Shopping Cart
Remove All
Your shopping cart is currently empty
Anti-E-Cadherin/Cadherin-1 Antibody (7M374) is a Mouse antibody targeting E-Cadherin/Cadherin-1. Anti-E-Cadherin/Cadherin-1 Antibody (7M374) can be used in FCM,ICC,IHC,WB.
| Pack Size | Price | USA Warehouse | Global Warehouse | Quantity |
|---|---|---|---|---|
| 50 μL | $297 | 7-10 days | 7-10 days | |
| 100 μL | $428 | 7-10 days | 7-10 days |
| Description | Anti-E-Cadherin/Cadherin-1 Antibody (7M374) is a Mouse antibody targeting E-Cadherin/Cadherin-1. Anti-E-Cadherin/Cadherin-1 Antibody (7M374) can be used in FCM,ICC,IHC,WB. |
| Synonyms | UVO, LCAM, E-Cadherin, E-cad, ECAD, CDHE, CDH1, CD324, cadherin 1, type 1, E-cadherin (epithelial), Arc-1 |
| Clone | 7M374 |
| Reactivity | Human,Mouse |
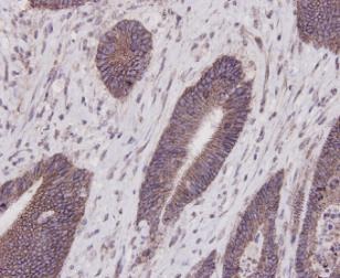
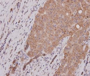
| Verified Activity | 1. Western blot analysis of E-cadherin on different cell lysates using anti- E-cadherin antibody at 1/1000 dilution. Positive control: Lane 1: A431, Lane 2: SW480, Lane 3: MCF-7, Lane 4: Hela. 2. Immunohistochemical analysis of paraffin-embedded human liver carcinoma tissue using E-Cadherin antibody. Counter stained with hematoxylin. 3. Immunohistochemical analysis of paraffin-embedded human colon carcinoma tissue using E-Cadherin antibody. Counter stained with hematoxylin. 4. ICC staining E-Cadherin in A431 cells (red). Cells were fixed in paraformaldehyde, permeabilised with 0.25% Triton X100/PBS. 5. Flow cytometric analysis of HeLa cells with E-Cadherin antibody at 1/50 dilution (blue) compared with an unlabelled control (cells without incubation with primary antibody; red). Goat anti mouse IgG (FITC) was used as the secondary antibody. ![]() ![]() ![]() ![]() ![]() |
| Application | |
| Recommended Dose | WB: 1:500-1000; IHC: 1:200; ICC: 1:200; FCM: 1:50-100 |
| Antibody Type | Monoclonal |
| Host Species | Mouse |
| Construction | Hybridoma Monoclonal Antibody |
| Purification | ProA affinity purified |
| Appearance | Liquid |
| Formulation | 1*TBS (pH7.4), 1%BSA, 40%Glycerol. Preservative: 0.05% Sodium Azide. |
| Research Background | E-cadherin (epithelial) is the most well-studied member of the cadherin family. It consists of 5 cadherin repeats (EC1 ~ EC5) in the extracellular domain, one transmembrane domain, and an intracellular domain that binds p120-catenin and beta-catenin. The intracellular domain contains a highly-phosphorylated region vital to beta-catenin binding and, therefore, to E-cadherin function. Loss of E-cadherin function or expression has been implicated in cancer progression and metastasis. E-cadherin downregulation decreases the strength of cellular adhesion within a tissue, resulting in an increase in cellular motility. This in turn may allow cancer cells to cross the basement membrane and invade surrounding tissues. E-cadherin is also used by pathologists to diagnose different kinds of breast cancer. |
| Conjucates | Unconjugated |
| Immunogen | Recombinant Protein |
| Uniprot ID |
| Molecular Weight | Theoretical: 130 kDa. |
| Stability & Storage | Store at -20°C or -80°C for 12 months. Avoid repeated freeze-thaw cycles. |
| Transport | Shipping with blue ice. |
| Size | Quantity | Unit Price | Amount | Operation |
|---|

Copyright © 2015-2026 TargetMol Chemicals Inc. All Rights Reserved.