Shopping Cart
Remove All
Your shopping cart is currently empty
Anti-Phospho-JUN (Ser63) Antibody (4N22) is a Rabbit antibody targeting Phospho-JUN (Ser63). Anti-Phospho-JUN (Ser63) Antibody (4N22) can be used in ICC,IHC,WB.
| Pack Size | Price | USA Warehouse | Global Warehouse | Quantity |
|---|---|---|---|---|
| 50 μL | $296 | 7-10 days | 7-10 days | |
| 100 μL | $498 | 7-10 days | 7-10 days |
| Description | Anti-Phospho-JUN (Ser63) Antibody (4N22) is a Rabbit antibody targeting Phospho-JUN (Ser63). Anti-Phospho-JUN (Ser63) Antibody (4N22) can be used in ICC,IHC,WB. |
| Synonyms | p-JUN (Ser63), p-JUN (S63), JUN (p-Ser63), JUN (p-S63) |
| Ig Type | IgG |
| Clone | 4N22 |
| Reactivity | Human,Mouse,Rat |
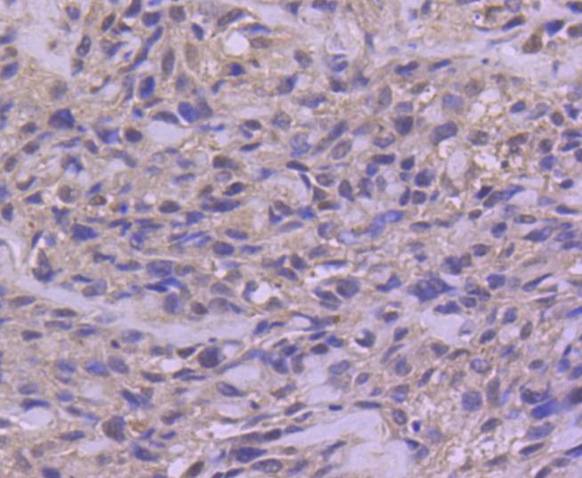
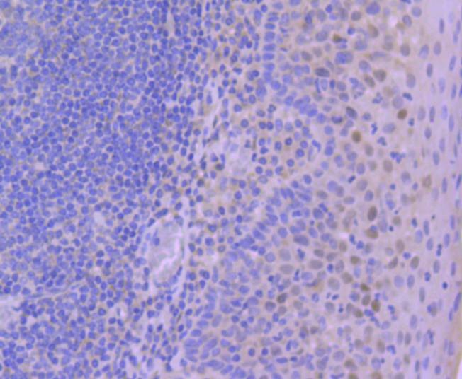
| Verified Activity | 1. Western blot analysis of Phospho-c-Jun (S63) on different lysates using anti-Phospho-c-Jun (S63) antibody at 1/1,000 dilution. Positive control: Lane 1: NIH/3T3, Lane 2: 293T. 2. Immunohistochemical analysis of paraffin-embedded human breast carcinoma tissue using anti-Phospho-c-Jun (S63) antibody. Counter stained with hematoxylin. 3. Immunohistochemical analysis of paraffin-embedded human tonsil tissue using anti-Phospho-c-Jun (S63) antibody. Counter stained with hematoxylin. 4. ICC staining Phospho-c-Jun (S63) in PC-3M cells (green). The nuclear counter stain is DAPI (blue). Cells were fixed in paraformaldehyde, permeabilised with 0.25% Triton X100/PBS. 5. ICC staining Phospho-c-Jun (S63) in MCF-7 cells (green). The nuclear counter stain is DAPI (blue). Cells were fixed in paraformaldehyde, permeabilised with 0.25% Triton X100/PBS. 6. ICC staining Phospho-c-Jun (S63) in A549 cells (green). The nuclear counter stain is DAPI (blue). Cells were fixed in paraformaldehyde, permeabilised with 0.25% Triton X100/PBS. ![]() ![]() ![]() ![]() ![]() ![]() |
| Application | |
| Recommended Dose | WB: 1:1000-2000; IHC: 1:50-100; ICC: 1:50-200 |
| Antibody Type | Monoclonal |
| Host Species | Rabbit |
| Construction | Recombinant Antibody |
| Purification | ProA affinity purified |
| Appearance | Liquid |
| Formulation | 1*TBS (pH7.4), 1%BSA, 40%Glycerol. Preservative: 0.05% Sodium Azide. |
| Research Background | Genes belonging to the Jun and Fos oncogene families encode nuclear proteins that are associated with a number of transcriptional complexes. The c-Jun protein is a major component of the transcription factor AP-1, originally shown to mediate phorbol ester tumor promoter (TPA)-induced expression of responsive genes through the TPA-response element (TRE). The Jun proteins form homo- and heterodimers which bind the TRE, while Fos proteins are active only as heterodimers with any of the Jun proteins. Fos/Jun heterodimers have a much higher affinity for the TRE than Jun homodimers. Ha-Ras augments c-Jun activity and stimulates phosphorylation of its activation domain. An inhibitor of Fos/Jun function, termed IP-1, associates with Fos and Jun and is inactivated upon phosphorylation induced by the cAMP-dependent protein kinase A (PKA). |
| Conjucates | Unconjugated |
| Others Formats | Phospho |
| Immunogen | A synthesized phosphopeptide: human c-Jun around the phosphorylation site of Ser63 |
| Antigen Species | human |
| Uniprot ID |
| Molecular Weight | Theoretical: 40 kDa. |
| Stability & Storage | Store at -20°C or -80°C for 12 months. Avoid repeated freeze-thaw cycles. |
| Transport | Shipping with blue ice. |
| Size | Quantity | Unit Price | Amount | Operation |
|---|

Copyright © 2015-2026 TargetMol Chemicals Inc. All Rights Reserved.