Shopping Cart
Remove All
Your shopping cart is currently empty
Anti-CFHR5 Antibody (9M883) is a Mouse antibody targeting CFHR5. Anti-CFHR5 Antibody (9M883) can be used in FCM,ICC,IHC,WB.
| Pack Size | Price | USA Warehouse | Global Warehouse | Quantity |
|---|---|---|---|---|
| 50 μL | $298 | 7-10 days | 7-10 days | |
| 100 μL | $428 | 7-10 days | 7-10 days |
| Description | Anti-CFHR5 Antibody (9M883) is a Mouse antibody targeting CFHR5. Anti-CFHR5 Antibody (9M883) can be used in FCM,ICC,IHC,WB. |
| Synonyms | Complement factor H-related protein 5 |
| Clone | 9M883 |
| Reactivity | Human,Mouse |
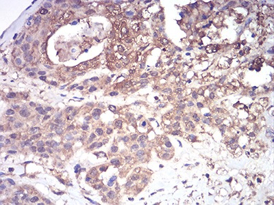
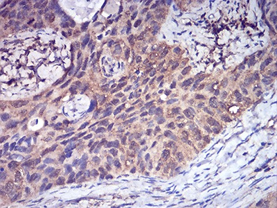
| Verified Activity | 1. Western blot analysis of CFHR5 on human CFHR5 recombinant protein using anti-CFHR5 antibody at 1/1,000 dilution. 2. Western blot analysis of CFHR5 on HEK293 (1) and CFHR5-hIgGFc transfected HEK293 (2) cell lysate using anti-CFHR5 antibody at 1/1,000 dilution. 3. Western blot analysis of CFHR5 on different cell lysate using anti-CFHR5 antibody at 1/1,000 dilution. Positive control: Lane1: HepG2, Lane2: K562, Lane3: L-02, Lane4: SK-Hep-1, Lane5: SMMC-7721, Lane6: NIH/3T3. 4. Immunohistochemical analysis of paraffin-embedded human cervical cancer tissue using anti-CFHR5 antibody. Counter stained with hematoxylin. 5. Immunohistochemical analysis of paraffin-embedded human ovarian cancer tissue using anti-CFHR5 antibody. Counter stained with hematoxylin. 6. ICC staining CFHR5 (green) and Actin filaments (red) in Hela cells. The nuclear counter stain is DAPI (blue). Cells were fixed in paraformaldehyde, permeabilised with 0.25% Triton X100/PBS. 7. Flow cytometric analysis of Hela cells with CFHR5 antibody at 1/100 dilution (green) compared with an unlabelled control (cells without incubation with primary antibody; red). ![]() ![]() ![]() ![]() ![]() ![]() ![]() |
| Application | |
| Recommended Dose | WB: 1:500-2000; IHC: 1:50-200; ICC: 1:50-200; FCM: 1:50-200 |
| Antibody Type | Monoclonal |
| Host Species | Mouse |
| Construction | Hybridoma Monoclonal Antibody |
| Purification | ProA affinity purified |
| Appearance | Liquid |
| Formulation | 1*TBS (pH7.4), 1%BSA, 40%Glycerol. Preservative: 0.05% Sodium Azide. |
| Research Background | Involved in complement regulation. The dimerized forms have avidity for tissue-bound complement fragments and efficiently compete with the physiological complement inhibitor CFH.This gene is a member of a small complement factor H (CFH) gene cluster on chromosome 1. Each member of this gene family contains multiple short consensus repeats (SCRs) typical of regulators of complement activation. The protein encoded by this gene has nine SCRs with the first two repeats having heparin binding properties, a region within repeats 5-7 having heparin binding and C reactive protein binding properties, and the C-terminal repeats being similar to a complement component 3 b (C3b) binding domain. This protein co-localizes with C3, binds C3b in a dose-dependent manner, and is recruited to tissues damaged by C-reactive protein. Allelic variations in this gene have been associated, but not causally linked, with two different forms of kidney disease: membranoproliferative glomerulonephritis type II (MPGNII) and hemolytic uraemic syndrome (HUS). |
| Conjucates | Unconjugated |
| Immunogen | Recombinant Protein |
| Uniprot ID |
| Molecular Weight | Theoretical: 64 kDa. |
| Stability & Storage | Store at -20°C or -80°C for 12 months. Avoid repeated freeze-thaw cycles. |
| Transport | Shipping with blue ice. |
| Size | Quantity | Unit Price | Amount | Operation |
|---|

Copyright © 2015-2026 TargetMol Chemicals Inc. All Rights Reserved.