Shopping Cart
Remove All
Your shopping cart is currently empty
Anti-Phospho-ATM (Ser1981) Polyclonal Antibody is a Rabbit antibody targeting Phospho-ATM (Ser1981). Anti-Phospho-ATM (Ser1981) Polyclonal Antibody can be used in IHC,WB.
| Pack Size | Price | USA Warehouse | Global Warehouse | Quantity |
|---|---|---|---|---|
| 50 μL | $218 | 7-10 days | 7-10 days | |
| 100 μL | $317 | 7-10 days | 7-10 days |
| Description | Anti-Phospho-ATM (Ser1981) Polyclonal Antibody is a Rabbit antibody targeting Phospho-ATM (Ser1981). Anti-Phospho-ATM (Ser1981) Polyclonal Antibody can be used in IHC,WB. |
| Synonyms | p-ATM (Ser1981), p-ATM (S1981), ATM (p-Ser1981), ATM (p-S1981) |
| Ig Type | IgG |
| Reactivity | Human |
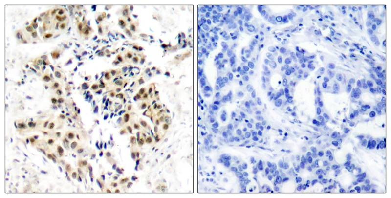
| Verified Activity | 1. Western blot analysis of extracts from Hela cells untreated or treated with UV using ATM(Phospho-Ser1981) Antibody TMAC-00336. 2. Immunohistochemical analysis of paraffin-embedded human breast carcinoma tissue using ATM(Phospho-Ser1981) Antibody TMAC-00336(left) or the same antibody preincubated with blocking peptide(right). ![]() ![]() |
| Application | |
| Antibody Type | Polyclonal |
| Host Species | Rabbit |
| Construction | Polyclonal Antibody |
| Purification | Antibodies were produced by immunizing rabbits with synthetic phosphopeptide and KLH conjugates. Antibodies were purified by affinity-chromatography using epitope-specific phosphopeptide. Non-phospho specific antibodies were removed by chromatogramphy using non-phosphopeptide. |
| Appearance | Liquid |
| Formulation | Supplied at 1.0mg/mL in phosphate buffered saline (without Mg2+ and Ca2+), pH 7.4, 150mM NaCl, 0.02% sodium azide and 50% glycerol. |
| Research Background | ATM encoded by this gene belongs to the PI3/PI4-kinase family. This protein is an important cell cycle checkpoint kinase that phosphorylates; thus, it functions as a regulator of a wide variety of downstream proteins, including tumor suppressor proteins p53 and BRCA1, checkpoint kinase CHK2, checkpoint proteins RAD17 and RAD9, and DNA repair protein NBS1. This protein and the closely related kinase ATR are thought to be master controllers of cell cycle checkpoint signaling pathways that are required for cell response to DNA damage and for genome stability. Mutations in this gene are associated with ataxia telangiectasia, an autosomal recessive disorder. Two transcript variants encoding different isoforms have been found for this gene. |
| Conjucates | Unconjugated |
| Others Formats | Phospho |
| Immunogen | Peptide sequence around phosphorylation site of serine 1981 (E-G-S(p)-Q-S) derived from Human ATM |
| Antigen Species | human |
| Uniprot ID |
| Stability & Storage | Store at 2°C-8°C for 1 month. Store at -20°C or -80°C for 12 months. Avoid repeated freeze-thaw cycles. |
| Transport | Shipping with blue ice. |
| Size | Quantity | Unit Price | Amount | Operation |
|---|

Copyright © 2015-2026 TargetMol Chemicals Inc. All Rights Reserved.