Shopping Cart
Remove All
Your shopping cart is currently empty
Anti-TLR2 Antibody (7H593) is a Rabbit antibody targeting TLR2. Anti-TLR2 Antibody (7H593) can be used in FCM,ICC/IF,IHC,WB.
| Pack Size | Price | USA Warehouse | Global Warehouse | Quantity |
|---|---|---|---|---|
| 50 μL | $296 | 7-10 days | 7-10 days | |
| 100 μL | $498 | 7-10 days | 7-10 days |
| Description | Anti-TLR2 Antibody (7H593) is a Rabbit antibody targeting TLR2. Anti-TLR2 Antibody (7H593) can be used in FCM,ICC/IF,IHC,WB. |
| Synonyms | toll-like receptor 2 |
| Ig Type | IgG |
| Clone | 7H593 |
| Reactivity | Human,Mouse,Rat |
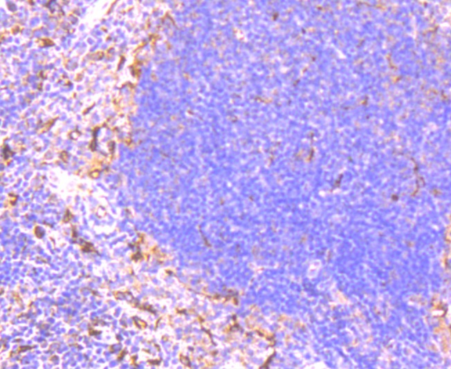
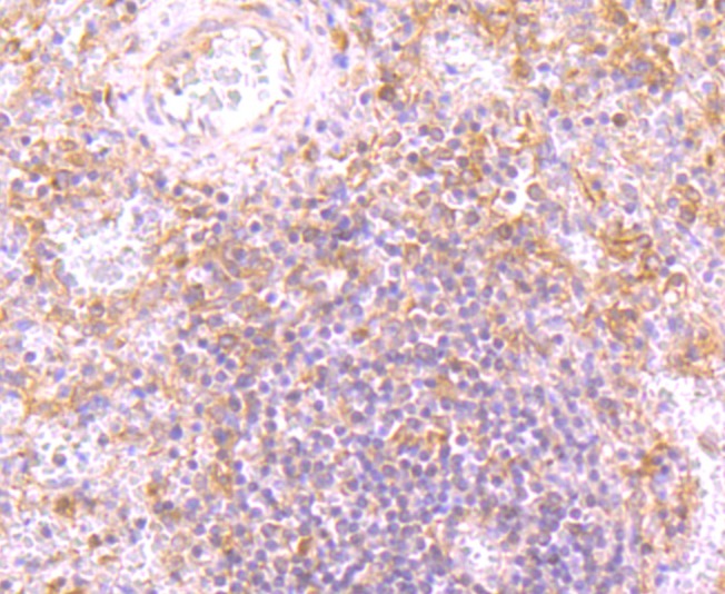
| Verified Activity | 1. Immunohistochemical analysis of paraffin-embedded mouse spleen tissue using anti-TLR2 antibody. Counter stained with hematoxylin. 2. Immunohistochemical analysis of paraffin-embedded human spleen tissue using anti-TLR2 antibody. Counter stained with hematoxylin. 3. ICC staining TLR2 in PC-3M cells (green). The nuclear counter stain is DAPI (blue). Cells were fixed in paraformaldehyde, permeabilised with 0.25% Triton X100/PBS. 4. ICC staining TLR2 in A549 cells (green). The nuclear counter stain is DAPI (blue). Cells were fixed in paraformaldehyde, permeabilised with 0.25% Triton X100/PBS. 5. ICC staining TLR2 in HepG2 cells (green). The nuclear counter stain is DAPI (blue). Cells were fixed in paraformaldehyde, permeabilised with 0.25% Triton X100/PBS. 6. Flow cytometric analysis of THP-1 cells with TLR2 antibody at 1/100 dilution (red) compared with an unlabelled control (cells without incubation with primary antibody; black). 7. Western blot analysis of TLR2 on HL-60 cell lysates. ![]() ![]() ![]() ![]() ![]() ![]() ![]() |
| Application | |
| Recommended Dose | WB: 1:500-2000; IHC: 1:50-200; ICC/IF: 1:50-200; FCM: 1:50-100 |
| Antibody Type | Monoclonal |
| Host Species | Rabbit |
| Construction | Recombinant Antibody |
| Purification | ProA affinity purified |
| Appearance | Liquid |
| Formulation | 1*TBS (pH7.4), 1%BSA, 40%Glycerol. Preservative: 0.05% Sodium Azide. |
| Research Background | The TLR family of proteins are characterized by a highly conserved Toll homology (TH) domain, which is essential for Toll-induced signal transduction. TLR1, as well as the other TLR family members, are type I transmembrane receptors that characteristically contain an extracellular domain consisting of several leucine-rich regions along with a single cytoplasmic Toll/IL-1R-like domain. TLR2 and TLR4 are activated in response to lipopolysacchride (LPS) stimulation, which results in the activation and translocation of NFkB and suggests that these receptors are involved in mediating inflammatory responses. Expression of TLR receptors is highest in peripheral blood leukocytes, macrophages, and monocytes. TLR6 is highly homologous to TLR1, sharing greater than 65% sequence identity, and, like other members of TLR family, it induces NFkB signaling upon activation. |
| Conjucates | Unconjugated |
| Immunogen | Recombinant Protein |
| Uniprot ID |
| Stability & Storage | Store at -20°C or -80°C for 12 months. Avoid repeated freeze-thaw cycles. |
| Transport | Shipping with blue ice. |
| Size | Quantity | Unit Price | Amount | Operation |
|---|

Copyright © 2015-2026 TargetMol Chemicals Inc. All Rights Reserved.