Shopping Cart
Remove All
Your shopping cart is currently empty
Anti-GAP43 Antibody (6V411) is a Mouse antibody targeting GAP43. Anti-GAP43 Antibody (6V411) can be used in ICC/IF, IF, IHC-Fr, IHC-P, WB.
| Pack Size | Price | USA Stock | Global Stock | Quantity |
|---|---|---|---|---|
| 50 μL | $222 | 7-10 days | 7-10 days | |
| 100 μL | $373 | 7-10 days | 7-10 days | |
| 200 μL | $528 | 7-10 days | 7-10 days |
| Description | Anti-GAP43 Antibody (6V411) is a Mouse antibody targeting GAP43. Anti-GAP43 Antibody (6V411) can be used in ICC/IF, IF, IHC-Fr, IHC-P, WB. |
| Synonyms | PP46, growth associated protein 43, B-50 |
| Ig Type | IgG |
| Clone | 6V411 |
| Reactivity | Human,Mouse,Rat |
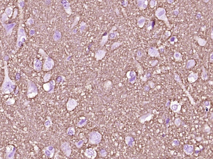
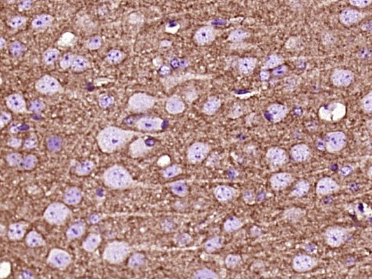
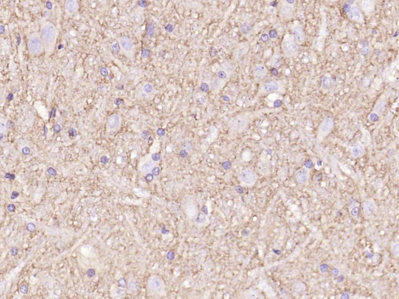
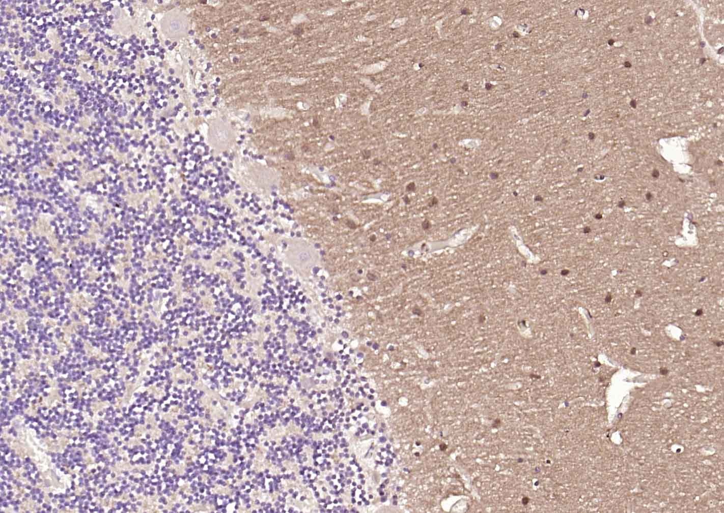
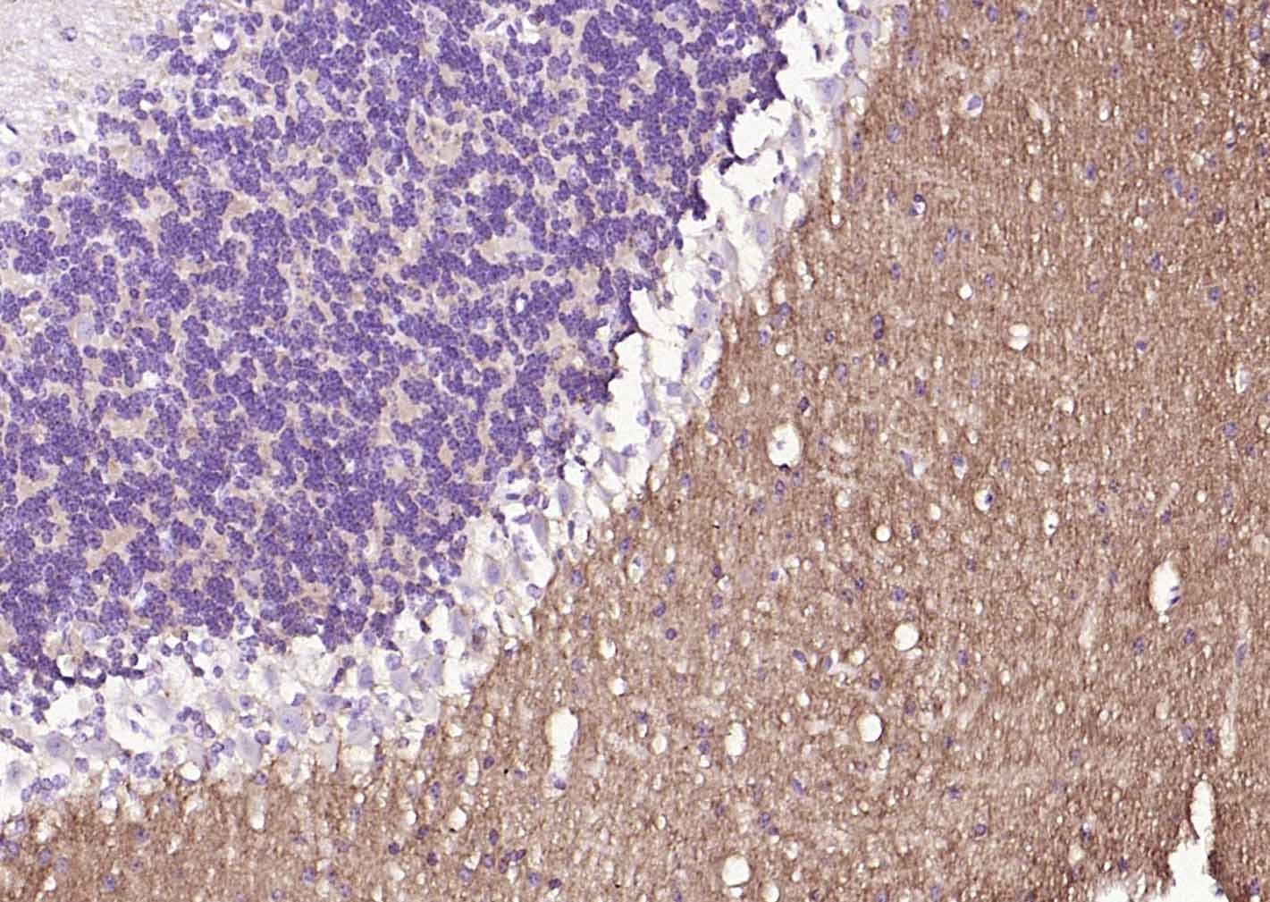
| Verified Activity | 1. Paraformaldehyde-fixed, paraffin embedded (Rat brain); Antigen retrieval by boiling in sodium citrate buffer (pH6.0) for 15 min; Block endogenous peroxidase by 3% hydrogen peroxide for 20 min; Blocking buffer (normal goat serum) at 37°C for 30 min; Antibody incubation with (GAP43) Monoclonal Antibody, Unconjugated at 1:400 overnight at 4°C, followed by a conjugated secondary antibody for 20 min and DAB staining. 2. Paraformaldehyde-fixed, paraffin embedded (Mouse brain); Antigen retrieval by boiling in sodium citrate buffer (pH6.0) for 15 min; Block endogenous peroxidase by 3% hydrogen peroxide for 20 min; Blocking buffer (normal goat serum) at 37°C for 30 min; Antibody incubation with (GAP43) Monoclonal Antibody, Unconjugated at 1:400 overnight at 4°C, followed by a conjugated secondary antibody for 20 min and DAB staining. 3. Paraformaldehyde-fixed, paraffin embedded (rat cerebellum); Antigen retrieval by boiling in sodium citrate buffer (pH6.0) for 15 min; Block endogenous peroxidase by 3% hydrogen peroxide for 20 min; Blocking buffer (normal goat serum) at 37°C for 30 min; Antibody incubation with (GAP43) Monoclonal Antibody, Unconjugated (TMAB-00739) at 1:200 overnight at 4°C, followed by operating according to SP Kit (Mouse) instructionsand DAB staining. 4. Sample: Spinal cord (Mouse) Lysate at 40 μg Spinal cord (Rat) Lysate at 40 μg Primary: Anti-GAP43 (TMAB-00739) at 1/1000 dilution Secondary: IRDye800CW Goat Anti-Mouse IgG at 1/20000 dilution Predicted band size: 43-46 kDa Observed band size: 43 kDa 5. Sample: Cerebrum (Rat) Lysate at 40 μg Cerebellum (Rat) Lysate at 40 μg Primary: Anti-GAP43 (TMAB-00739) at 1/1000 dilution Secondary: IRDye800CW Goat Anti-Mouse IgG at 1/20000 dilution Predicted band size: 43-46 kDa Observed band size: 43 kDa 6. Sample: BV2 (Mouse) Lysate at 40 μg VSC4.1 (Rat) Lysate at 40 μg Primary: Anti-GAP43 (TMAB-00739) at 1/1000 dilution Secondary: IRDye800CW Goat Anti-Mouse IgG at 1/20000 dilution Predicted band size: 43 kDa Observed band size: 43 kDa 7. Paraformaldehyde-fixed, paraffin embedded (Human brain glioma); Antigen retrieval by boiling in sodium citrate buffer (pH6.0) for 15 min; Block endogenous peroxidase by 3% hydrogen peroxide for 20 min; Blocking buffer (normal goat serum) at 37°C for 30 min; Antibody incubation with (GAP43) Monoclonal Antibody, Unconjugated (ascites of TMAB-00739 5F2) at 1:2000 overnight at 4°C, followed by operating according to SP Kit (Mouse) instructions and DAB staining. 8. Paraformaldehyde-fixed, paraffin embedded (human brain); Antigen retrieval by boiling in sodium citrate buffer (pH6.0) for 15 min; Block endogenous peroxidase by 3% hydrogen peroxide for 20 min; Blocking buffer (normal goat serum) at 37°C for 30 min; Incubation with (GAP43) Monoclonal Antibody, Unconjugated (TMAB-00739) at 1:200 overnight at 4°C, followed by operating according to SP Kit (Mouse) instructionsand DAB staining. 9. Paraformaldehyde-fixed, paraffin embedded (human cerebellum); Antigen retrieval by boiling in sodium citrate buffer (pH6.0) for 15 min; Block endogenous peroxidase by 3% hydrogen peroxide for 20 min; Blocking buffer (normal goat serum) at 37°C for 30 min; Incubation with (GAP43) Monoclonal Antibody, Unconjugated (TMAB-00739) at 1:200 overnight at 4°C, followed by operating according to SP Kit (Mouse) instructionsand DAB staining. 10. Paraformaldehyde-fixed, paraffin embedded (mouse cerebellum); Antigen retrieval by boiling in sodium citrate buffer (pH6.0) for 15 min; Block endogenous peroxidase by 3% hydrogen peroxide for 20 min; Blocking buffer (normal goat serum) at 37°C for 30 min; Incubation with (GAP43) Monoclonal Antibody, Unconjugated (TMAB-00739) at 1:200 overnight at 4°C, followed by operating according to SP Kit (Mouse) instructionsand DAB staining. 11. 4% Paraformaldehyde-fixed SH-SY5Y (H) cell; Triton X-100 at RT for 20 min; Antibody incubation with (GAP43) monoclonal Antibody, unconjugated (TMAB-00739) 1:100, 90 min at 37°C; followed by conjugated Goat Anti-Mouse IgG antibody (green) at 37°C for 90 min, DAPI (blue) was used to stain the cell nucleus. PBS instead of the primary antibody was used as the blank control. ![]() ![]() ![]() ![]() ![]() ![]() ![]() ![]() ![]() ![]() ![]() |
| Application | |
| Recommended Dose | ICC/IF=1:50-200; IF=1:100-500; IHC-Fr=1:100-500; IHC-P=1:100-500; WB=1:500-2000 |
| Antibody Type | Monoclonal |
| Host Species | Mouse |
| Subcellular Localization | Cell membrane; Peripheral membrane protein; Cytoplasmic side. Cell projection, growth cone membrane; Peripheral membrane protein; Cytoplasmic side. Cell junction, synapse. Cell projection, filopodium membrane; Peripheral membrane protein. Note=Cytoplasmic surface of growth cone and synaptic plasma membranes. |
| Construction | Hybridoma Monoclonal Antibody |
| Purification | Protein G purified |
| Appearance | Liquid |
| Formulation | 0.01M TBS (pH7.4) with 1% BSA, 0.02% Proclin300 and 50% Glycerol. |
| Concentration | 1 mg/mL |
| Research Background | The protein encoded by this gene has been termed a 'growth' or 'plasticity' protein because it is expressed at high levels in neuronal growth cones during development and axonal regeneration. This protein is considered a crucial component of an effective regenerative response in the nervous system. Alternatively spliced transcript variants encoding distinct isoforms have been found for this gene. [provided by RefSeq, Jul 2008] |
| Immunogen | Recombinant Protein: human GAP43 Protein |
| Antigen Species | Human |
| Gene Name | GAP43 |
| Gene ID | |
| Protein Name | Neuromodulin |
| Uniprot ID | |
| Biology Area | Growth Cone,Synapse marker,Axonal Guidance Proteins |
| Function | This protein is associated with nerve growth. It is a major component of the motile 'growth cones' that form the tips of elongating axons. Plays a role in axonal and dendritic filopodia induction. |
| Molecular Weight | Theoretical: 43 kDa. Actual: 43 kDa. |
| Stability & Storage | Store at -20°C or -80°C for 12 months. Avoid repeated freeze-thaw cycles. |
| Transport | Shipping with blue ice. |
| Size | Quantity | Unit Price | Amount | Operation |
|---|

Copyright © 2015-2026 TargetMol Chemicals Inc. All Rights Reserved.