Shopping Cart
Remove All
Your shopping cart is currently empty
Synonyms: Serine-threonine protein kinase N, Serine/threonine-protein kinase N1, Protein-kinase C-related kinase 1, Protein kinase PKN-alpha, Protein kinase C-like PKN, Protein kinase C-like 1, Protease-activated kinase 1 (PAK-1), PRKCL1, PRK1, PKN1, PKN, PAK1
| Pack Size | Price | USA Stock | Global Stock | Quantity |
|---|---|---|---|---|
| 50 μL | $298 | 7-10 days | 7-10 days | |
| 100 μL | $427 | 7-10 days | 7-10 days |
| Description | Anti-PKN1 Antibody (9Q867) is a Mouse antibody targeting PKN1. Anti-PKN1 Antibody (9Q867) can be used in FCM,ICC,IHC,WB. |
| Synonyms | Serine-threonine protein kinase N, Serine/threonine-protein kinase N1, Protein-kinase C-related kinase 1, Protein kinase PKN-alpha, Protein kinase C-like PKN, Protein kinase C-like 1, Protease-activated kinase 1 (PAK-1), PRKCL1, PRK1, PKN1, PKN, PAK1 |
| Clone | 9Q867 |
| Reactivity | Human |
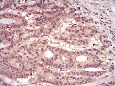
| Verified Activity | 1. Western blot analysis of PKN1 on human PKN1 recombinant protein using anti-PKN1 antibody at 1/1,000 dilution. 2. Western blot analysis of PKN1 on HEK293 (1) and PKN1-hIgGFc transfected HEK293 (2) cell lysate using anti-PKN1 antibody at 1/1,000 dilution. 3. Immunohistochemical analysis of paraffin-embedded human colon cancer tissue using anti-PKN1 antibody. Counter stained with hematoxylin. 4. ICC staining PKN1 (green) and Actin filaments (red) in Hela cells. The nuclear counter stain is DAPI (blue). Cells were fixed in paraformaldehyde, permeabilised with 0.25% Triton X100/PBS. 5. Flow cytometric analysis of Hela cells with PKN1 antibody at 1/100 dilution (green) compared with an unlabelled control (cells without incubation with primary antibody; red). |
| Application | |
| Recommended Dose | WB: 1:500-2000; IHC: 1:50-200; ICC: 1:50-200; FCM: 1:50-100 |
| Antibody Type | Monoclonal |
| Host Species | Mouse |
| Construction | Hybridoma Monoclonal Antibody |
| Purification | ProA affinity purified |
| Appearance | Liquid |
| Formulation | 1*TBS (pH7.4), 1%BSA, 40%Glycerol. Preservative: 0.05% Sodium Azide. |
| Research Background | Rho, the Ras-related small GTPase, is responsible for the regulation of actin-based cytoskeletal structures including stress fibers, focal adhesions and the contractile ring apparatus. Rho proteins act as molecular switches which are able to turn cytokinesis on and off. Although little is know about signaling downstream of Rho, several proteins have been implicated as Rho effectors. Protein kinase N (PKN) is a fatty acid-activated serine/threonine kinase whose catalytic domain exhibits homology with that of the PKC family. PKN associates with Rho via its amino terminus, is activated in a GTP-dependent manner and phosphorylates the head-rod domain of neurofilament protein. A second protein, rhophilin, exhibits 40% sequence identity with the amino terminal Rho binding domain. The enzymatic activity of rhophilin has not been demonstrated and it is possible that it acts through the recruitment of cytoskeletal components that initiate a kinase signaling cascade. Citron interacts specifically with active Rho and Rac1 but not Cdc42. Citron exhibits a distinctive protein organization and little homology with the Rho binding domains of PKN and rhophilin. |
| Conjucates | Unconjugated |
| Immunogen | Recombinant Protein |
| Uniprot ID |
| Molecular Weight | Theoretical: 104 kDa. |
| Stability & Storage | Store at -20°C or -80°C for 12 months. Avoid repeated freeze-thaw cycles. |
| Transport | Shipping with blue ice. |
| Size | Quantity | Unit Price | Amount | Operation |
|---|

Copyright © 2015-2026 TargetMol Chemicals Inc. All Rights Reserved.