Shopping Cart
Remove All
Your shopping cart is currently empty
Anti-PBK/TOPK Antibody (6C84) is a Mouse antibody targeting PBK/TOPK. Anti-PBK/TOPK Antibody (6C84) can be used in FCM,ICC,IHC,WB.
| Pack Size | Price | USA Warehouse | Global Warehouse | Quantity |
|---|---|---|---|---|
| 50 μL | $297 | 7-10 days | 7-10 days | |
| 100 μL | $428 | 7-10 days | 7-10 days |
| Description | Anti-PBK/TOPK Antibody (6C84) is a Mouse antibody targeting PBK/TOPK. Anti-PBK/TOPK Antibody (6C84) can be used in FCM,ICC,IHC,WB. |
| Synonyms | TOPK, SPK, PDZ binding kinase, Nori-3, HEL164, CT84 |
| Clone | 6C84 |
| Reactivity | Human |
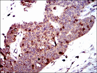
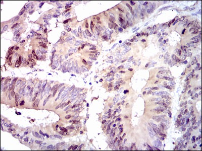
| Verified Activity | 1. Western blot analysis of PBK on human PBK recombinant protein using anti-PBK antibody at 1/1,000 dilution. 2. Western blot analysis of PBK on A431 cell lysate using anti-PBK antibody at 1/1,000 dilution. 3. Immunohistochemical analysis of paraffin-embedded human ovarian cancer tissue using anti-PBK antibody. Counter stained with hematoxylin. 4. Immunohistochemical analysis of paraffin-embedded human colon cancer tissue using anti-PBK antibody. Counter stained with hematoxylin. 5. ICC staining PBK (green) and actin filaments (red) in Hela cells. The nuclear counter stain is DAPI (blue). Cells were fixed in paraformaldehyde, permeabilised with 0.25% Triton X100/PBS. 6. Flow cytometric analysis of Hela cells with PBK antibody at 1/100 dilution (green) compared with an unlabelled control (cells without incubation with primary antibody; red). ![]() ![]() ![]() ![]() ![]() ![]() |
| Application | |
| Recommended Dose | WB: 1:500; IHC: 1:100-500; ICC: 1:100-500; FCM: 1:100-200 |
| Antibody Type | Monoclonal |
| Host Species | Mouse |
| Construction | Hybridoma Monoclonal Antibody |
| Purification | ProA affinity purified |
| Appearance | Liquid |
| Formulation | 1*TBS (pH7.4), 1%BSA, Preservative: 0.05% Sodium Azide. |
| Research Background | Protein kinases comprise a large group of encoded factors that regulate cellular processes by catalyzing the transfer of a phosphate group to a hydroxyl acceptor in serine, threonine or tyrosine residues. Kinases are capable of influencing the oncogenic potential of cell sytems at the level of oncoprotein or tumor suppressor protein phosphorylation states. Human PDZ-binding kinase, known as PBK, is a 322 amino acid, T/SXV motif-containing serine/threonine kinase that is abuntant in placenta and absent from adult brain tissue. A PDZ domain in the tumor suppressor protein Dlg can coordinate with the T/SXV motif of PBK. The cell cycle checkpoint kinase Cdc2/cyclin B is an upstream effector of PBK that can phosphorylate and activate PBK. Active PBK may associate with PDZ-containing proteins and influence cell cycle control or cellular proliferation. |
| Conjucates | Unconjugated |
| Immunogen | Recombinant Protein |
| Uniprot ID |
| Molecular Weight | Theoretical: 36 kDa. |
| Stability & Storage | Store at -20°C or -80°C for 12 months. Avoid repeated freeze-thaw cycles. |
| Transport | Shipping with blue ice. |
| Size | Quantity | Unit Price | Amount | Operation |
|---|

Copyright © 2015-2026 TargetMol Chemicals Inc. All Rights Reserved.