Shopping Cart
Remove All
Your shopping cart is currently empty
Anti-SK2 Antibody (4K957) is a Mouse antibody targeting SK2. Anti-SK2 Antibody (4K957) can be used in FCM,ICC,IHC.
| Pack Size | Price | USA Warehouse | Global Warehouse | Quantity |
|---|---|---|---|---|
| 50 μL | $298 | 7-10 days | 7-10 days | |
| 100 μL | $427 | 7-10 days | 7-10 days |
| Description | Anti-SK2 Antibody (4K957) is a Mouse antibody targeting SK2. Anti-SK2 Antibody (4K957) can be used in FCM,ICC,IHC. |
| Synonyms | Sulfurylase kinase 2, SK 2, PHOSPHOADENOSINE-PHOSPHOSULFATE SYNTHETASE 2, PAPSS 2, PAPS synthetase 2, PAPS synthase 2, Bifunctional 3' phosphoadenosine 5' phosphosulfate synthethase 2, Bifunctional 3' phosphoadenosine 5' phosphosulfate synthase 2, ATPSK2, ATP sulfurylase/APS kinase 2, ATP SULFURYLASE/ADENOSINE 5-PRIME PHOSPHOSULFATE KINASE 2, ATP sulfurylase/adenosine 5' phosphosulfate kinase, 3 prime phosphoadenosine 5 prime phosphosulfate synthase 2, 3' phosphoadenosine 5' phosphosulfate synthase 2 |
| Clone | 4K957 |
| Reactivity | Human |
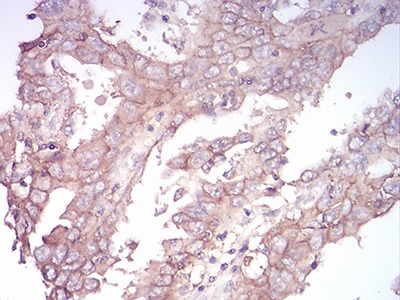
| Verified Activity | 1. Immunohistochemical analysis of paraffin-embedded human bladder cancer tissue using anti- SPHK2 antibody. Counter stained with hematoxylin. 2. Immunohistochemical analysis of paraffin-embedded human endometrial cancer tissue using anti- SPHK2 antibody. Counter stained with hematoxylin. 3. ICC staining SPHK2 (green) and Actin filaments (red) in Hela cells. The nuclear counter stain is DAPI (blue). Cells were fixed in paraformaldehyde, permeabilised with 0.25% Triton X100/PBS. 4. Flow cytometric analysis of Hela cells with SPHK2 antibody at 1/100 dilution (green) compared with an unlabelled control (cells without incubation with primary antibody; red). ![]() ![]() ![]() ![]() |
| Application | |
| Recommended Dose | IHC: 1:200-1000; ICC: 1:200-1000; FCM: 1:50-100 |
| Antibody Type | Monoclonal |
| Host Species | Mouse |
| Construction | Hybridoma Monoclonal Antibody |
| Purification | ProA affinity purified |
| Appearance | Liquid |
| Formulation | 1*TBS (pH7.4), 1%BSA, 40%Glycerol. Preservative: 0.05% Sodium Azide. |
| Research Background | This gene encodes one of two sphingosine kinase isozymes that catalyze the phosphorylation of sphingosine into sphingosine 1-phosphate. Sphingosine 1-phosphate mediates many cellular processes including migration, proliferation and apoptosis, and also plays a role in several types of cancer by promoting angiogenesis and tumorigenesis. The encoded protein may play a role in breast cancer proliferation and chemoresistance. Alternatively spliced transcript variants encoding multiple isoforms have been observed for this gene. |
| Conjucates | Unconjugated |
| Immunogen | Recombinant Protein |
| Uniprot ID |
| Molecular Weight | Theoretical: 69 kDa. |
| Stability & Storage | Store at -20°C or -80°C for 12 months. Avoid repeated freeze-thaw cycles. |
| Transport | Shipping with blue ice. |
| Size | Quantity | Unit Price | Amount | Operation |
|---|

Copyright © 2015-2026 TargetMol Chemicals Inc. All Rights Reserved.