Shopping Cart
Remove All
Your shopping cart is currently empty
Anti-PAX5 Antibody (2B642) is a Rabbit antibody targeting PAX5. Anti-PAX5 Antibody (2B642) can be used in FCM,ICC/IF,IHC,WB.
| Pack Size | Price | USA Warehouse | Global Warehouse | Quantity |
|---|---|---|---|---|
| 50 μL | $296 | 7-10 days | 7-10 days | |
| 100 μL | $498 | 7-10 days | 7-10 days |
| Description | Anti-PAX5 Antibody (2B642) is a Rabbit antibody targeting PAX5. Anti-PAX5 Antibody (2B642) can be used in FCM,ICC/IF,IHC,WB. |
| Synonyms | PAX5, Paired box protein Pax-5, B-cell-specific transcription factor (BSAP) |
| Ig Type | IgG |
| Clone | 2B642 |
| Reactivity | Human,Mouse |
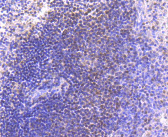
| Verified Activity | 1. Western blot analysis of PAX5 on Daudi cells lysates using anti-PAX5 antibody at 1/1,000 dilution. 2. Immunohistochemical analysis of paraffin-embedded human spleen tissue using anti-PAX5 antibody. Counter stained with hematoxylin. 3. ICC staining PAX5 in Hela cells (green). The nuclear counter stain is DAPI (blue). Cells were fixed in paraformaldehyde, permeabilised with 0.25% Triton X100/PBS. 4. ICC staining PAX5 in MCF-7 cells (green). The nuclear counter stain is DAPI (blue). Cells were fixed in paraformaldehyde, permeabilised with 0.25% Triton X100/PBS. 5. ICC staining PAX5 in HepG2 cells (green). The nuclear counter stain is DAPI (blue). Cells were fixed in paraformaldehyde, permeabilised with 0.25% Triton X100/PBS. 6. Flow cytometric analysis of Raji cells with PAX5 antibody at 1/50 dilution (red) compared with an unlabelled control (cells without incubation with primary antibody; black). Alexa Fluor 488-conjugated goat anti rabbit IgG was used as the secondary antibody. ![]() ![]() ![]() ![]() ![]() ![]() |
| Application | |
| Recommended Dose | WB: 1:1000-2000; IHC: 1:50-200; ICC/IF: 1:50-200; FCM: 1:50-100 |
| Antibody Type | Monoclonal |
| Host Species | Rabbit |
| Construction | Recombinant Antibody |
| Purification | ProA affinity purified |
| Appearance | Liquid |
| Formulation | 1*TBS (pH7.4), 1%BSA, 40%Glycerol. Preservative: 0.05% Sodium Azide. |
| Research Background | The Pax family of nuclear transcription factors is comprised of nine members that function during embryogenesis to regulate the temporal and position-dependent differentiation of cells. Pax family genes are also involved in a variety of signal transduction pathways in the adult organism. Mutations in Pax proteins have been linked to disease and cancer in humans. For example, the human PAX5 gene encodes a B cell lineage-specific protein, Pax-5, also designated B cell specific activator protein or BSAP, which is expressed in pro-B, pre-B and mature B lymphocytes but not in plasma cells. Pax-5 functions to regulate not only B cell development, but also influences the balance between immunoglobulin secretion and B cell proliferation. Overexpression of Pax-5 has been implicated in cellular transformation, and in the case of small lymphocytic lymphomas with plasmacytoid differentiation, a t(9;14)(p13;q32) translocation resulting in the deregulation of PAX5 gene expression has been detected. |
| Conjucates | Unconjugated |
| Immunogen | Recombinant Protein |
| Uniprot ID |
| Molecular Weight | Theoretical: 42 kDa. |
| Stability & Storage | Store at -20°C or -80°C for 12 months. Avoid repeated freeze-thaw cycles. |
| Transport | Shipping with blue ice. |
| Size | Quantity | Unit Price | Amount | Operation |
|---|

Copyright © 2015-2026 TargetMol Chemicals Inc. All Rights Reserved.