Shopping Cart
Remove All
Your shopping cart is currently empty
Anti-EIF2A Antibody (9P904) is a Mouse antibody targeting EIF2A. Anti-EIF2A Antibody (9P904) can be used in FCM,ICC,IHC,WB.
| Pack Size | Price | USA Warehouse | Global Warehouse | Quantity |
|---|---|---|---|---|
| 50 μL | $296 | 7-10 days | 7-10 days | |
| 100 μL | $428 | 7-10 days | 7-10 days |
| Description | Anti-EIF2A Antibody (9P904) is a Mouse antibody targeting EIF2A. Anti-EIF2A Antibody (9P904) can be used in FCM,ICC,IHC,WB. |
| Synonyms | IF2A_HUMAN, Eukaryotic translation initiation factor 2 subunit 1 alpha 35kDa, EIF2 alpha, EIF2 A, EIF2, EIF 2alpha, EIF 2A, EIF 2 alpha, EIF 2 |
| Clone | 9P904 |
| Reactivity | Human |
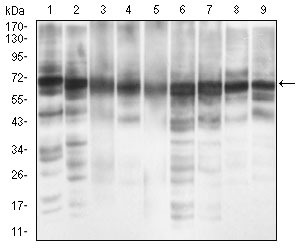
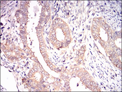
| Verified Activity | 1. Western blot analysis of EIF2A on human EIF2A recombinant protein using anti-EIF2A antibody at 1/1,000 dilution. 2. Western blot analysis of EIF2A on HEK293 (1) and EIF2A-hIgGFc transfected HEK293 (2) cell lysate using anti-EIF2A antibody at 1/1,000 dilution. 3. Western blot analysis of EIF2A on different cell lysate using anti-EIF2A antibody at 1/1,000 dilution. Positive control: Line1: MCF-7, Line2: PC-12, Line3: HepG2, Line4: Hela, Line5: Cos7, Line6: K562, Line7: Jurkat, Line8: A431, Line9: 4. Immunohistochemical analysis of paraffin-embedded human cervical cancer tissue using anti-EIF2A antibody. Counter stained with hematoxylin. 5. ICC staining EIF2A (green) in HepG2 cells. The nuclear counter stain is DAPI (blue). Cells were fixed in paraformaldehyde, permeabilised with 0.25% Triton X100/PBS. 6. Flow cytometric analysis of HepG2 cells with EIF2A antibody at 1/100 dilution (green) compared with an unlabelled control (cells without incubation with primary antibody; red). ![]() ![]() ![]() ![]() ![]() ![]() |
| Application | |
| Recommended Dose | WB: 1:500-2000; IHC: 1:50-200; ICC: 1:50-200; FCM: 1:50-100 |
| Antibody Type | Monoclonal |
| Host Species | Mouse |
| Construction | Hybridoma Monoclonal Antibody |
| Purification | ProA affinity purified |
| Appearance | Liquid |
| Formulation | 1*TBS (pH7.4), 1%BSA, 40%Glycerol. Preservative: 0.05% Sodium Azide. |
| Research Background | eIF2A (eukaryotic translation initiation factor 2A), also known as CDA02, MSTP004 or MSTP089, is a 585 amino acid protein that contains three WD repeats. Expressed ubiquitously with highest expression in heart, brain, pancreas and placenta, eIF2A functions as a translation initiation factor that binds Met-tRNA and directs it to 40S ribosomal subunits. Present in the early steps of protein synthesis, eIF2A controls the binding of Met-tRNA to 40S ribosomal subunits in a codon-dependent manner, in contrast to the eIF2 complex which accomplishes the same task in a GTP-dependent manner. In addition to its role in transcription initiation, eIF2A may also act to negatively regulate the expression of specific proteins, suggesting a possible role as a transcriptional repressor. eIF2A exists as two isoforms due to alternative splicing events. |
| Conjucates | Unconjugated |
| Immunogen | Recombinant Protein |
| Uniprot ID |
| Molecular Weight | Theoretical: 65 kDa. |
| Stability & Storage | Store at -20°C or -80°C for 12 months. Avoid repeated freeze-thaw cycles. |
| Transport | Shipping with blue ice. |
| Size | Quantity | Unit Price | Amount | Operation |
|---|

Copyright © 2015-2026 TargetMol Chemicals Inc. All Rights Reserved.