Shopping Cart
Remove All
Your shopping cart is currently empty
Anti-Fibrinogen Polyclonal Antibody is a Rabbit antibody targeting NMDAR2A. Anti-Fibrinogen Polyclonal Antibody can be used in IHC-P,IHC-F,ICC/IF,IF,FCM.
| Pack Size | Price | USA Stock | Global Stock | Quantity |
|---|---|---|---|---|
| 50 μL | $222 | 7-10 days | 7-10 days | |
| 100 μL | $372 | 7-10 days | 7-10 days | |
| 200 μL | $529 | 7-10 days | 7-10 days |
| Description | Anti-Fibrinogen Polyclonal Antibody is a Rabbit antibody targeting NMDAR2A. Anti-Fibrinogen Polyclonal Antibody can be used in IHC-P,IHC-F,ICC/IF,IF,FCM. |
| Synonyms | MGC120405, MGC119425, MGC119423, MGC119422, MGC104327, Fibrinogen gamma chain, Fibrinogen G alpha polypeptide, Fibrinogen beta chain, Fibrinogen B alpha polypeptide, Fibrinogen alpha chain, Fibrinogen A alpha polypeptide chain, Fibrinogen A alpha polypeptide, Fibrin alpha chain, FIBA, Fib2, FGG, FGB, FGA |
| Ig Type | IgG |
| Reactivity | Human (predicted:Mouse,Rat) |
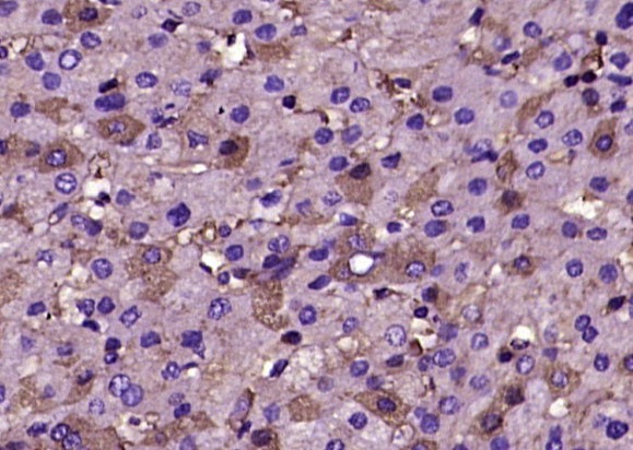
| Verified Activity | 1. Paraformaldehyde-fixed, paraffin embedded (human liver tissue); Antigen retrieval by boiling in sodium citrate buffer (pH6.0) for 15 min; Block endogenous peroxidase by 3% hydrogen peroxide for 20 min; Blocking buffer (normal goat serum) at 37°C for 30 min; Antibody incubation with (human Fibrinogen) Polyclonal Antibody, Unconjugated (TMAB-00676) at 1:400 overnight at 4°C, followed by operating according to SP Kit (Rabbit) instructionsand DAB staining. 2. Blank control (black line): HepG2. Primary Antibody (green line): Rabbit Anti-human Fibrinogen antibody (TMAB-00676) Dilution: 1 μg/Test; Secondary Antibody (white blue line): Goat anti-rabbit IgG-AF488 Dilution: 0.5 μg/Test. Isotype control (orange line): Normal Rabbit IgG Protocol The cells were fixed with 4% PFA (10 min at room temperature) and then permeabilized with 90% ice-cold methanol for 20 min at-20°C, The cells were then incubated in 5% BSA to block non-specific protein-protein interactions for 30 min at room temperature. Cells stained with Primary Antibody for 30 min at room temperature. The secondary antibody used for 40 min at room temperature. ![]() ![]() |
| Application | |
| Recommended Dose | IHC-P=1:100-500,IHC-F=1:100-500,ICC/IF=1:50-200,IF=1:100-500,FCM=1μg /test |
| Antibody Type | Polyclonal |
| Host Species | Rabbit |
| Subcellular Localization | Secreted. |
| Tissue Specificity | Plasma. |
| Construction | Polyclonal Antibody |
| Purification | Protein A purified |
| Appearance | Liquid |
| Formulation | 0.01M TBS (pH7.4) with 1% BSA, 0.02% Proclin300 and 50% Glycerol. |
| Concentration | 1 mg/mL |
| Research Background | Fibrinogen is the main protein of blood coagulation system. It is a large protein and it consists of two identical subunits that contain three polypeptide chains: alpha, beta and gamma. All chains are connected with each other by a number of disulfide bonds. Fibrinopeptides A (1 to 16 amino acids) and B (1 to 17 amino acids) are released by thrombin from the N terminal parts of alpha and beta chains, respectively. In this way fibrinogen is converted into fibrin, which by means of polymerization forms a fibrin clot. Fibrinogen clotting underlies pathogenesis of MI, thromboembolism and thromboses of arteries and veins, since fibrin is the main substrate for thrombus formation. Fibrinogen activation is also involved in pathogenesis of inflammation, tumor growth and many other diseases. The normal fibrinogen concentration in plasma is about 3 mg/ml. The elevated level of fibrinogen in patient's blood is regarded as an independent risk factor for cardiovascular diseases. An increase in blood fibrinogen concentration was shown to be a strong predictor of coronary heart disease (Sonel A. et al, and Rapold H.J. et al). All these facts make fibrinogen an important parameter in the diagnosis of cardiovascular diseases. |
| Immunogen | Fibrinogen from human plasma |
| Antigen Species | Human |
| Gene Name | FGA/FGB/FGG |
| Gene ID | |
| Protein Name | Fibrinogen alpha chain |
| Uniprot ID | |
| Function | Fibrinogen has a double function: yielding monomers that polymerize into fibrin and acting as a cofactor in platelet aggregation. |
| Molecular Weight | Theoretical: 95/340 kDa. |
| Stability & Storage | Store at -20°C or -80°C for 12 months. Avoid repeated freeze-thaw cycles. |
| Transport | Shipping with blue ice. |
| Size | Quantity | Unit Price | Amount | Operation |
|---|

Copyright © 2015-2026 TargetMol Chemicals Inc. All Rights Reserved.