Shopping Cart
Remove All
Your shopping cart is currently empty
Synonyms: HBP17, Fibroblast growth factor binding protein 1 precursor, FGFP1, FGFBP1, FGFBP, FGF-binding protein, FGF BP1, FGF BP, FGF binding protein 1, 17 kDa heparin binding growth factor binding protein
| Pack Size | Price | USA Stock | Global Stock | Quantity |
|---|---|---|---|---|
| 50 μL | $222 | 7-10 days | 7-10 days | |
| 100 μL | $373 | 7-10 days | 7-10 days | |
| 200 μL | $527 | 7-10 days | 7-10 days |
| Description | Anti-FGFBP1 Polyclonal Antibody is a Rabbit antibody targeting FGFBP1. Anti-FGFBP1 Polyclonal Antibody can be used in IF,IHC-Fr,IHC-P. |
| Synonyms | HBP17, Fibroblast growth factor binding protein 1 precursor, FGFP1, FGFBP1, FGFBP, FGF-binding protein, FGF BP1, FGF BP, FGF binding protein 1, 17 kDa heparin binding growth factor binding protein |
| Ig Type | IgG |
| Reactivity | Human,Mouse (predicted:Rat) |
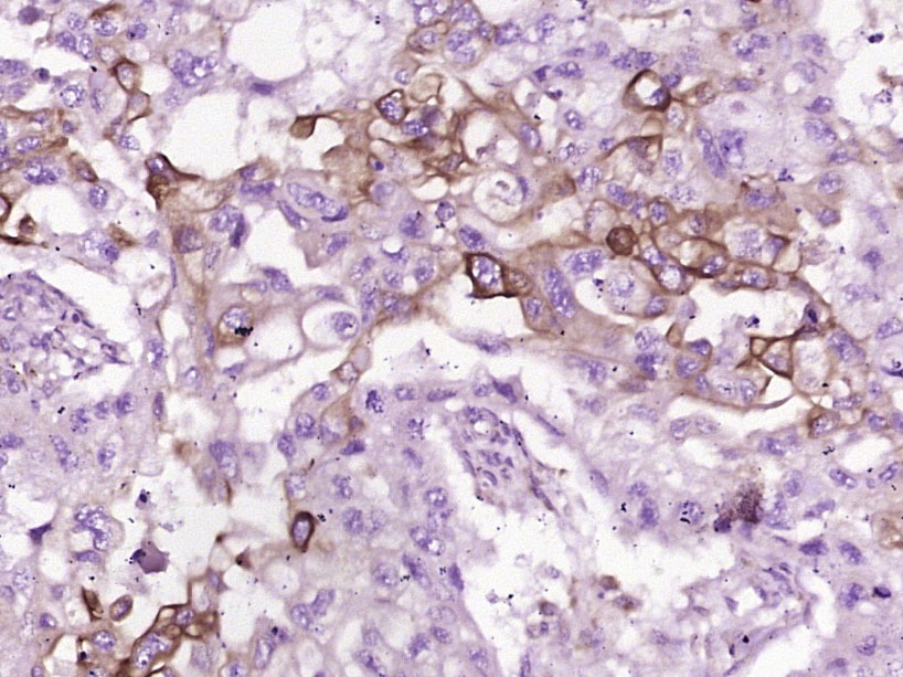
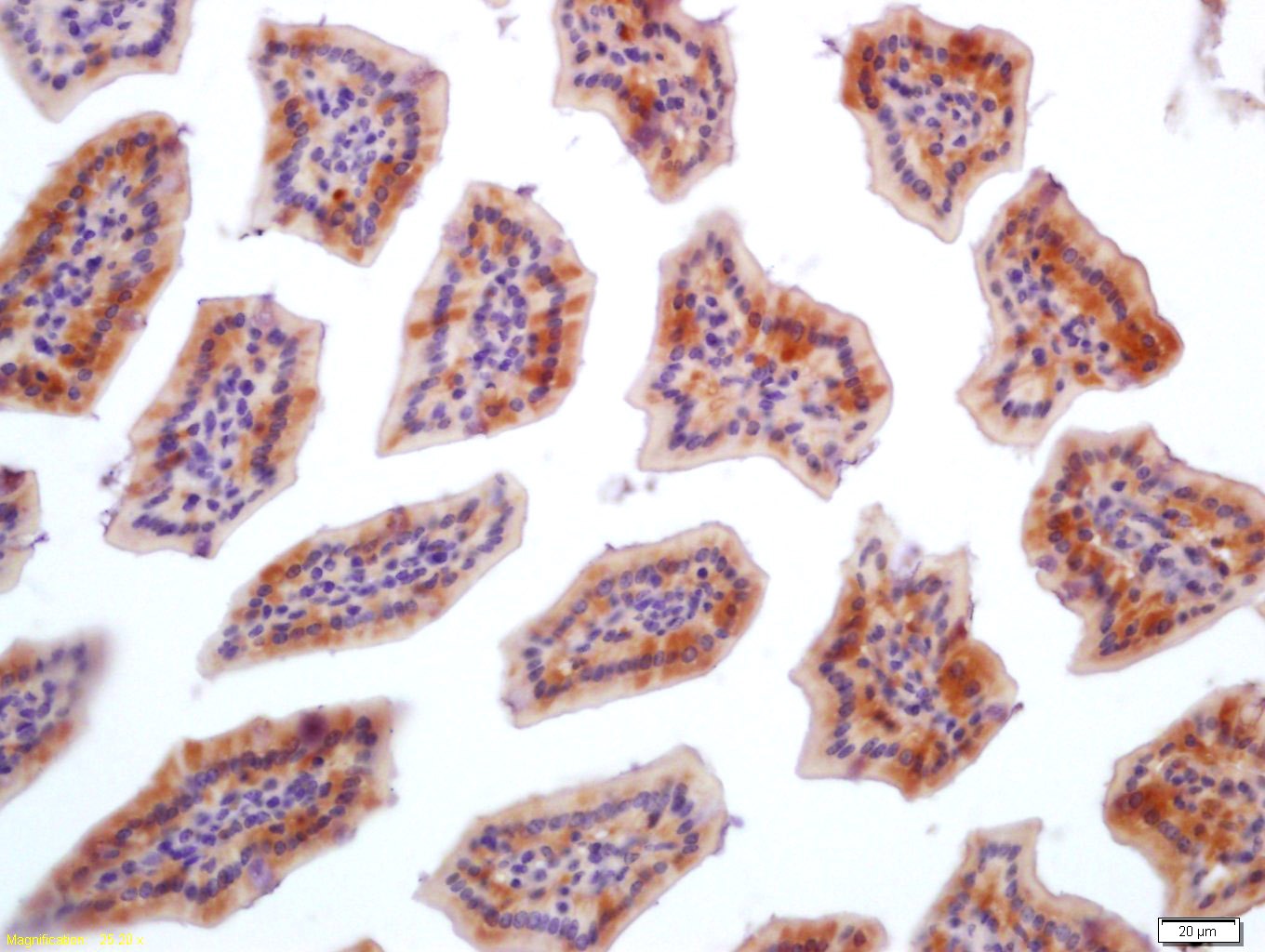
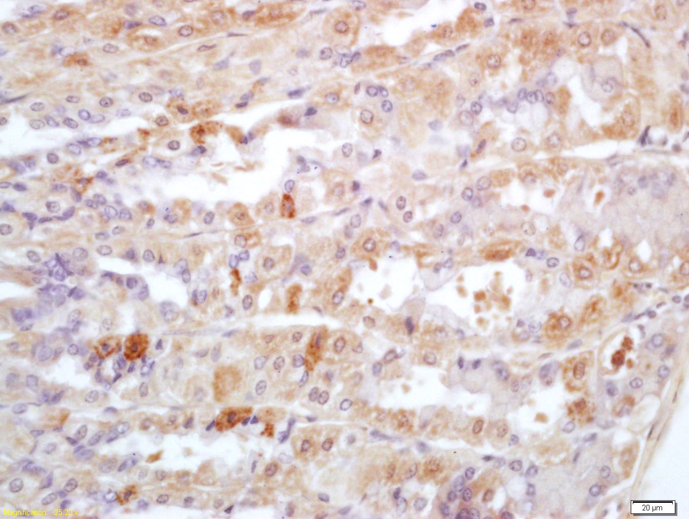
| Verified Activity | 1. Tissue/cell: mouse intestine tissue; 4% Paraformaldehyde-fixed and paraffin-embedded; Antigen retrieval: citrate buffer (0.01M, pH6.0), Boiling bathing for 15 min; Block endogenous peroxidase by 3% Hydrogen peroxide for 30 min; Blocking buffer (normal goat serum) at 37°C for 20 min; Incubation: Anti-FGFBP1 Polyclonal Antibody, Unconjugated (TMAB-00673) 1:200, overnight at 4°C, followed by conjugation to the secondary antibody and DAb staining. 2. Tissue/cell: mouse stomach tissue; 4% Paraformaldehyde-fixed and paraffin-embedded; Antigen retrieval: citrate buffer (0.01M, pH6.0), Boiling bathing for 15 min; Block endogenous peroxidase by 3% Hydrogen peroxide for 30 min; Blocking buffer (normal goat serum) at 37°C for 20 min; Incubation: Anti-FGFBP1 Polyclonal Antibody, Unconjugated (TMAB-00673) 1:200, overnight at 4°C, followed by conjugation to the secondary antibody and DAb staining. 3. Paraformaldehyde-fixed, paraffin embedded (human skin cancer); Antigen retrieval by boiling in sodium citrate buffer (pH6.0) for 15 min; Block endogenous peroxidase by 3% hydrogen peroxide for 20 min; Blocking buffer (normal goat serum) at 37°C for 30 min; Antibody incubation with (FGFBP1) Polyclonal Antibody, Unconjugated (TMAB-00673) at 1:400 overnight at 4°C, followed by operating according to SP Kit (Rabbit) instructionsand DAB staining. |
| Application | |
| Recommended Dose | IHC-P: 1:100-500; IHC-Fr: 1:100-500; IF: 1:100-500 |
| Antibody Type | Polyclonal |
| Host Species | Rabbit |
| Subcellular Localization | Secreted, extracellular space. Cell membrane; Peripheral membrane protein. Note=Extracellular and plasma membrane-associated. Colocalizes with HSPG2 in the pericellular environment of squamous cell carcinomas. |
| Tissue Specificity | Expressed in the suprabasal region of the epidermis, in hair follicles, the basement membrane at the dermo-epidermal junction (occasionally extending into the basement membrane of dermal blood vessels), wounded skin and several invasive squamous cell carc |
| Construction | Polyclonal Antibody |
| Purification | Protein A purified |
| Appearance | Liquid |
| Formulation | 0.01M TBS (pH7.4) with 1% BSA, 0.02% Proclin300 and 50% Glycerol. |
| Concentration | 1 mg/mL |
| Research Background | This gene encodes a secreted fibroblast growth factor carrier protein. The encoded protein plays a critical role in cell proliferation, differentiation and migration by binding to fibroblast growth factors and potentiating their biological effects on target cells. The encoded protein may also play a role in tumor growth as an angiogenic switch molecule, and expression of this gene has been associated with several types of cancer including pancreatic and colorectal adenocarcinoma. A pseudogene of this gene is also located on the short arm of chromosome 4. [provided by RefSeq, Nov 2011] |
| Immunogen | KLH conjugated synthetic peptide: human FGFBP |
| Antigen Species | Human |
| Gene Name | FGFBP1 |
| Gene ID | |
| Protein Name | Fibroblast growth factor-binding protein 1 |
| Uniprot ID | |
| Biology Area | FGF,FGF,FGF |
| Function | Acts as a carrier protein that release fibroblast-binding factors (FGFs) from the extracellular matrix (EM) storage and thus enhance the mitogenic activity of FGFs. Enhances FGF2 signaling during tissue repair, angiogenesis and in tumor growth. |
| Molecular Weight | Theoretical: 23 kDa. |
| Stability & Storage | Store at -20°C or -80°C for 12 months. Avoid repeated freeze-thaw cycles. |
| Transport | Shipping with blue ice. |
| Size | Quantity | Unit Price | Amount | Operation |
|---|

Copyright © 2015-2026 TargetMol Chemicals Inc. All Rights Reserved.