Shopping Cart
Remove All
Your shopping cart is currently empty
Anti-STK3 Antibody (1D681) is a Rabbit antibody targeting STK3. Anti-STK3 Antibody (1D681) can be used in IHC,IP,WB.
| Pack Size | Price | USA Warehouse | Global Warehouse | Quantity |
|---|---|---|---|---|
| 50 μL | $298 | 7-10 days | 7-10 days | |
| 100 μL | $498 | 7-10 days | 7-10 days |
| Description | Anti-STK3 Antibody (1D681) is a Rabbit antibody targeting STK3. Anti-STK3 Antibody (1D681) can be used in IHC,IP,WB. |
| Synonyms | STK 3, STE20-like kinase MST2, Serine/threonine-protein kinase Krs-1, Serine/threonine-protein kinase 3, MST-2, MST2, Mammalian STE20-like protein kinase 2, KRS1, EC 2.7.11.1 |
| Ig Type | IgG |
| Clone | 1D681 |
| Reactivity | Human,Mouse,Rat |
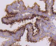
| Verified Activity | 1. Western blot analysis of Mst2 on different lysates using anti-Mst2 antibody at 1/1,000 dilution. Positive control: Lane 1: CRC, Lane 2: HCT116. 2. Immunohistochemical analysis of paraffin-embedded mouse placenta tissue using anti-Mst2 antibody. Counter stained with hematoxylin. ![]() ![]() |
| Application | |
| Recommended Dose | WB: 1:1000-5000; IHC: 1:50-200 |
| Antibody Type | Monoclonal |
| Host Species | Rabbit |
| Construction | Recombinant Antibody |
| Purification | ProA affinity purified |
| Appearance | Liquid |
| Formulation | 1*TBS (pH7.4), 1%BSA, 40%Glycerol. Preservative: 0.05% Sodium Azide. |
| Research Background | Sterile-20 (Ste20) is a serine/threonine kinase in Saccharomyces cerevisiae that is involved in relaying signals from G protein-coupled receptors to cyto-solic MAP kinase cascades. Mammalian protein kinases that display sequence similarity to Ste20 are divided into two groups, the PAK subfamily and the GCK subfamily. The PAK subfamily members contain a C-terminal catalytic domain and an N-terminal regulatory domain with a p21Rac/Cdc42-binding site, and these kinases can activate both p38 MAPK and JNK. The GCK subfamily members contain a C-terminal regulatory domain and an N-terminal catalytic domain, and they have diverse roles in many pathways, including the activation of ERK, JNK, p38 MAPK, and caspase-3. The mammalian Ste20-like kinases (MST kinases), also known as Krs proteins, are members of the GCK subfamily. Ksr-1 (MST-2) and Ksr-2 (MST-1) are both direct substrates of caspase-3 that accelerate caspase-3 activation. MST-3 is ubiquitously expressed in mammalian tissue and can phosphorylate exogenous substrates as well as itself. MST-4 is highly expressed in placenta, thymus, and peripheral blood leukocytes, and it specifically activates ERK. |
| Conjucates | Unconjugated |
| Immunogen | Recombinant Protein |
| Uniprot ID |
| Molecular Weight | Theoretical: 36/56 kDa. |
| Stability & Storage | Store at -20°C or -80°C for 12 months. Avoid repeated freeze-thaw cycles. |
| Transport | Shipping with blue ice. |
| Size | Quantity | Unit Price | Amount | Operation |
|---|

Copyright © 2015-2026 TargetMol Chemicals Inc. All Rights Reserved.