Shopping Cart
Remove All
Your shopping cart is currently empty
Synonyms: Nucleus accumbens-associated protein 1, NACC1_HUMAN, Nacc 1, NAC-1, NAC1, FLJ37383, btbd14b, BTB/POZ domain-containing protein 14B, BTB Domain Containing 14B, BEND8
| Pack Size | Price | USA Stock | Global Stock | Quantity |
|---|---|---|---|---|
| 50 μL | $296 | 7-10 days | 7-10 days | |
| 100 μL | $428 | 7-10 days | 7-10 days |
| Description | Anti-NACC1 Antibody (6F944) is a Mouse antibody targeting NACC1. Anti-NACC1 Antibody (6F944) can be used in IHC,WB. |
| Synonyms | Nucleus accumbens-associated protein 1, NACC1_HUMAN, Nacc 1, NAC-1, NAC1, FLJ37383, btbd14b, BTB/POZ domain-containing protein 14B, BTB Domain Containing 14B, BEND8 |
| Clone | 6F944 |
| Reactivity | Human |
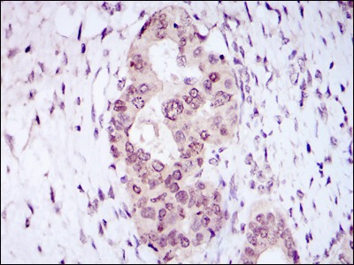
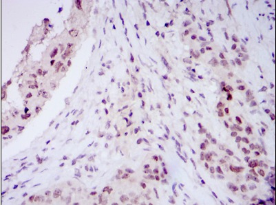
| Verified Activity | 1. Western blot analysis of NACC1 on HEK293 (1) and NACC1-hIgGFc transfected HEK293 (2) cell lysate using anti-NACC1 antibody at 1/1,000 dilution. 2. Immunohistochemical analysis of paraffin-embedded human mammary cancer tissue using anti-NACC1 antibody. Counter stained with hematoxylin. 3. Immunohistochemical analysis of paraffin-embedded human ovarian cancer tissue using anti-NACC1 antibody. Counter stained with hematoxylin. |
| Application | |
| Recommended Dose | WB: 1:500-1000; IHC: 1:100-500 |
| Antibody Type | Monoclonal |
| Host Species | Mouse |
| Construction | Hybridoma Monoclonal Antibody |
| Purification | ProA affinity purified |
| Appearance | Liquid |
| Formulation | 1*TBS (pH7.4), 1%BSA, Preservative: 0.05% Sodium Azide. |
| Research Background | The BTB (broad-complex, Tramtrack and Bric a brac) domain, also known as the POZ (Poxvirus and zinc finger) domain, is an N-terminal homodimerization domain that contains multiple copies of kelch repeats and/or C2H2-type zinc fingers. Proteins that contain BTB domains are thought to be involved in transcriptional regulation via control of chromatin structure and function. BTBD14B (BTB/POZ domain-containing protein 14B), also known as NACC1 (nucleus accumbens associated 1), BEND8 or NAC1, is a 527 amino acid protein that localizes to both the nucleus and the cytoplasm and contains one BTB (POZ) domain. Existing as a homooligomer that interacts with HDAC3 and HDAC4, BTBD14B functions as a transcriptional repressor that influences the transcriptional activity of CRIF1 and is required for proteasome recruitment to the nucleus and cytoplasm in dendritic spines. BTBD14B is overexpressed in multiple carcinomas, suggesting a role in tumor development and metastasis. |
| Conjucates | Unconjugated |
| Immunogen | Recombinant Protein |
| Uniprot ID |
| Molecular Weight | Theoretical: 58 kDa. |
| Stability & Storage | Store at -20°C or -80°C for 12 months. Avoid repeated freeze-thaw cycles. |
| Transport | Shipping with blue ice. |
| Size | Quantity | Unit Price | Amount | Operation |
|---|

Copyright © 2015-2026 TargetMol Chemicals Inc. All Rights Reserved.