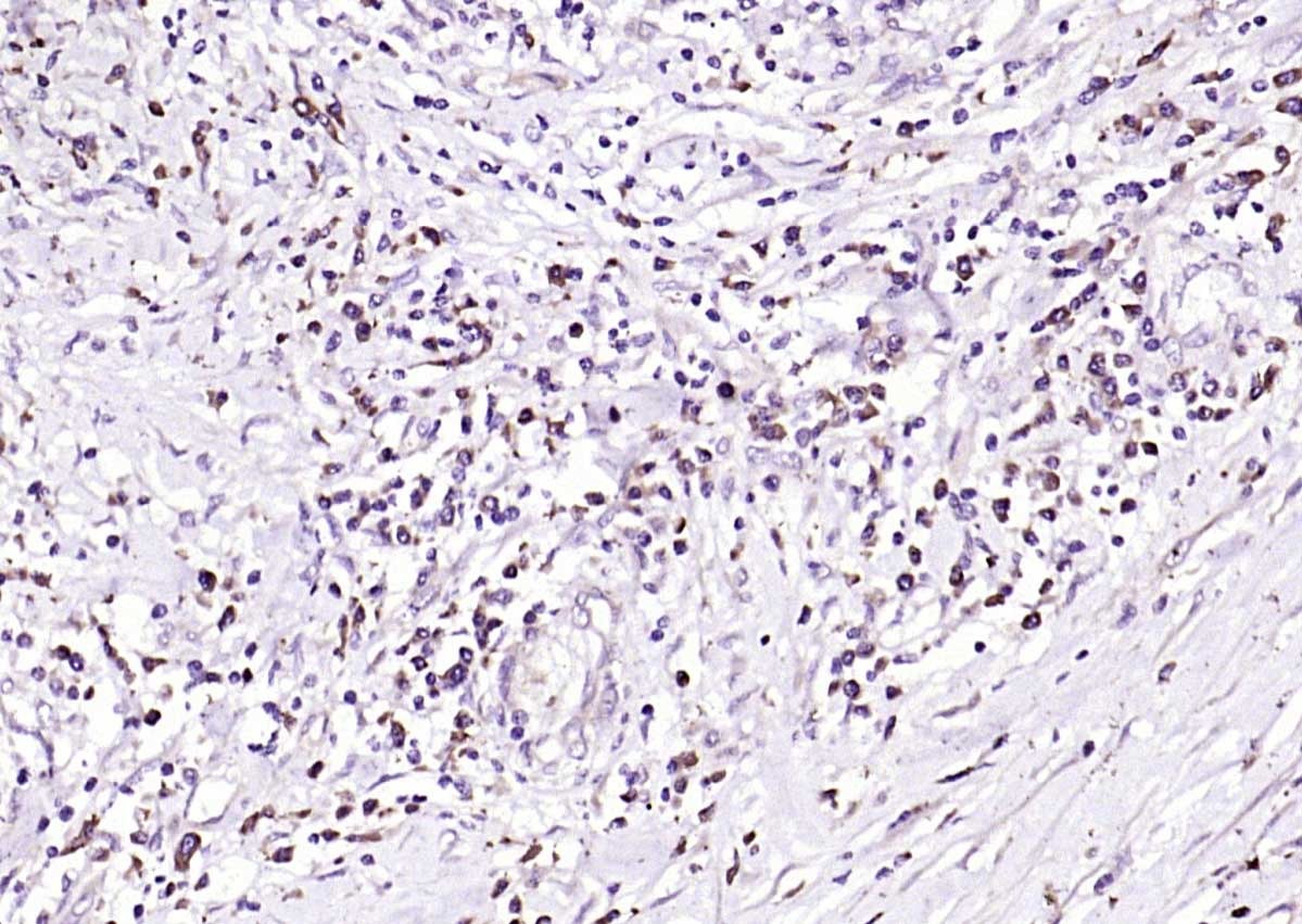
| Verified Activity | 1. Image submitted by One World Lab validation program. HL60 and MCF-7 cells were stained with rabbit polyclonal antibody against TLR4 with two dilutions (1:100 and 1:250). 2nd antibody without primary antibody was used as control included here. 2. Blank control: Raw264.7. Primary Antibody (green line): Rabbit Anti-TLR4 antibody (TMAB-01855) Dilution: 2 μg/10^6 cells; Isotype Control Antibody (orange line): Rabbit IgG. Secondary Antibody: Goat anti-rabbit IgG-AF488 Dilution: 1 μg/test. Protocol The cells were fixed with 4% PFA (10 min at room temperature) and then permeabilized with 0.1% PBST for 20 min at at room temperature. The cells were then incubated in 5% BSA to block non-specific protein-protein interactions for 30 min at room temperature. Cells stained with Primary Antibody for 30 min at room temperature. The secondary antibody used for 40 min at room temperature. 3. Paraformaldehyde-fixed, paraffin embedded (Human esophageal cancer); Antigen retrieval by boiling in sodium citrate buffer (pH6.0) for 15 min; Block endogenous peroxidase by 3% hydrogen peroxide for 20 min; Blocking buffer (normal goat serum) at 37°C for 30 min; Antibody incubation with (TLR4) Polyclonal Antibody, Unconjugated (TMAB-01855) at 1:200 overnight at 4°C, followed by operating according to SP Kit (Rabbit) instructionsand DAB staining. 4. Blank control: K562. Primary Antibody (green line): Rabbit Anti-TLR4 antibody (TMAB-01855) Dilution: 0.5 μg/Test; Secondary Antibody (white blue line): Goat anti-rabbit IgG-AF488 Dilution: 0.5 μg/Test. Isotype control (orange line): Normal Rabbit IgG Protocol The cells were incubated in 5% BSA to block non-specific protein-protein interactions for 30 min at room temperature. Cells stained with Primary Antibody for 30 min at room temperature. The secondary antibody used for 40 min at room temperature. 5. Sample: Lane 1: Human MDA-MB-231 cell lysates Lane 2: Human HUVEC cell lysates Lane 3: Human HL-60 cell lysates Primary: Anti-TLR4 (TMAB-01855) at 1/1000 dilution Secondary: IRDye800CW Goat Anti-Rabbit IgG at 1/20000 dilution Predicted band size: 90 kDa Observed band size: 120 kDa ![]() ![]() ![]() ![]() ![]() |
| Application | |
| Recommended Dose | FCM=2 μg/Test; ICC/IF=1:100-500; IF=1:100-500; IHC-Fr=1:100-500; IHC-P=1:100-500; WB=1:500-2000 |
| Antibody Type | Polyclonal |
| Host Species | Rabbit |
| Subcellular Localization | Membrane; Single-pass type I membrane protein. |
| Tissue Specificity | Highly expressed in placenta, spleen and peripheral blood leukocytes. Detected in monocytes, macrophages, dendritic cells and several types of T-cells. |
| Construction | Polyclonal Antibody |
| Purification | Protein A purified |
| Appearance | Liquid |
| Formulation | 0.01M TBS (pH7.4) with 1% BSA, 0.02% Proclin300 and 50% Glycerol. |
| Concentration | 1 mg/mL |
| Research Background | The Toll-like receptor 4 by activating natural immunity, specific immune response involved in the start-up, Toll-like receptor 4 as an important signal transduction transmembrane receptor involved in the toxin-induced inflammation in the pathological process, its mechanisms of control On a growing concern. all regions were either double-stranded or sequenced with an alternatechemistry or covered by high quality data(i.e., phred quality >=30); an attempt was made to resolve all sequencing problems, such as compressions and repeats; all regions were covered by at least one subclone; and the assembly was confirmed by restriction digest, except on the rare occasion of the clone being a YAC. The following abbreviations are used to associate primary accession numbers given in the feature table with their source databases: Em:, EMBL; Sw:, SWISSPROT; Tr:, TREMBL; Wp:, WORMPEP; Information on the WORMPEP database can be found at. TLR-4 plays an important role in microvascular leakage and leukocyte adhesion under the inflammatory condition associated with nonseptic thermal injury. |
| Immunogen | KLH conjugated synthetic peptide: rat TLR4 |
| Antigen Species | Rat |
| Gene Name | TLR4 |
| Gene ID | |
| Protein Name | Toll-like receptor 4 |
| Uniprot ID | |
| Biology Area | Inflammatory mediators,Regulatory T Cells,Receptors,Macrophage / Inflamm.,TLR Signaling,Host Virus Interaction |
| Function | Cooperates with LY96 and CD14 to mediate the innate immune response to bacterial lipopolysaccharide (LPS). Acts via MYD88, TIRAP and TRAF6, leading to NF-kappa-B activation, cytokine secretion and the inflammatory response. Also involved in LPS-independent inflammatory responses triggered by Ni(2+). These responses require non-conserved histidines and are, therefore, species-specific. |
| Molecular Weight | Theoretical: 90 kDa. Actual: 110 kDa. |
| Stability & Storage | Store at -20°C or -80°C for 12 months. Avoid repeated freeze-thaw cycles. |
| Transport | Shipping with blue ice. |
| Size | Quantity | Unit Price | Amount | Operation |
|---|

Copyright © 2015-2026 TargetMol Chemicals Inc. All Rights Reserved.