Shopping Cart
Remove All
Your shopping cart is currently empty
Anti-CTSL Antibody (9O318) is a Rabbit antibody targeting CTSL. Anti-CTSL Antibody (9O318) can be used in FCM,ICC/IF,IHC,WB.
| Pack Size | Price | USA Warehouse | Global Warehouse | Quantity |
|---|---|---|---|---|
| 50 μL | $298 | 7-10 days | 7-10 days | |
| 100 μL | $497 | 7-10 days | 7-10 days |
| Description | Anti-CTSL Antibody (9O318) is a Rabbit antibody targeting CTSL. Anti-CTSL Antibody (9O318) can be used in FCM,ICC/IF,IHC,WB. |
| Synonyms | MEP, FLJ31037, CTSL1, CTSL, CATL, cathepsin L |
| Ig Type | IgG |
| Clone | 9O318 |
| Reactivity | Human,Mouse,Rat |
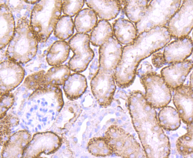
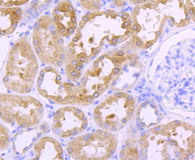
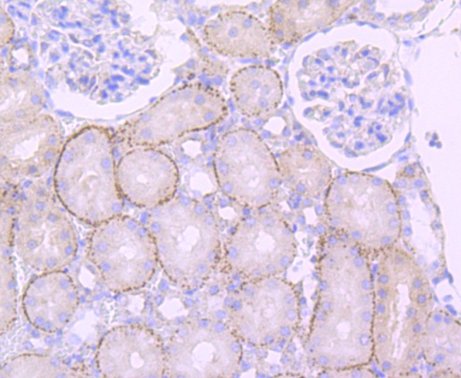
| Verified Activity | 1. Western blot analysis of Cathepsin L/V/K/H on different cells lysates using anti-Cathepsin L/V/K/H antibody at 1/1,000 dilution. Positive control: Lane 1: HepG2, Lane 2: A549. 2. Immunohistochemical analysis of paraffin-embedded human kidney tissue using anti-Cathepsin L/V/K/H antibody. Counter stained with hematoxylin. 3. Immunohistochemical analysis of paraffin-embedded mouse kidney tissue using anti-Cathepsin L/V/K/H antibody. Counter stained with hematoxylin. 4. Immunohistochemical analysis of paraffin-embedded rat kidney tissue using anti-Cathepsin L/V/K/H antibody. Counter stained with hematoxylin. 5. ICC staining Cathepsin L/V/K/H in HepG2 cells (red). The nuclear counter stain is DAPI (blue). Cells were fixed in paraformaldehyde, permeabilised with 0.25% Triton X100/PBS. 6. Flow cytometric analysis of HepG2 cells with Cathepsin L/V/K/H antibody at 1/50 dilution (red) compared with an unlabelled control (cells without incubation with primary antibody; black). Alexa Fluor 488-conjugated goat anti rabbit IgG was used as the secondary antibody. ![]() ![]() ![]() ![]() ![]() ![]() |
| Application | |
| Recommended Dose | WB: 1:1000-5000; IHC: 1:50-200; ICC/IF: 1:50-100; FCM: 1:50-100 |
| Antibody Type | Monoclonal |
| Host Species | Rabbit |
| Construction | Recombinant Antibody |
| Purification | ProA affinity purified |
| Appearance | Liquid |
| Formulation | 1*TBS (pH7.4), 1%BSA, 40%Glycerol. Preservative: 0.05% Sodium Azide. |
| Research Background | The cathepsin family of proteolytic enzymes contains several diverse classes of proteases. The cysteine protease class comprises cathepsins B, L, H, K, S, and O. The aspartyl protease class is composed of cathepsins D and E. Cathepsin G is in the serine protease class. Most cathepsins are lysosomal and each is involved in cellular metabolism, participating in various events such as peptide biosynthesis and protein degradation. Cathepsin L (also designated major excreted protein, MEP or CATL) is a member of the peptidase C1 family and has been identified as a protein that is most closely related to cathepsin H. It is a lysosomal cysteine proteinase that mediates intracellular protein catabolism for collagen, elastin and ?-1 protease inhibitor. Cathepsin L is a dimer composed of disulfide-linked heavy and light chains, both produced from a single protein precursor. At least two transcript variants encoding the same protein have been found for this gene. Transformed mouse fibroblasts stimulated by growth factors or tumor promoters secrete a form of cathepsin L. |
| Conjucates | Unconjugated |
| Immunogen | Recombinant Protein |
| Uniprot ID |
| Molecular Weight | Theoretical: 38 kDa. |
| Stability & Storage | Store at -20°C or -80°C for 12 months. Avoid repeated freeze-thaw cycles. |
| Transport | Shipping with blue ice. |
| Size | Quantity | Unit Price | Amount | Operation |
|---|

Copyright © 2015-2026 TargetMol Chemicals Inc. All Rights Reserved.