Shopping Cart
Remove All
Your shopping cart is currently empty
Anti-Phospho-AKT1 (Ser124) Antibody (1H96) is a Rabbit antibody targeting Phospho-AKT1 (Ser124). Anti-Phospho-AKT1 (Ser124) Antibody (1H96) can be used in ICC/IF,IHC,IP,WB.
| Pack Size | Price | USA Warehouse | Global Warehouse | Quantity |
|---|---|---|---|---|
| 50 μL | $298 | 7-10 days | 7-10 days | |
| 100 μL | $498 | 7-10 days | 7-10 days |
| Description | Anti-Phospho-AKT1 (Ser124) Antibody (1H96) is a Rabbit antibody targeting Phospho-AKT1 (Ser124). Anti-Phospho-AKT1 (Ser124) Antibody (1H96) can be used in ICC/IF,IHC,IP,WB. |
| Synonyms | p-AKT1 (Ser124), p-AKT1 (S124), AKT1 (p-Ser124), AKT1 (p-S124) |
| Ig Type | IgG |
| Clone | 1H96 |
| Reactivity | Human,Mouse,Rat |
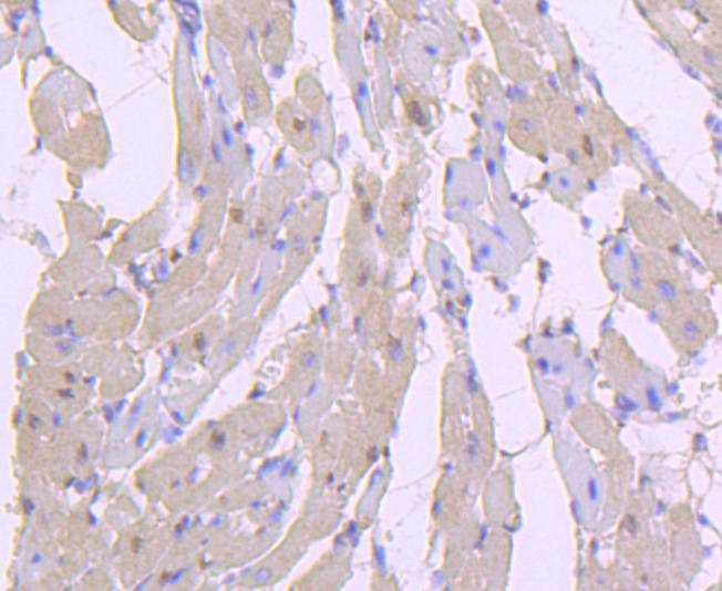
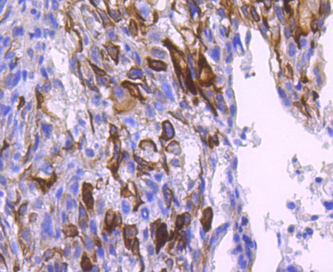
| Verified Activity | 1. Immunohistochemical analysis of paraffin-embedded rat heart tissue using anti-Phospho-AKT1 (S124) antibody. Counter stained with hematoxylin. 2. Immunohistochemical analysis of paraffin-embedded human breast carcinoma tissue using anti-Phospho-AKT1 (S124) antibody. Counter stained with hematoxylin. 3. ICC staining Phospho-AKT1 (S124) in PC-3M cells (green). The nuclear counter stain is DAPI (blue). Cells were fixed in paraformaldehyde, permeabilised with 0.25% Triton X100/PBS. 4. ICC staining Phospho-AKT1 (S124) in NIH/3T3 cells (green). The nuclear counter stain is DAPI (blue). Cells were fixed in paraformaldehyde, permeabilised with 0.25% Triton X100/PBS. 5. ICC staining Phospho-AKT1 (S124) in MCF-7 cells (green). The nuclear counter stain is DAPI (blue). Cells were fixed in paraformaldehyde, permeabilised with 0.25% Triton X100/PBS. ![]() ![]() ![]() ![]() ![]() |
| Application | |
| Recommended Dose | WB: 1:1000; IHC: 1:50-200; ICC/IF: 1:50-200 |
| Antibody Type | Monoclonal |
| Host Species | Rabbit |
| Construction | Recombinant Antibody |
| Purification | ProA affinity purified |
| Appearance | Liquid |
| Formulation | 1*TBS (pH7.4), 1%BSA, 40%Glycerol. Preservative: 0.05% Sodium Azide. |
| Research Background | The serine/threonine kinase Akt family contains several members, including Akt1 (also designated PKB or RacPK), Akt2 (also designated PKBβ or RacPK-βb) and Akt 3 (also designated PKBγ or thyoma viral proto-oncogene 3), which exhibit sequence homology with the protein kinase A and C families and are encoded by the c-Akt proto-oncogene. All members of the Akt family have a pleckstrin homology domain. Akt1 and Akt2 are activated by PDGF stimulation. Activation is dependent on PDGFR-β Tyr residues 740 and 751, which bind the subunit of the phosphatidylinositol 3-kinase (PI 3-kinase) complex. Activation of Akt1 by Insulin or Insulin-growth factor-1(IGF-1) results in phosphorylation of both Thr 308 and Ser 473. Phosphorylation of both residues is important to generate a high level of Akt1 activity. The phosphorylation of Thr 308 is not dependent on phosphorylation of Ser 473 in vivo. Thus, Akt proteins become phosphorylated and activated in Insulin/IGF-1-stimulated cells by an upstream kinase(s). The activation of Akt1 and Akt2 is inhibited by the PI kinase inhibitor wortmannin, suggesting that the protein signals downstream of the PI kinases. |
| Conjucates | Unconjugated |
| Others Formats | Phospho |
| Immunogen | A synthesized phosphopeptide: human AKT1 around the phosphorylation site of Ser124 |
| Antigen Species | human |
| Uniprot ID |
| Molecular Weight | Theoretical: 56 kDa. |
| Stability & Storage | Store at -20°C or -80°C for 12 months. Avoid repeated freeze-thaw cycles. |
| Transport | Shipping with blue ice. |
| Size | Quantity | Unit Price | Amount | Operation |
|---|

Copyright © 2015-2026 TargetMol Chemicals Inc. All Rights Reserved.