Shopping Cart
Remove All
Your shopping cart is currently empty
Anti-RGC32/C13orf15 Polyclonal Antibody is a Rabbit antibody targeting RGC32/C13orf15. Anti-RGC32/C13orf15 Polyclonal Antibody can be used in FCM, IF, IHC-Fr, IHC-P.
| Pack Size | Price | USA Warehouse | Global Warehouse | Quantity |
|---|---|---|---|---|
| 50 μL | $221 | 7-10 days | 7-10 days | |
| 100 μL | $374 | 7-10 days | 7-10 days | |
| 200 μL | $528 | 7-10 days | 7-10 days |
| Description | Anti-RGC32/C13orf15 Polyclonal Antibody is a Rabbit antibody targeting RGC32/C13orf15. Anti-RGC32/C13orf15 Polyclonal Antibody can be used in FCM, IF, IHC-Fr, IHC-P. |
| Synonyms | RGCC, RGC32, RGC 32, Response gene to complement 32 protein, response gene to complement 32, MGC87338, KIAA0564, Chromosome 13 open reading frame 15 |
| Ig Type | IgG |
| Reactivity | Human,Mouse,Rat (predicted:Chicken,Dog,Pig,Cow,Horse,Rabbit,Sheep) |
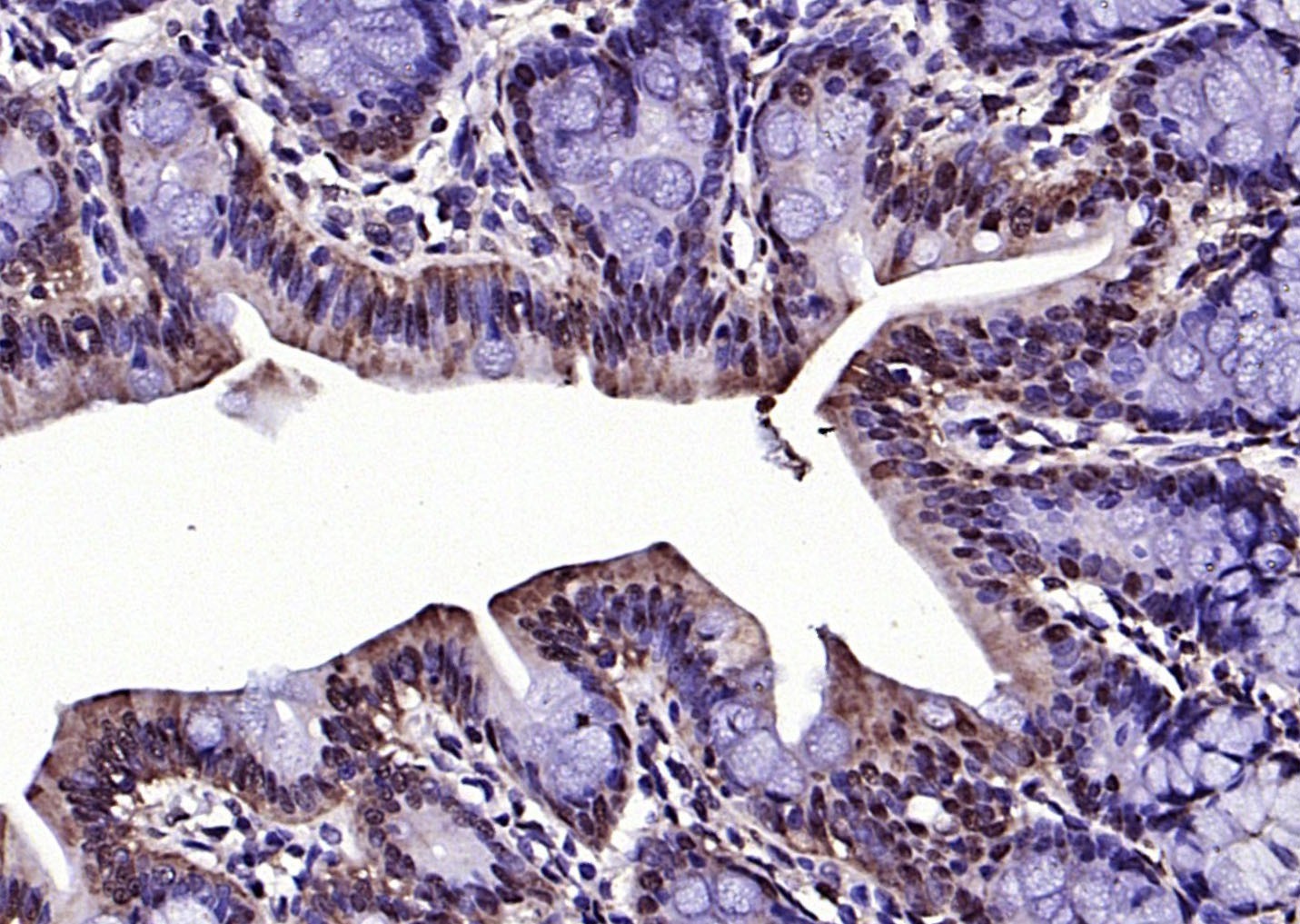
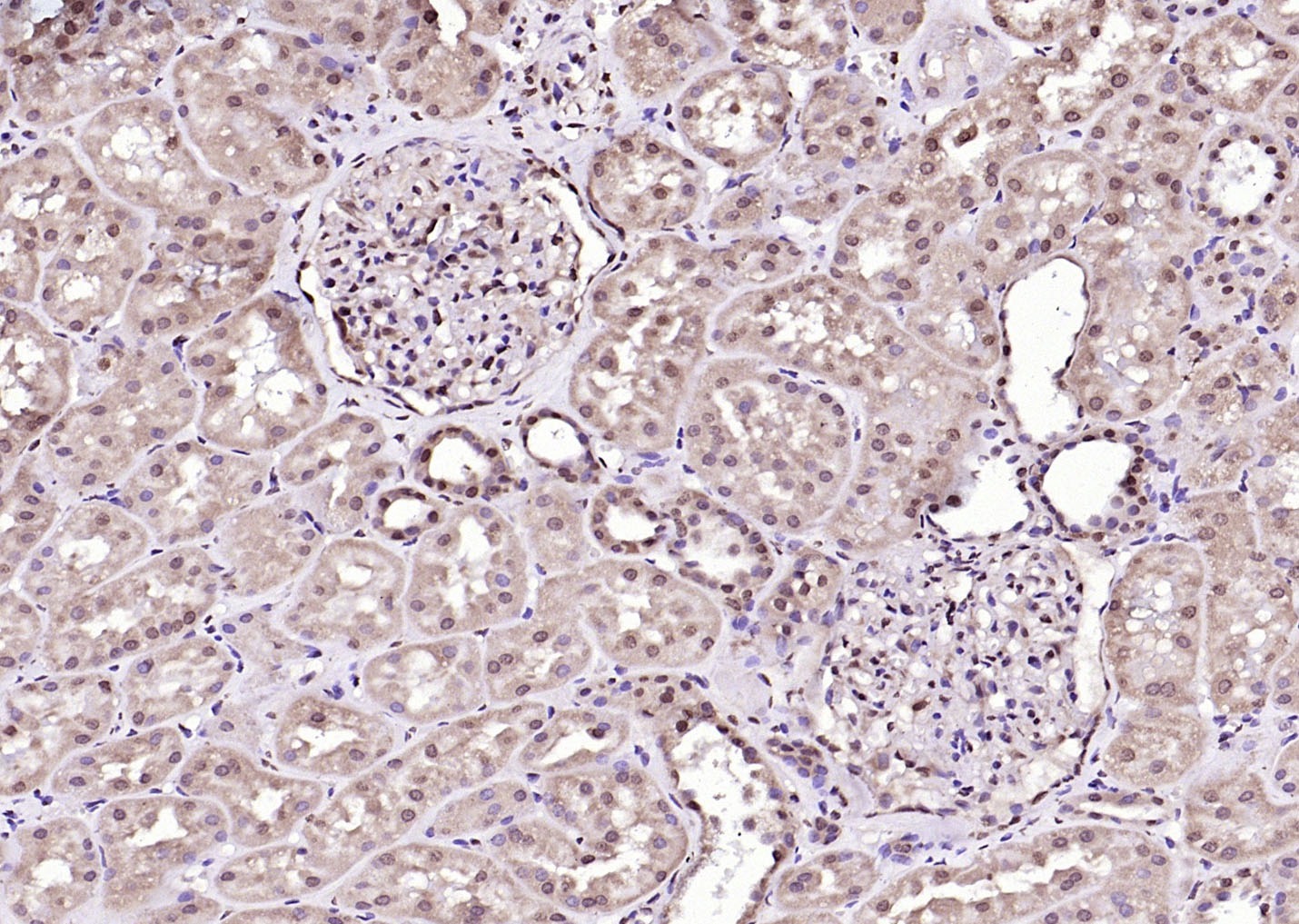
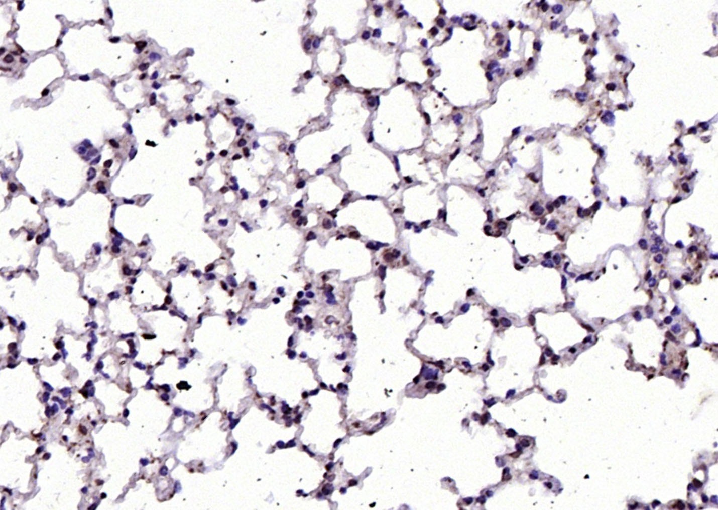
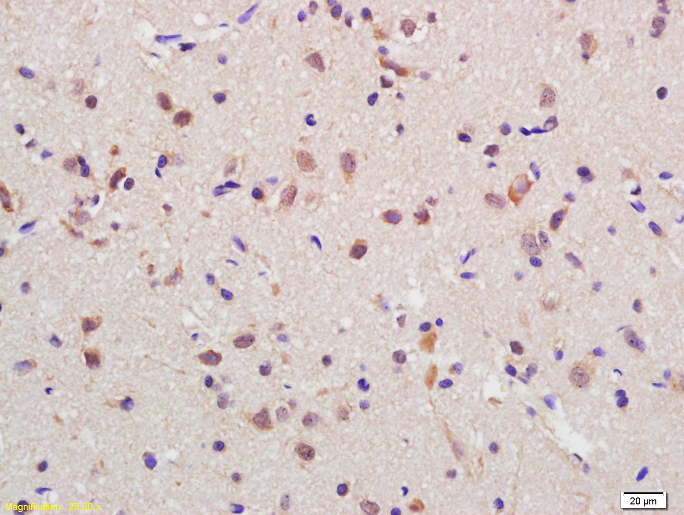
| Verified Activity | 1. Tissue/cell: rat brain tissue; 4% Paraformaldehyde-fixed and paraffin-embedded; Antigen retrieval: citrate buffer (0.01M, pH6.0), Boiling bathing for 15 min; Block endogenous peroxidase by 3% Hydrogen peroxide for 30 min; Blocking buffer (normal goat serum) at 37°C for 20 min; Incubation: Anti-C13orf15 Polyclonal Antibody, Unconjugated (TMAB-01614) 1:200, overnight at 4°C, followed by conjugation to the secondary antibody and DAb staining. 2. Blank control: Molt-4. Primary Antibody (green line): Rabbit Anti-C13orf15 antibody (TMAB-01614) Dilution: 1 μg/10^6 cells; Isotype Control Antibody (orange line): Rabbit IgG. Secondary Antibody: Goat anti-rabbit IgG-AF647 Dilution: 1 μg/test. Protocol The cells were fixed with 4% PFA (10 min at room temperature) and then permeabilized with 90% ice-cold methanol for 20 min at-20°C. The cells were then incubated in 5% BSA to block non-specific protein-protein interactions for 30 min at at room temperature. Cells stained with Primary Antibody for 30 min at room temperature. The secondary antibody used for 40 min at room temperature. 3. Paraformaldehyde-fixed, paraffin embedded (rat colon); Antigen retrieval by boiling in sodium citrate buffer (pH6.0) for 15 min; Block endogenous peroxidase by 3% hydrogen peroxide for 20 min; Blocking buffer (normal goat serum) at 37°C for 30 min; Antibody incubation with (RGC32) Polyclonal Antibody, Unconjugated (TMAB-01614) at 1:200 overnight at 4°C, followed by operating according to SP Kit (Rabbit) instructionsand DAB staining. 4. Paraformaldehyde-fixed, paraffin embedded (mouse lung); Antigen retrieval by boiling in sodium citrate buffer (pH6.0) for 15 min; Block endogenous peroxidase by 3% hydrogen peroxide for 20 min; Blocking buffer (normal goat serum) at 37°C for 30 min; Antibody incubation with (RGC32) Polyclonal Antibody, Unconjugated (TMAB-01614) at 1:200 overnight at 4°C, followed by operating according to SP Kit (Rabbit) instructionsand DAB staining. 5. Paraformaldehyde-fixed, paraffin embedded (rat lung); Antigen retrieval by boiling in sodium citrate buffer (pH6.0) for 15 min; Block endogenous peroxidase by 3% hydrogen peroxide for 20 min; Blocking buffer (normal goat serum) at 37°C for 30 min; Antibody incubation with (RGC32) Polyclonal Antibody, Unconjugated (TMAB-01614) at 1:200 overnight at 4°C, followed by operating according to SP Kit (Rabbit) instructionsand DAB staining. 6. Paraformaldehyde-fixed, paraffin embedded (rat kidney); Antigen retrieval by boiling in sodium citrate buffer (pH6.0) for 15 min; Block endogenous peroxidase by 3% hydrogen peroxide for 20 min; Blocking buffer (normal goat serum) at 37°C for 30 min; Antibody incubation with (RGC32) Polyclonal Antibody, Unconjugated (TMAB-01614) at 1:200 overnight at 4°C, followed by operating according to SP Kit (Rabbit) instructionsand DAB staining. 7. Paraformaldehyde-fixed, paraffin embedded (Human kidney); Antigen retrieval by boiling in sodium citrate buffer (pH6.0) for 15 min; Block endogenous peroxidase by 3% hydrogen peroxide for 20 min; Blocking buffer (normal goat serum) at 37°C for 30 min; Antibody incubation with (RGC32) Polyclonal Antibody, Unconjugated (TMAB-01614) at 1:200 overnight at 4°C, followed by operating according to SP Kit (Rabbit) instructionsand DAB staining. ![]() ![]() ![]() ![]() ![]() ![]() ![]() |
| Application | |
| Recommended Dose | FCM=1 μg/Test; IF=1:100-500; IHC-Fr=1:100-500; IHC-P=1:100-500 |
| Antibody Type | Polyclonal |
| Host Species | Rabbit |
| Subcellular Localization | Cytoplasm. Nucleus. Cytoplasm ?cytoskeleton ?centrosome. Note: Cytoplasmic in unstimulated cells. Nuclear after activation by complement. Associated with the centrosome during prometaphase and metaphase. |
| Tissue Specificity | Detected in brain, heart and liver (at protein level). Highly expressed in liver, skeletal muscle, kidney and pancreas. Detected at lower levels in heart, brain and placenta. Detected in aorta endothelial cells. Overexpressed in colon, breast, prostate, b |
| Construction | Polyclonal Antibody |
| Purification | Protein A purified |
| Appearance | Liquid |
| Formulation | 0.01M TBS (pH7.4) with 1% BSA, 0.02% Proclin300 and 50% Glycerol. |
| Concentration | 1 mg/mL |
| Research Background | RGC32, also known as C13orf15, is a 137 amino acid protein that localizes to the cytoplasm, as well as to the nucleus and the centrosome. Expressed at high levels in kidney, pancreas and skeletal muscle and at lower levels in brain, heart and placenta, RGC32 functions to modulate the activity of cell cycle-specific kinases, thereby regulating cell cycle progression. Additionally, RGC32 may promote cell cycle arrest at the G2/M phase transition and is thought to inhibit the growth of glioma cells, possibly functioning as a tumor suppressor. Conversely, overexpression of RGC32 may promote cell replication and assist in the pathogenesis of malignancies, suggesting that RGC32 also participates in tumor transformation and progression. RGC32 activity is induced by complement activation and by p53 in response to DNA damage. Multiple isoforms of RGC32 exist as a result of alternative splicing events. |
| Immunogen | KLH conjugated synthetic peptide: human RGC32 |
| Antigen Species | Human |
| Gene Name | RGCC |
| Gene ID | |
| Protein Name | Regulator of cell cycle RGCC |
| Uniprot ID | |
| Biology Area | p53 pathway,Cdks,p53,Cdks |
| Function | Modulates the activity of cell cycle-specific kinases. Enhances CDK1 activity. May contribute to the regulation of the cell cycle. May inhibit growth of glioma cells by promoting arrest of mitotic progression at the G2/M transition. Fibrogenic factor contributing to the pathogenesis of renal fibrosis through fibroblast activation. |
| Molecular Weight | Theoretical: 15 kDa. |
| Stability & Storage | Store at -20°C or -80°C for 12 months. Avoid repeated freeze-thaw cycles. |
| Transport | Shipping with blue ice. |
| Size | Quantity | Unit Price | Amount | Operation |
|---|

Copyright © 2015-2026 TargetMol Chemicals Inc. All Rights Reserved.