Shopping Cart
Remove All
Your shopping cart is currently empty
Anti-Tri-methyl-Histone H4 (Lys20) Antibody (5D958) is a Rabbit antibody targeting Tri-methyl-Histone H4 (Lys20). Anti-Tri-methyl-Histone H4 (Lys20) Antibody (5D958) can be used in IHC,WB.
| Pack Size | Price | USA Warehouse | Global Warehouse | Quantity |
|---|---|---|---|---|
| 50 μL | $297 | 7-10 days | 7-10 days | |
| 100 μL | $498 | 7-10 days | 7-10 days |
| Description | Anti-Tri-methyl-Histone H4 (Lys20) Antibody (5D958) is a Rabbit antibody targeting Tri-methyl-Histone H4 (Lys20). Anti-Tri-methyl-Histone H4 (Lys20) Antibody (5D958) can be used in IHC,WB. |
| Synonyms | Tri-methyl-Histone H4 (K20), Tri-Me-Histone H4 (Lys20), Tri-Me-Histone H4 (K20), TriMe-H4K20, Histone H4K20-trimethylated, H4K20me3 |
| Ig Type | IgG |
| Clone | 5D958 |
| Reactivity | Human,Mouse,Rat |
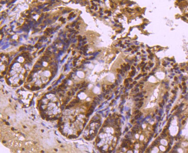
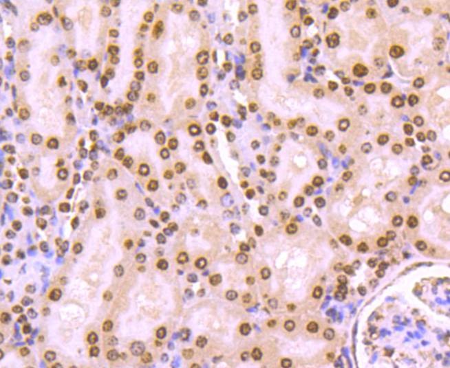
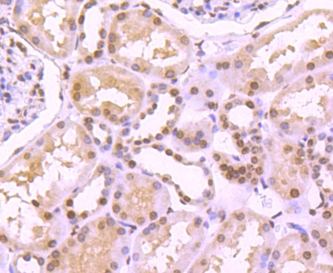
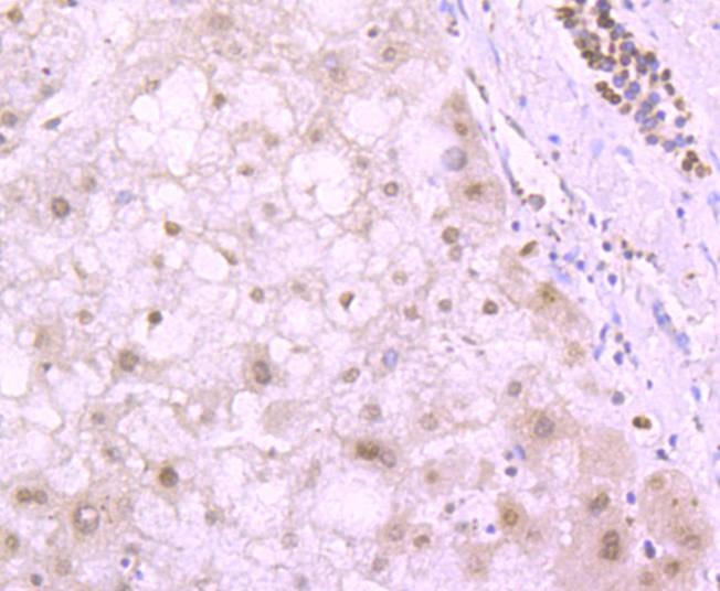
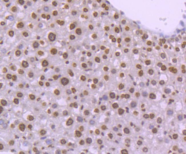
| Verified Activity | 1. Immunohistochemical analysis of paraffin-embedded human liver tissue using anti-Histone H4 (tri methyl K20) antibody. Counter stained with hematoxylin. 2. Immunohistochemical analysis of paraffin-embedded human kidney tissue using anti-Histone H4 (tri methyl K20) antibody. Counter stained with hematoxylin. 3. Immunohistochemical analysis of paraffin-embedded mouse liver tissue using anti-Histone H4 (tri methyl K20) antibody. Counter stained with hematoxylin. 4. Immunohistochemical analysis of paraffin-embedded mouse colon tissue using anti-Histone H4 (tri methyl K20) antibody. Counter stained with hematoxylin. 5. Immunohistochemical analysis of paraffin-embedded mouse kidney tissue using anti-Histone H4 (tri methyl K20) antibody. Counter stained with hematoxylin. ![]() ![]() ![]() ![]() ![]() |
| Application | |
| Recommended Dose | WB: 1:1000; IHC: 1:50-200 |
| Antibody Type | Monoclonal |
| Host Species | Rabbit |
| Construction | Recombinant Antibody |
| Purification | ProA affinity purified |
| Appearance | Liquid |
| Formulation | 1*TBS (pH7.4), 1%BSA, 40%Glycerol. Preservative: 0.05% Sodium Azide. |
| Research Background | Eukaryotic histones are basic and water soluble nuclear proteins that form hetero-octameric nucleosome particles by wrapping 146 base pairs of DNA in a left-handed super-helical turn sequentially to form chromosomal fibers. Two molecules of each of the four core histones (H2A, H2B, H3 and H4) form the octamer, which is comprised of two H2A-H2B dimers and two H3-H4 dimers, forming two nearly symmetrical halves by tertiary structure. Histones are subject to posttranslational modification by enzymes primarily on their N-terminal tails, but also in their globular domains. Human and mouse Histone H4 are subject to trimethylation at Lys 20, a modification that may be necessary for select DNA transactions or chromatin state transitions. |
| Conjucates | Unconjugated |
| Others Formats | Methylated/Acetylated |
| Immunogen | Recombinant Protein |
| Uniprot ID |
| Molecular Weight | Theoretical: 11 kDa. |
| Stability & Storage | Store at -20°C or -80°C for 12 months. Avoid repeated freeze-thaw cycles. |
| Transport | Shipping with blue ice. |
| Size | Quantity | Unit Price | Amount | Operation |
|---|

Copyright © 2015-2026 TargetMol Chemicals Inc. All Rights Reserved.