Shopping Cart
Remove All
Your shopping cart is currently empty
Anti-CX3CL1/Fractalkine Polyclonal Antibody is a Rabbit antibody targeting CX3CL1/Fractalkine. Anti-CX3CL1/Fractalkine Polyclonal Antibody can be used in IF,IHC-Fr,IHC-P.
| Pack Size | Price | USA Warehouse | Global Warehouse | Quantity |
|---|---|---|---|---|
| 50 μL | $221 | 7-10 days | 7-10 days | |
| 100 μL | $373 | 7-10 days | 7-10 days | |
| 200 μL | $529 | 7-10 days | 7-10 days |
| Description | Anti-CX3CL1/Fractalkine Polyclonal Antibody is a Rabbit antibody targeting CX3CL1/Fractalkine. Anti-CX3CL1/Fractalkine Polyclonal Antibody can be used in IF,IHC-Fr,IHC-P. |
| Synonyms | Small-inducible cytokine D1, SCYD1, NTT, Neurotactin, Fractalkine, FKN, CX3CL1, C-X3-C motif chemokine 1, CX3C membrane-anchored chemokine |
| Ig Type | IgG |
| Reactivity | Human (predicted:Mouse,Rat) |
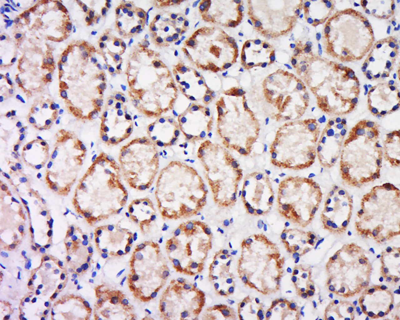
| Verified Activity | Tissue/cell: human kidney tissue; 4% Paraformaldehyde-fixed and paraffin-embedded; Antigen retrieval: citrate buffer (0.01M, pH6.0), Boiling bathing for 15 min; Block endogenous peroxidase by 3% Hydrogen peroxide for 30 min; Blocking buffer (normal goat serum) at 37°C for 20 min; Incubation: Anti-CX3CL1 Polyclonal Antibody, Unconjugated (TMAB-00493) 1:500, overnight at 4°C, followed by conjugation to the secondary antibody and DAb staining. ![]() |
| Application | |
| Recommended Dose | IHC-P: 1:100-500; IHC-Fr: 1:100-500; IF: 1:100-500 |
| Antibody Type | Polyclonal |
| Host Species | Rabbit |
| Subcellular Localization | Cell membrane; Single-pass type I membrane protein. Processed fractalkine: Secreted. |
| Tissue Specificity | Small intestine, colon, testis, prostate, heart, brain, lung, skeletal muscle, kidney and pancreas. |
| Construction | Polyclonal Antibody |
| Purification | Protein A purified |
| Appearance | Liquid |
| Formulation | 0.01M TBS (pH7.4) with 1% BSA, 0.02% Proclin300 and 50% Glycerol. |
| Concentration | 1 mg/mL |
| Research Background | CX3CL1 is a member of the delta chemokine subfamily that contains a unique CX3C cysteine motif near the N-terminal. Unlike other known chemokines, it is a type 1 membrane protein containing a chemokine domain tethered on a long mucin-like stalk. CX3CL1, a leukocyte chemoattractant, is expressed in various tissues including the brain, heart, lung, kidney, skeletal muscle, and testis. The expression is reported to be up-regulated in endothelial cells and microglia by inflammatory signals. CX3CR1, a specific receptor for fractalkine, mediates both leukocyte migration and adhesion. |
| Immunogen | KLH conjugated synthetic peptide: human CX3CL1 |
| Antigen Species | Human |
| Gene Name | CX3CL1 |
| Gene ID | |
| Protein Name | Fractalkine |
| Uniprot ID | |
| Biology Area | Macrophage / Inflamm.,Delta Chemokines (CXC3),Chemokines |
| Function | The soluble form is chemotactic for T-cells and monocytes, but not for neutrophils. The membrane-bound form promotes adhesion of those leukocytes to endothelial cells. May play a role in regulating leukocyte adhesion and migration processes at the endothelium. Binds to CX3CR1. |
| Molecular Weight | Theoretical: 41 kDa. |
| Stability & Storage | Store at -20°C or -80°C for 12 months. Avoid repeated freeze-thaw cycles. |
| Transport | Shipping with blue ice. |
| Size | Quantity | Unit Price | Amount | Operation |
|---|

Copyright © 2015-2026 TargetMol Chemicals Inc. All Rights Reserved.