Shopping Cart
Remove All
Your shopping cart is currently empty
Anti-Lamin B1 Antibody (8Q243) is a Rabbit antibody targeting Lamin B1. Anti-Lamin B1 Antibody (8Q243) can be used in ICC/IF,IHC,IP,WB.
| Pack Size | Price | USA Warehouse | Global Warehouse | Quantity |
|---|---|---|---|---|
| 50 μL | $297 | 7-10 days | 7-10 days | |
| 100 μL | $497 | 7-10 days | 7-10 days |
| Description | Anti-Lamin B1 Antibody (8Q243) is a Rabbit antibody targeting Lamin B1. Anti-Lamin B1 Antibody (8Q243) can be used in ICC/IF,IHC,IP,WB. |
| Synonyms | MCPH26, LMNB 1, LMNB, LMN2, LMN, Lamin-B1, ADLD |
| Ig Type | IgG |
| Clone | 8Q243 |
| Reactivity | Human,Mouse,Rat |
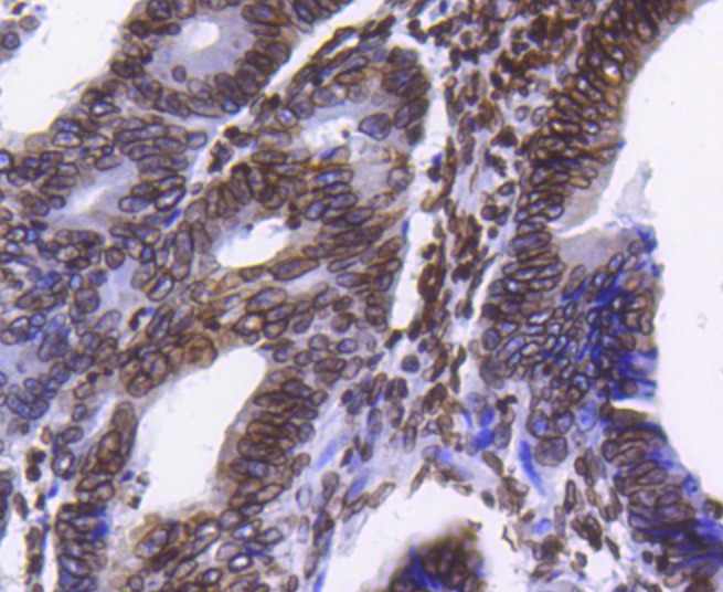
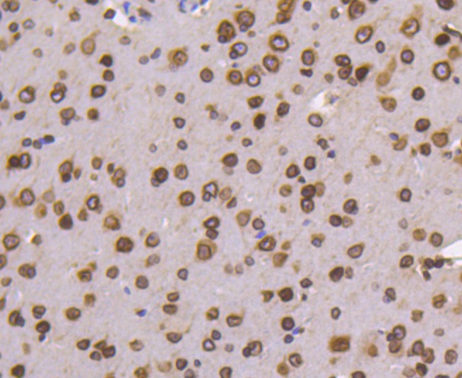
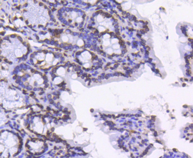
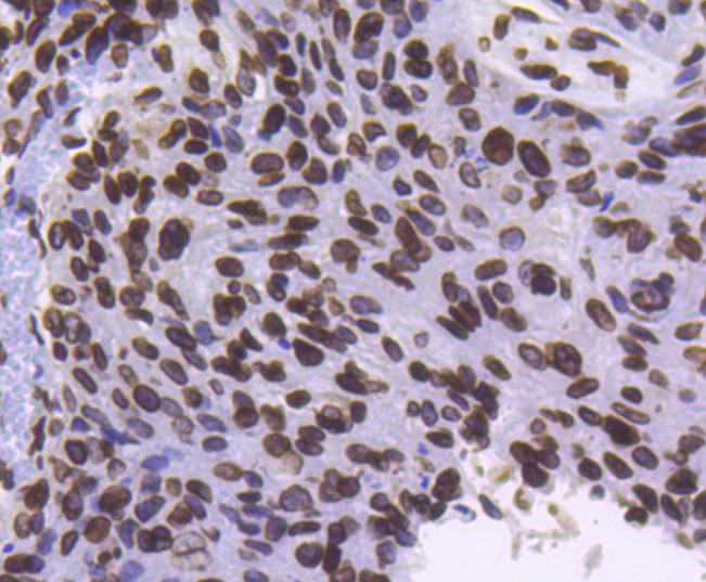
| Verified Activity | 1. Western blot analysis of Lamin B1 on different lysates using anti-Lamin B1 antibody at 1/1,000 dilution. Positive control: Lane 1: Mouse liver, Lane 2: Mouse brain. 2. Immunohistochemical analysis of paraffin-embedded human liver tissue using anti-Lamin B1 antibody. Counter stained with hematoxylin. 3. Immunohistochemical analysis of paraffin-embedded human colon cancer tissue using anti-Lamin B1 antibody. Counter stained with hematoxylin. 4. Immunohistochemical analysis of paraffin-embedded human breast carcinoma tissue using anti-Lamin B1 antibody. Counter stained with hematoxylin. 5. Immunohistochemical analysis of paraffin-embedded mouse colon tissue using anti-Lamin B1 antibody. Counter stained with hematoxylin. 6. Immunohistochemical analysis of paraffin-embedded mouse brain tissue using anti-Lamin B1 antibody. Counter stained with hematoxylin. ![]() ![]() ![]() ![]() ![]() ![]() |
| Application | |
| Recommended Dose | WB: 1:1000; IHC: 1:100-500; ICC/IF: 1:50-200 |
| Antibody Type | Monoclonal |
| Host Species | Rabbit |
| Construction | Recombinant Antibody |
| Purification | ProA affinity purified |
| Appearance | Liquid |
| Formulation | 1*TBS (pH7.4), 1%BSA, 40%Glycerol. Preservative: 0.05% Sodium Azide. |
| Research Background | A unique family of cysteine proteases has been described that differs in sequence, structure and substrate specificity from any previously described protease family. This family, termed Ced-3/ICE, functions as key components of the apoptotic machinery and act to destroy specific target proteins which are critical to cellular longevity. Nuclear lamins are critical to maintaining the integrity of the nuclear envelope and cellular morphology as components of the nuclear lamina, a fibrous layer on the nucleoplasmic side of the inner nuclear membrane, which is thought to provide a framework for the nuclear envelope and may also interact with chromatin. B-type lamins undergo a series of modifications, such as farnesylation and phosphorylation. Increased phosphorylation of the lamins occurs before envelope disintegration and probably plays a role in regulating lamin associations. Nuclear Lamin B is fragmented as a consequence of apoptosis by an unidentified member of the ICE family. |
| Conjucates | Unconjugated |
| Immunogen | Recombinant Protein |
| Uniprot ID |
| Molecular Weight | Theoretical: 70 kDa. |
| Stability & Storage | Store at -20°C or -80°C for 12 months. Avoid repeated freeze-thaw cycles. |
| Transport | Shipping with blue ice. |
| Size | Quantity | Unit Price | Amount | Operation |
|---|

Copyright © 2015-2026 TargetMol Chemicals Inc. All Rights Reserved.