Shopping Cart
Remove All
Your shopping cart is currently empty
Synonyms: Protein ced-12 homolog, MGC126406, KIAA0281, Engulfment and cell motility protein 1, Engulfment and cell motility 1, ELMO1_HUMAN, ELMO-1, Elmo1, ELMO 1, Ced12 homolog 1, Ced12 homolog, CED-12, CED12, Ced 12 homolog 1, Ced 12 homolog, CED 12
| Pack Size | Price | USA Stock | Global Stock | Quantity |
|---|---|---|---|---|
| 50 μL | $298 | 7-10 days | 7-10 days | |
| 100 μL | $496 | 7-10 days | 7-10 days |
| Description | Anti-ELMO1 Antibody (8W516) is a Rabbit antibody targeting ELMO1. Anti-ELMO1 Antibody (8W516) can be used in FCM,IHC,IP,WB. |
| Synonyms | Protein ced-12 homolog, MGC126406, KIAA0281, Engulfment and cell motility protein 1, Engulfment and cell motility 1, ELMO1_HUMAN, ELMO-1, Elmo1, ELMO 1, Ced12 homolog 1, Ced12 homolog, CED-12, CED12, Ced 12 homolog 1, Ced 12 homolog, CED 12 |
| Ig Type | IgG |
| Clone | 8W516 |
| Reactivity | Human,Mouse,Rat |
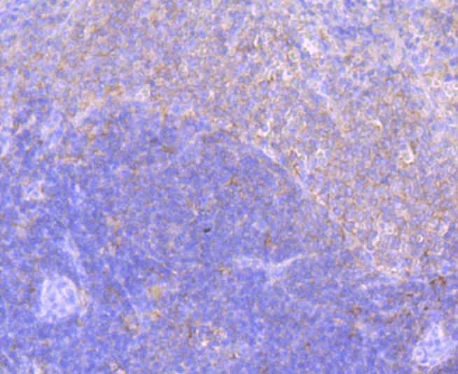
| Verified Activity | 1. Western blot analysis of ELMO1 on mouse spleen tissue and Jurkat cell lysates using anti-ELMO1 antibody at 1/1,000 dilution. 2. Immunohistochemical analysis of paraffin-embedded rat spleen tissue using anti-ELMO1 antibody. Counter stained with hematoxylin. The section was pre-treated using heat mediated antigen retrieval with sodium citrate buffer (pH6) for 20 mins. 3. Immunohistochemical analysis of paraffin-embedded mouse spleen tissue using anti-ELMO1 antibody. Counter stained with hematoxylin. The section was pre-treated using heat mediated antigen retrieval with sodium citrate buffer (pH6) for 20 mins. 4. Flow cytometric analysis of SH-SY-5Y cells with ELMO1 antibody at 1/50 dilution (purple) compared with an unlabelled control (cells without incubation with primary antibody; yellow). Alexa Fluor 488-conjugated goat anti-rabbit IgG was used as the secondary antibody. |
| Application | |
| Recommended Dose | WB: 1:500-2000; IHC: 1:50-200; IP: 1:50-100; FCM: 1:50-100 |
| Antibody Type | Monoclonal |
| Host Species | Rabbit |
| Construction | Recombinant Antibody |
| Purification | ProA affinity purified |
| Appearance | Liquid |
| Formulation | 1*TBS (pH7.4), 1%BSA, 40%Glycerol. Preservative: 0.05% Sodium Azide. |
| Research Background | Elmo (engulfment and cell motility) proteins share similarity to C. elegans CED-12. The C. elegans genes ced-2, ced-5, ced-10 and ced-12, and their mammalian homologs, CRKII, DOCK1, RAC1 and ELMO, mediate cytoskeletal rear-rangements during phagocytosis of apoptotic cells as well as cell motility. Elmo1 associates with DOCK 180 and may influence phagocytosis and effect cell shape changes. Src family kinase-mediated tyrosine phosphorylation of Elmo1 influences signaling through Elmo1/Crk/DOCK 180 pathways. Elmo2 interacts directly with Rho G in a GTP-dependent manner and forms a ternary complex with DOCK 180 to induce activation of Rac 1. The Rho G-Elmo2-DOCK 180 pathway is required for activation of Rac 1 and cell spreading mediated by integrin, as well as for neurite outgrowth induced by nerve growth factor. Elmo3 acts in assocation with DOCK 180 and Crk II and may be required in complex with DOCK 180 to activate Rac/Rho small GTPases. |
| Conjucates | Unconjugated |
| Immunogen | Recombinant Protein: human ELMO1 aa 500 to 700 |
| Antigen Species | human |
| Uniprot ID |
| Molecular Weight | Theoretical: 84 kDa. |
| Stability & Storage | Store at -20°C or -80°C for 12 months. Avoid repeated freeze-thaw cycles. |
| Transport | Shipping with blue ice. |
| Size | Quantity | Unit Price | Amount | Operation |
|---|

Copyright © 2015-2026 TargetMol Chemicals Inc. All Rights Reserved.