Shopping Cart
Remove All
Your shopping cart is currently empty
Anti-IRS1 Polyclonal Antibody is a Rabbit antibody targeting IRS1. Anti-IRS1 Polyclonal Antibody can be used in IF,IHC-Fr,IHC-P.
| Pack Size | Price | USA Warehouse | Global Warehouse | Quantity |
|---|---|---|---|---|
| 50 μL | $220 | 7-10 days | 7-10 days | |
| 100 μL | $373 | 7-10 days | 7-10 days | |
| 200 μL | $529 | 7-10 days | 7-10 days |
| Description | Anti-IRS1 Polyclonal Antibody is a Rabbit antibody targeting IRS1. Anti-IRS1 Polyclonal Antibody can be used in IF,IHC-Fr,IHC-P. |
| Synonyms | IRS-1, Insulin receptor substrate 1 |
| Ig Type | IgG |
| Reactivity | Mouse,Rat (predicted:Human,Pig,Cow,Horse,Rabbit,Sheep) |
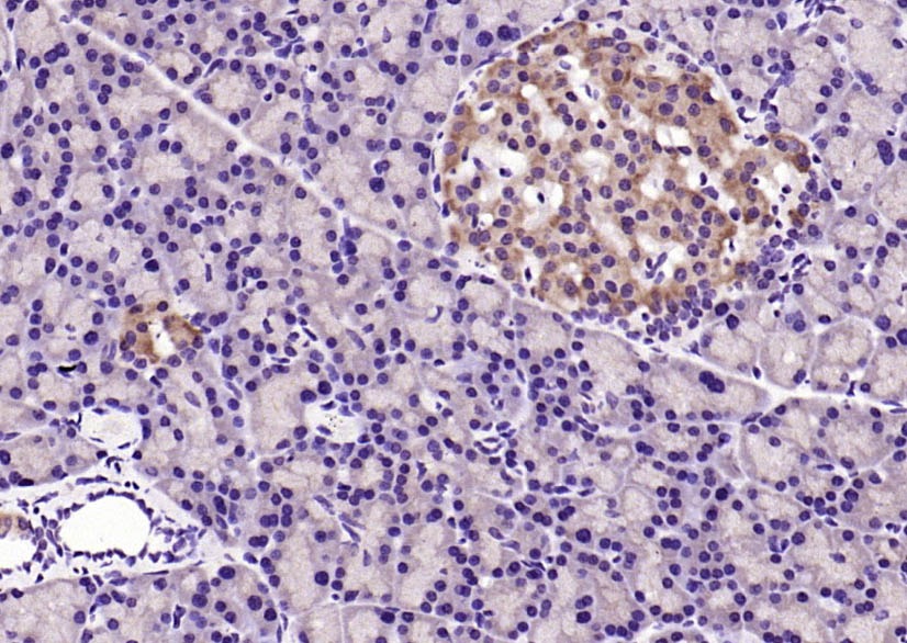
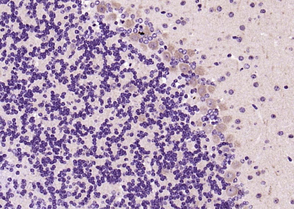
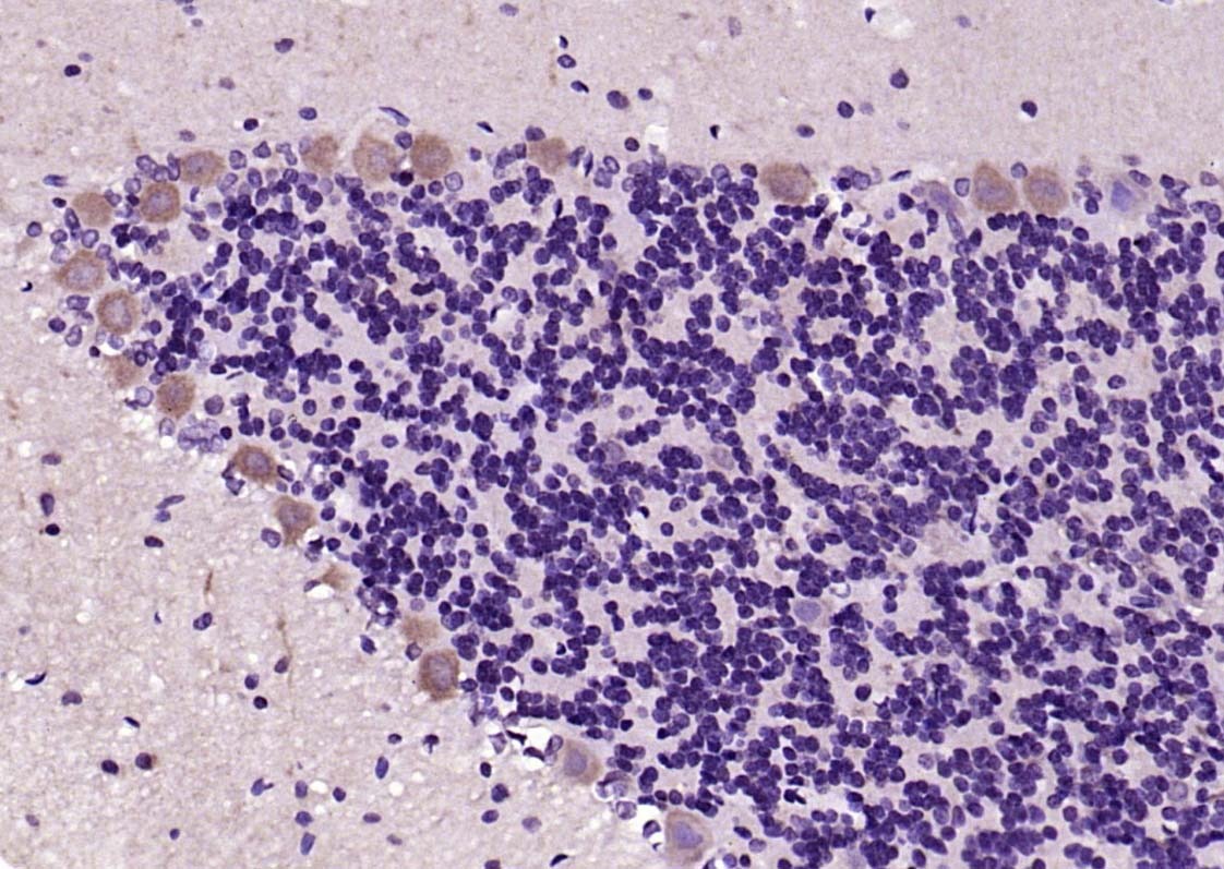
| Verified Activity | 1. Paraformaldehyde-fixed, paraffin embedded Rat Cerebellum; Antigen retrieval by boiling in sodium citrate buffer (pH6.0) for 15 min; Antibody incubation with IRS1 Polyclonal Antibody, Unconjugated (TMAB-00988) at 1:200 overnight at 4°C, followed by conjugation to the SP Kit (Rabbit) and DAB staining. 2. Paraformaldehyde-fixed, paraffin embedded Mouse Cerebellum; Antigen retrieval by boiling in sodium citrate buffer (pH6.0) for 15 min; Antibody incubation with IRS1 Polyclonal Antibody, Unconjugated (TMAB-00988) at 1:200 overnight at 4°C, followed by conjugation to the SP Kit (Rabbit) and DAB staining. 3. Paraformaldehyde-fixed, paraffin embedded Mouse Pancreas; Antigen retrieval by boiling in sodium citrate buffer (pH6.0) for 15 min; Antibody incubation with IRS1 Polyclonal Antibody, Unconjugated (TMAB-00988) at 1:200 overnight at 4°C, followed by conjugation to the SP Kit (Rabbit) and DAB staining. ![]() ![]() ![]() |
| Application | |
| Recommended Dose | IHC-P: 1:100-500; IHC-Fr: 1:100-500; IF: 1:100-300 |
| Antibody Type | Polyclonal |
| Host Species | Rabbit |
| Subcellular Localization | IRS1 is predominantly found in the cytoplasm. Nuclear localization may occur in some cell types and under specific stimuli. |
| Tissue Specificity | Isoform Long and isoform Short are predominantly expressed in tissue targets of insulin metabolic effects: liver, adipose tissue and skeletal muscle but are also expressed in the peripheral nerve, kidney, pulmonary alveoli, pancreatic acini, placenta vasc |
| Construction | Polyclonal Antibody |
| Purification | Protein A purified |
| Appearance | Liquid |
| Formulation | 0.01M TBS (pH7.4) with 1% BSA, 0.02% Proclin300 and 50% Glycerol. |
| Concentration | 1 mg/mL |
| Research Background | Insulin receptor substrates (IRS) are responsible for several insulin related activities, such as glucose homeostasis, cell growth, cell transformation, apoptosis and insulin signal transduction. Serine/threonine phosphorylation of IRS1 has been demonstrated to be a negative regulator of insulin signaling and is responsible for its degradation, although IRS1 degradation pathways are not well understood. IRS1 has also been shown to be constitutively activated in cancers such as breast cancer, Wilm's tumors, and adrenal cortical carcinomas, thus making IRS1 phosphorylation and subsequent degradation an attractive therapeutic target. To date there have been four subtypes identified: IRS1, 2, 3 and 4, with IRS1 being widely expressed. |
| Immunogen | KLH conjugated synthetic peptide: rat IRS-1 |
| Antigen Species | Rat |
| Gene Name | IRS1 |
| Gene ID | |
| Protein Name | Insulin receptor substrate 1 |
| Uniprot ID | |
| Biology Area | Tumor Associated,Insulin / Insulin-like,Cytoplasmic,Metabolism,Obesity,Heart disease,Diabetes,Cancer,Diabetes associated,Signal transduction |
| Function | May mediate the control of various cellular processes by insulin. When phosphorylated by the insulin receptor binds specifically to various cellular proteins containing SH2 domains such as phosphatidylinositol 3-kinase p85 subunit or GRB2. Activates phosphatidylinositol 3-kinase when bound to the regulatory p85 subunit. |
| Molecular Weight | Theoretical: 137 kDa. |
| Stability & Storage | Store at -20°C or -80°C for 12 months. Avoid repeated freeze-thaw cycles. |
| Transport | Shipping with blue ice. |
| Size | Quantity | Unit Price | Amount | Operation |
|---|

Copyright © 2015-2026 TargetMol Chemicals Inc. All Rights Reserved.