Shopping Cart
Remove All
Your shopping cart is currently empty
Anti-FGFR1 Polyclonal Antibody is a Rabbit antibody targeting FGFR1. Anti-FGFR1 Polyclonal Antibody can be used in IF, IHC-Fr, IHC-P, WB.
| Pack Size | Price | USA Stock | Global Stock | Quantity |
|---|---|---|---|---|
| 50 μL | $220 | 7-10 days | 7-10 days | |
| 100 μL | $373 | 7-10 days | 7-10 days | |
| 200 μL | $528 | 7-10 days | 7-10 days |
| Description | Anti-FGFR1 Polyclonal Antibody is a Rabbit antibody targeting FGFR1. Anti-FGFR1 Polyclonal Antibody can be used in IF, IHC-Fr, IHC-P, WB. |
| Synonyms | N-sam, FLT-2, FGFR1 β (IIIc), FGFR-1, CD331, bFGF-R-1, BFGFR |
| Ig Type | IgG |
| Reactivity | Human,Mouse,Rat (predicted:Chicken,Dog,Cow) |
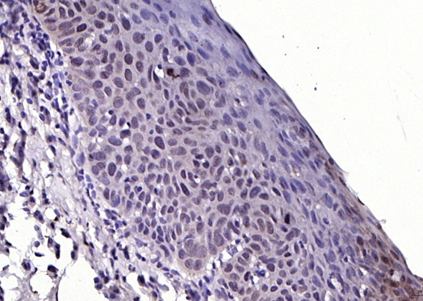
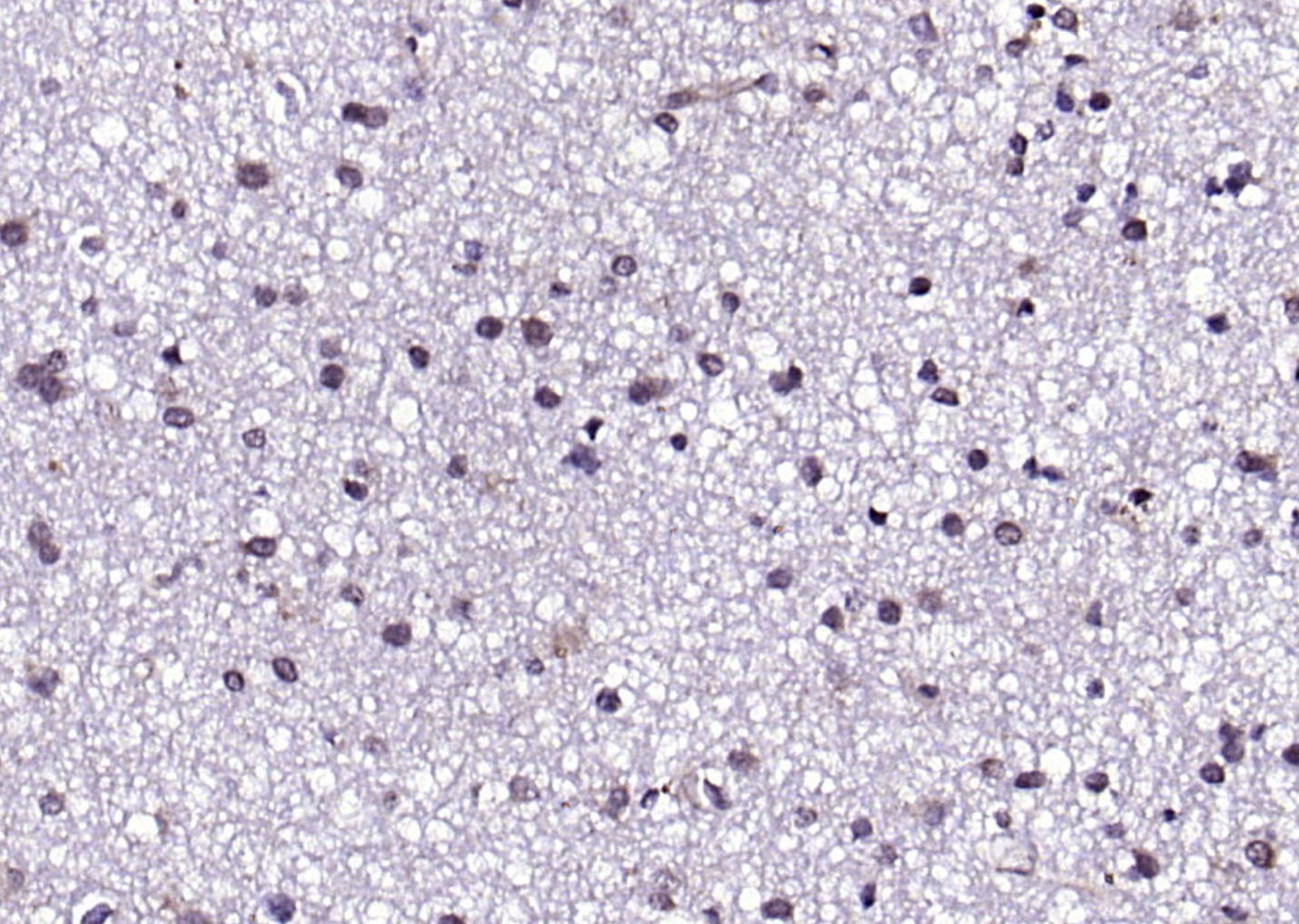
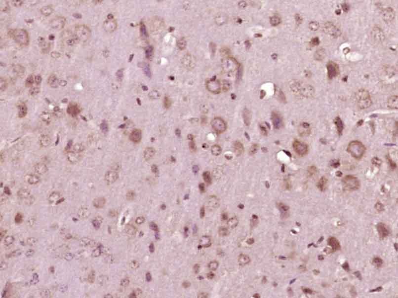
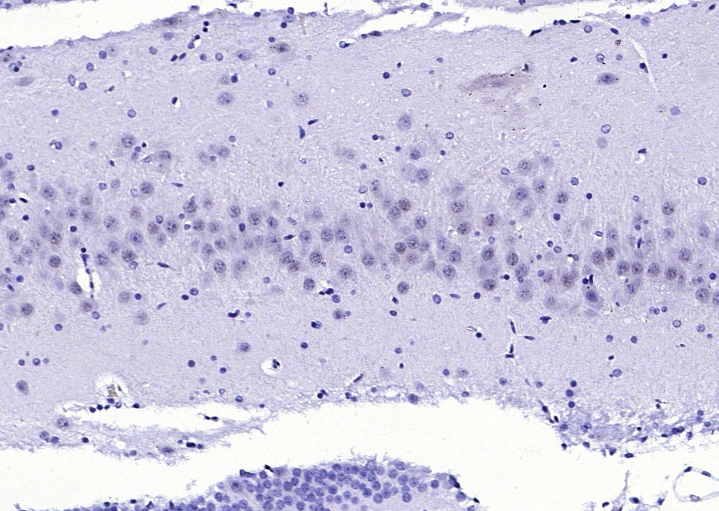
| Verified Activity | 1. Paraformaldehyde-fixed, paraffin embedded (Mouse brain); Antigen retrieval by boiling in sodium citrate buffer (pH6.0) for 15 min; Block endogenous peroxidase by 3% hydrogen peroxide for 20 min; Blocking buffer (normal goat serum) at 37°C for 30 min; Antibody incubation with (FGFR1) Polyclonal Antibody, Unconjugated (TMAB-00674) at 1:400 overnight at 4°C, followed by operating according to SP Kit (Rabbit) instructionsand DAB staining. 2. Sample: MCF-7 (Human) Cell Lysate at 30 μg Primary: Anti-CD331 (TMAB-00674) at 1/500 dilution Secondary: IRDye800CW Goat Anti-Rabbit IgG at 1/20000 dilution Predicted band size: 88 kDa Observed band size: 130 kDa 3. Paraformaldehyde-fixed, paraffin embedded (human laryngeal carcinoma); Antigen retrieval by boiling in sodium citrate buffer (pH6.0) for 15 min; Block endogenous peroxidase by 3% hydrogen peroxide for 20 min; Blocking buffer (normal goat serum) at 37°C for 30 min; Antibody incubation with (FGFR1) Polyclonal Antibody, Unconjugated (TMAB-00674) at 1:200 overnight at 4°C, followed by operating according to SP Kit (Rabbit) instructionsand DAB staining. 4. Paraformaldehyde-fixed, paraffin embedded (rat brain); Antigen retrieval by boiling in sodium citrate buffer (pH6.0) for 15 min; Block endogenous peroxidase by 3% hydrogen peroxide for 20 min; Blocking buffer (normal goat serum) at 37°C for 30 min; Antibody incubation with (FGFR1) Polyclonal Antibody, Unconjugated (TMAB-00674) at 1:200 overnight at 4°C, followed by operating according to SP Kit (Rabbit) instructionsand DAB staining. 5. Paraformaldehyde-fixed, paraffin embedded (human meningioma); Antigen retrieval by boiling in sodium citrate buffer (pH6.0) for 15 min; Block endogenous peroxidase by 3% hydrogen peroxide for 20 min; Blocking buffer (normal goat serum) at 37°C for 30 min; Antibody incubation with (FGFR1) Polyclonal Antibody, Unconjugated (TMAB-00674) at 1:200 overnight at 4°C, followed by operating according to SP Kit (Rabbit) instructionsand DAB staining. ![]() ![]() ![]() ![]() ![]() |
| Application | |
| Recommended Dose | WB: 1:500-2000; IHC-P: 1:100-500; IHC-Fr: 1:100-500; IF: 1:100-500 |
| Antibody Type | Polyclonal |
| Host Species | Rabbit |
| Subcellular Localization | Cell membrane; Single-pass type I membrane protein. Nucleus. Cytoplasm, cytosol. Cytoplasmic vesicle. |
| Tissue Specificity | Detected in astrocytoma, neuroblastoma and adrenal cortex cell lines. Some isoforms are detected in foreskin fibroblast cell lines, however isoform 17, isoform 18 and isoform 19 are not detected in these cells. |
| Construction | Polyclonal Antibody |
| Purification | Protein A purified |
| Appearance | Liquid |
| Formulation | 0.01M TBS (pH7.4) with 1% BSA, 0.02% Proclin300 and 50% Glycerol. |
| Concentration | 1 mg/mL |
| Research Background | Fibroblast growth factors (FGFs) produce mitogenic and angiogenic effects in target cells by signaling through the cellular surface tyrosine kinase receptors. There are four members of the FGF receptor family: FGFR-1 (flg), FGFR-2 (bek, KGFR), FGFR-3 and FGFR-4. Each receptor contains an extracellular ligand binding domain, a transmembrane region and a cytoplasmic kinase domain (1). Following ligand binding and dimerization, the receptors are phosphorylated at specific tyrosine residues (2). Seven tyrosine residues in the cytoplasmic tail of FGFR-1 can be phosphorylated: Tyr463, Tyr583, Tyr585, Tyr653, Tyr654, Tyr730 and Tyr766. Tyrosine 653 and 654 are important for catalytic activity of the activated FGFR and are essential for signaling (3). The other phosphorylated tyrosine residues may provide docking sites for downstream signaling components such as Crk and PLCgamma. |
| Immunogen | KLH conjugated synthetic peptide: human BFGFR |
| Antigen Species | Human |
| Gene Name | FGFR1 |
| Gene ID | |
| Protein Name | Fibroblast growth factor receptor 1 |
| Uniprot ID | |
| Biology Area | Receptor Tyrosine Kinases,FGF,Neurogenesis,SARS Coronavirus,FGF Receptors,FGF |
| Function | Receptor for fibroblast growth factors FGF2 and FGF1. Receptor for FGF23 in the presence of KL (By similarity). Promotes mitogenesis in response to fibroblast growth factors. Activates PLCG1. |
| Molecular Weight | Theoretical: 88 kDa. Actual: 130 kDa. |
| Stability & Storage | Store at -20°C or -80°C for 12 months. Avoid repeated freeze-thaw cycles. |
| Transport | Shipping with blue ice. |
| Size | Quantity | Unit Price | Amount | Operation |
|---|

Copyright © 2015-2026 TargetMol Chemicals Inc. All Rights Reserved.