Shopping Cart
Remove All
Your shopping cart is currently empty
Anti-Mucin-4/MUC4 Polyclonal Antibody is a Rabbit antibody targeting Mucin-4/MUC4. Anti-Mucin-4/MUC4 Polyclonal Antibody can be used in IF,IHC-Fr,IHC-P,WB.
| Pack Size | Price | USA Stock | Global Stock | Quantity |
|---|---|---|---|---|
| 50 μL | $220 | 7-10 days | 7-10 days | |
| 100 μL | $374 | 7-10 days | 7-10 days | |
| 200 μL | $527 | 7-10 days | 7-10 days |
| Description | Anti-Mucin-4/MUC4 Polyclonal Antibody is a Rabbit antibody targeting Mucin-4/MUC4. Anti-Mucin-4/MUC4 Polyclonal Antibody can be used in IF,IHC-Fr,IHC-P,WB. |
| Synonyms | Testis mucin, Pancreatic adenocarcinoma mucin, Mucin-4, MUC-4, Muc4, Ascites sialoglycoprotein (ASGP) |
| Ig Type | IgG |
| Reactivity | Human,Mouse (predicted:Rat,Pig,Cow,Horse,GuineaPig) |
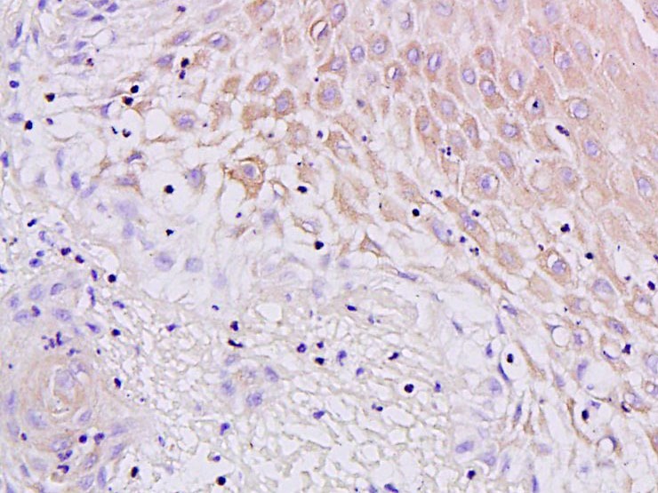
| Verified Activity | 1. Sample: Panc-1 (Human) Cell Lysate at 30 μg LOVO (Human) Cell Lysate at 30 μg Thymus (Mouse) Lysate at 40 μg MKN45 (Human) Cell Lysate at 30 μg Primary: Anti-MUC4 (TMAB-01187) at 1/1000 dilution Secondary: IRDye800CW Goat Anti-Rabbit IgG at 1/20000 dilution Predicted band size: 80 kDa Observed band size: 120 kDa 2. Paraformaldehyde-fixed, paraffin embedded (Human lung carcinom); Antigen retrieval by boiling in sodium citrate buffer (pH6.0) for 15 min; Block endogenous peroxidase by 3% hydrogen peroxide for 20 min; Blocking buffer (normal goat serum) at 37°C for 30 min; Antibody incubation with (Muc4) Polyclonal Antibody, Unconjugated (TMAB-01187) at 1:500 overnight at 4°C, followed by a conjugated secondary for 20 min and DAB staining. 3. Paraformaldehyde-fixed, paraffin embedded (Human oral squamous cell carcinoma); Antigen retrieval by boiling in sodium citrate buffer (pH6.0) for 15 min; Block endogenous peroxidase by 3% hydrogen peroxide for 20 min; Blocking buffer (normal goat serum) at 37°C for 30 min; Antibody incubation with (Muc4) Polyclonal Antibody, Unconjugated (TMAB-01187) at 1:500 overnight at 4°C, followed by a conjugated secondary for 20 min and DAB staining. ![]() ![]() ![]() |
| Application | |
| Recommended Dose | WB: 1:500-2000; IHC-P: 1:100-500; IHC-Fr: 1:100-500; IF: 1:100-500 |
| Antibody Type | Polyclonal |
| Host Species | Rabbit |
| Subcellular Localization | Membrane; Single-pass membrane protein (Potential). Secreted. Note=Isoforms lacking the Cys-rich region, EGF-like domains and transmembrane region are secreted. Secretion occurs by splicing or proteolytic processing. Mucin-4 beta chain: Cell membrane; Single-pass membrane protein.Mucin-4 alpha chain: Secreted.Isoform 3, 17: Cell membrane; Single-pass membrane protein. Isoform 11, 15: Secreted. |
| Tissue Specificity | Expressed in the thymus, thyroid, lung, trachea, esophagus, stomach, small intestine, colon, testis, prostate, ovary, uterus, placenta, and mammary and salivary glands. Expressed in carcinomas arising from some of these epithelia, such as lung cancers, sq |
| Construction | Polyclonal Antibody |
| Purification | Protein A purified |
| Appearance | Liquid |
| Formulation | 0.01M TBS (pH7.4) with 1% BSA, 0.02% Proclin300 and 50% Glycerol. |
| Concentration | 1 mg/mL |
| Research Background | The major constituents of mucus, the viscous secretion that covers epithelial surfaces such as those in the trachea, colon, and cervix, are highly glycosylated proteins called mucins. These glycoproteins play important roles in the protection of the epithelial cells and have been implicated in epithelial renewal and differentiation. This gene encodes an integral membrane glycoprotein found on the cell surface, although secreted isoforms may exist. At least two dozen transcript variants of this gene have been found, although for many of them the full-length transcript has not been determined or they are found only in tumor tissues. This gene contains a region in the coding sequence which has a variable number (>100) of 48 nt tandem repeats. [provided by RefSeq]. |
| Immunogen | KLH conjugated synthetic peptide: human Mucin-4 beta chain |
| Antigen Species | Human |
| Gene Name | MUC4 |
| Gene ID | |
| Protein Name | Mucin-4 |
| Uniprot ID | |
| Biology Area | MUC,Tumor antigens,Tumor-associated antigens,Defensin,MUC |
| Function | May play a role in tumor progression. Ability to promote tumor growth may be mainly due to repression of apoptosis as opposed to proliferation. Has anti-adhesive properties. Seems to alter cellular behavior through both anti-adhesive effects on cell-cell and cell-extracellular matrix interactions and in its ability to act as an intramembrane ligand for ERBB2. Plays an important role in cell proliferation and differentiation of epithelial cells by inducing specific phosphorylation of ERBB2. The MUC4-ERBB2 complex causes site-specific phosphorylation of the ERBB2 'Tyr-1248'. In polarized epithelilal cells segragates ERBB2 and other ERBB receptors and prevents ERBB2 from acting as a coreceptor. The interaction with ERBB2 leads to enhanced expression of CDKN1B. The formation of a MUC4-ERBB2-ERBB3-NRG1 complex leads to down-regulation of CDKN1B, resulting in repression of apoptosis and stimulation of proliferation. |
| Molecular Weight | Theoretical: 80 kDa. Actual: 120 kDa. |
| Stability & Storage | Store at -20°C or -80°C for 12 months. Avoid repeated freeze-thaw cycles. |
| Transport | Shipping with blue ice. |
| Size | Quantity | Unit Price | Amount | Operation |
|---|

Copyright © 2015-2026 TargetMol Chemicals Inc. All Rights Reserved.