Shopping Cart
Remove All
Your shopping cart is currently empty
Anti-CD44 Antibody (5M235) is a Rabbit antibody targeting CD44. Anti-CD44 Antibody (5M235) can be used in FCM,IHC,WB.
| Pack Size | Price | USA Warehouse | Global Warehouse | Quantity |
|---|---|---|---|---|
| 50 μL | $296 | 7-10 days | 7-10 days | |
| 100 μL | $497 | 7-10 days | 7-10 days |
| Description | Anti-CD44 Antibody (5M235) is a Rabbit antibody targeting CD44. Anti-CD44 Antibody (5M235) can be used in FCM,IHC,WB. |
| Synonyms | Pgp1, MIC4, MDU3, MDU2, MC56, LHR, IN, HUTCH-I, HCELL, ECMR-III, CSPG8, CDW44, CD44 molecule (Indian blood group) |
| Ig Type | IgG |
| Clone | 5M235 |
| Reactivity | Human |
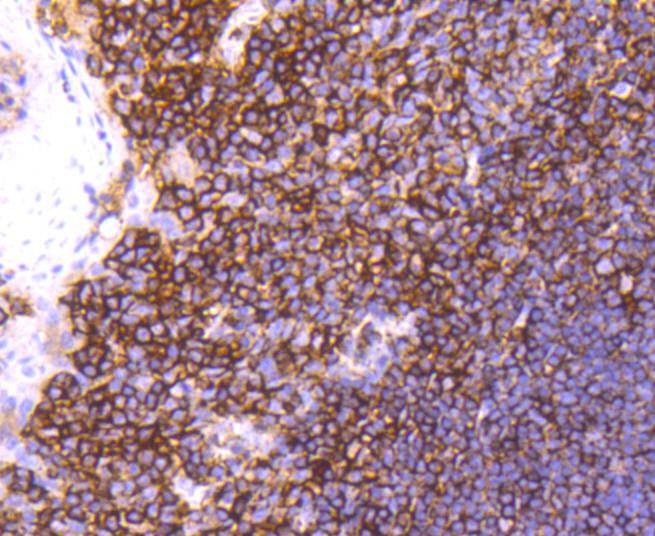
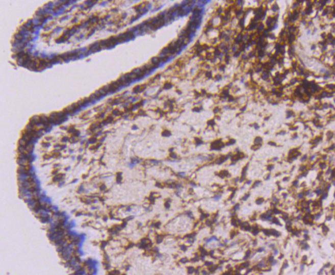
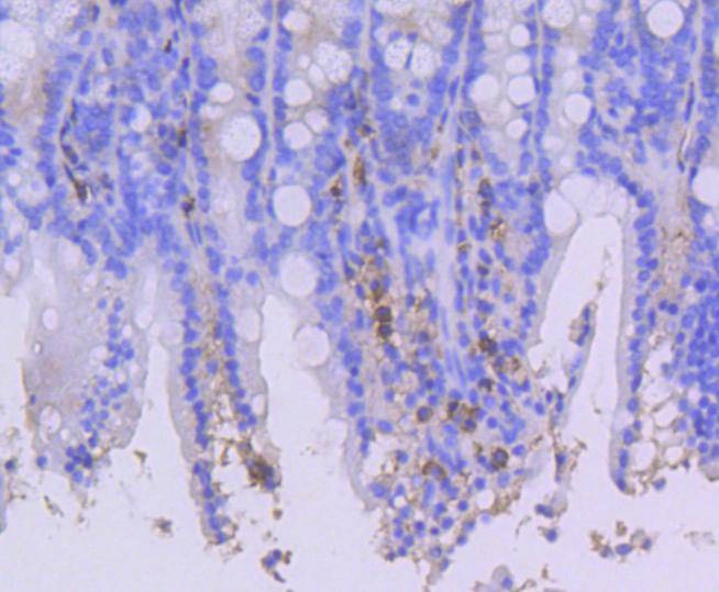
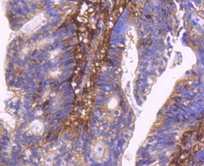
| Verified Activity | 1. Western blot analysis of CD44 on different lysates using anti-CD44 antibody at 1/1,000 dilution. Positive control: Lane 1: Hela, Lane 2: Jurkat. 2. Immunohistochemical analysis of paraffin-embedded human tonsil tissue using anti-CD44 antibody. Counter stained with hematoxylin. 3. Immunohistochemical analysis of paraffin-embedded human colon cancer tissue using anti-CD44 antibody. Counter stained with hematoxylin. 4. Immunohistochemical analysis of paraffin-embedded human spleen tissue using anti-CD44 antibody. Counter stained with hematoxylin. 5. Immunohistochemical analysis of paraffin-embedded human breast carcinoma tissue using anti-CD44 antibody. Counter stained with hematoxylin. 6. Immunohistochemical analysis of paraffin-embedded mouse colon tissue using anti-CD44 antibody. Counter stained with hematoxylin. 7. Flow cytometric analysis of Hela cells with CD44 antibody at 1/50 dilution (red) compared with an unlabelled control (cells without incubation with primary antibody; black). Alexa Fluor 488-conjugated goat anti rabbit IgG was used as the secondary antibody. ![]() ![]() ![]() ![]() ![]() ![]() ![]() |
| Application | |
| Recommended Dose | WB: 1:1000-5000; IHC: 1:50-200; FCM: 1:50-100 |
| Antibody Type | Monoclonal |
| Host Species | Rabbit |
| Construction | Recombinant Antibody |
| Purification | ProA affinity purified |
| Appearance | Liquid |
| Formulation | 1*TBS (pH7.4), 1%BSA, 40%Glycerol. Preservative: 0.05% Sodium Azide. |
| Research Background | Cell adhesion molecules (CAMs) are a family of closely related, cell surface glycoproteins that are involved in cell-cell interactions and are thought to play an important role in embryogenesis and development. HCAM, also known as CD44, LHR, MDU2, MDU3, MIC4, Pgp1, HCELL, MUTCH-I or ECMR-III, is a 742 amino acid single-pass type I membrane protein that is involved in hematopoiesis, lymphocyte activation and tumor metastasis. Functioning as a receptor for hyaluronic acid (HA) and interacting with ligands such as osteopontin (OPN), HCAM mediates both cell-cell and cell-matrix interactions, thereby playing an essential role in cell adhesion and cell migration. HCAM contains one Link domain and, due to alternative splicing events, is expressed as multiple isoforms, some of which are designated CD44R, CDw44, CD44S, CD44H (hematopoietic) and CD44E (epithelial). While most of the HCAM splice varients are expressed in tissues throughout the body, one specific isoform, namely CD44H, is expressed at high levels in cancer tissue, suggesting an important role for the CD44H splice varient in tumor progression. |
| Conjucates | Unconjugated |
| Immunogen | Recombinant Protein |
| Uniprot ID |
| Molecular Weight | Theoretical: 82 kDa. |
| Stability & Storage | Store at -20°C or -80°C for 12 months. Avoid repeated freeze-thaw cycles. |
| Transport | Shipping with blue ice. |
| Size | Quantity | Unit Price | Amount | Operation |
|---|

Copyright © 2015-2026 TargetMol Chemicals Inc. All Rights Reserved.