Shopping Cart
Remove All
Your shopping cart is currently empty
Anti-ASCL2 Polyclonal Antibody is a Rabbit antibody targeting ASCL2. Anti-ASCL2 Polyclonal Antibody can be used in FCM, ICC/IF, IF, IHC-Fr, IHC-P.
| Pack Size | Price | USA Warehouse | Global Warehouse | Quantity |
|---|---|---|---|---|
| 50 μL | $222 | 7-10 days | 7-10 days | |
| 100 μL | $373 | 7-10 days | 7-10 days | |
| 200 μL | $527 | 7-10 days | 7-10 days |
| Description | Anti-ASCL2 Polyclonal Antibody is a Rabbit antibody targeting ASCL2. Anti-ASCL2 Polyclonal Antibody can be used in FCM, ICC/IF, IF, IHC-Fr, IHC-P. |
| Synonyms | mASH-2, mASH2, ASH-2, Ascl2, Achaete-scute homolog 2 |
| Ig Type | IgG |
| Reactivity | Human,Mouse (predicted:Rat,Chicken,Dog,Pig,Cow) |
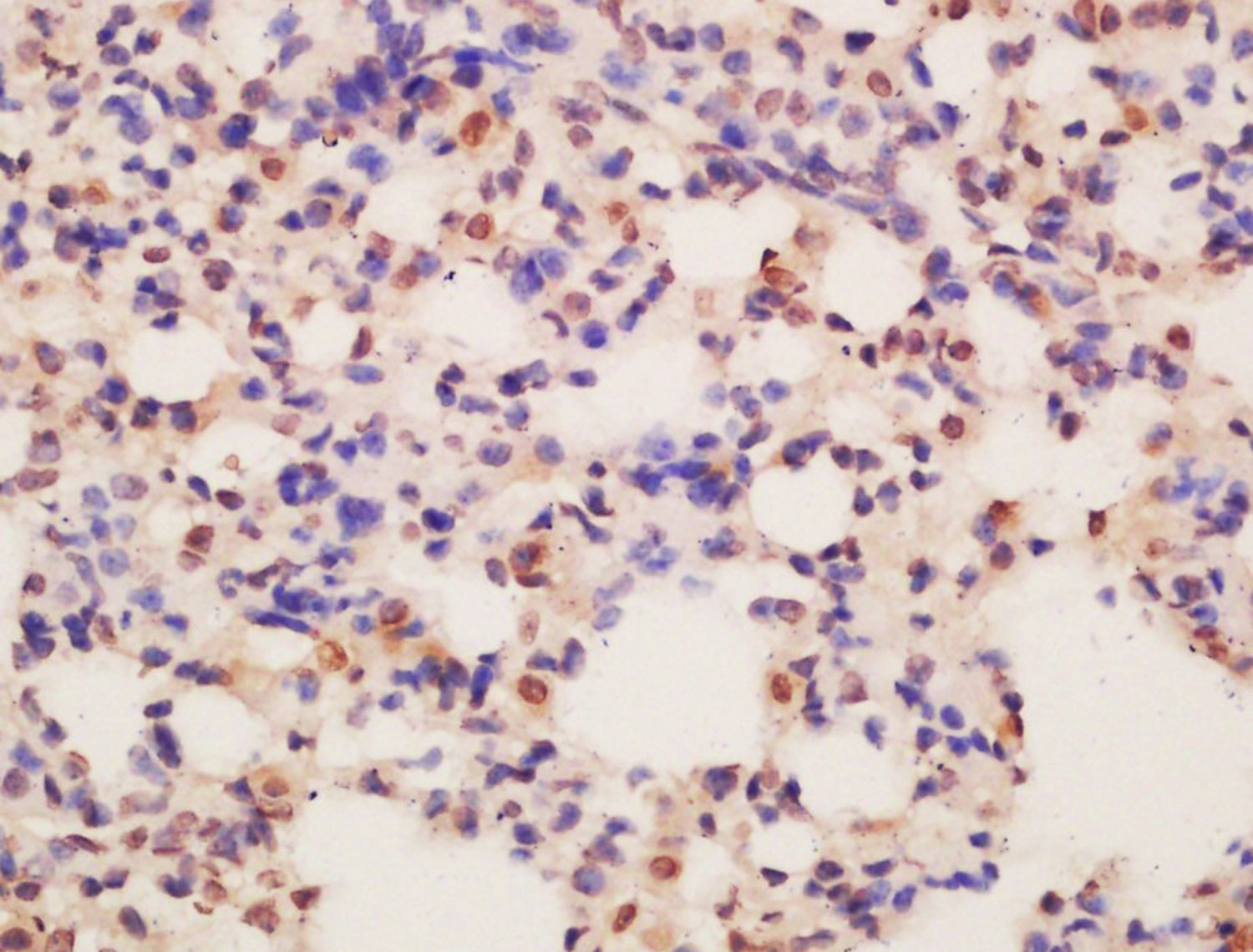
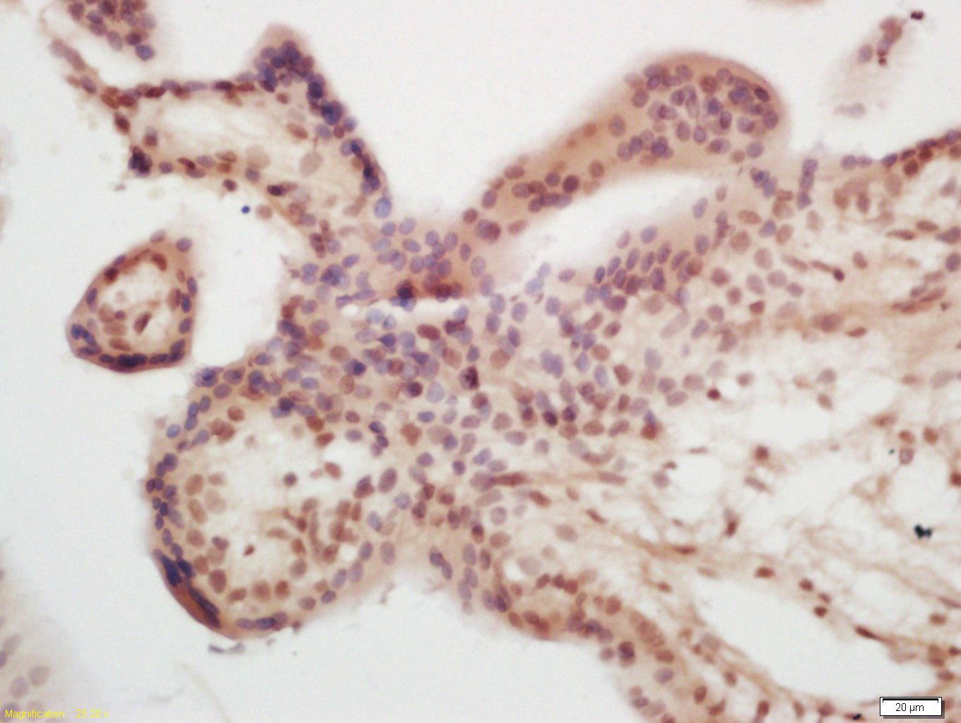
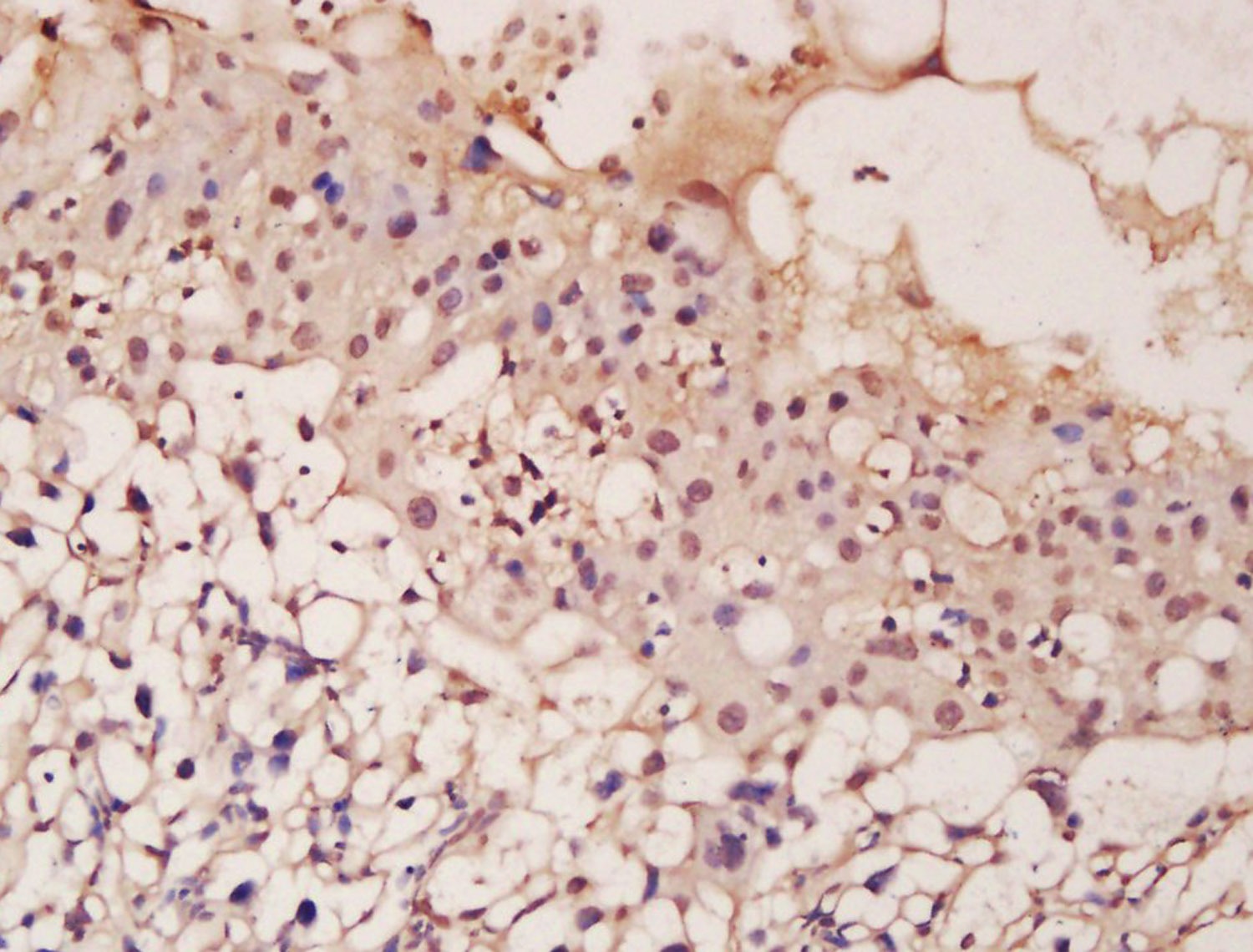
| Verified Activity | 1. MCF7 cell; 4% Paraformaldehyde-fixed; Triton X-100 at room temperature for 20 min; Blocking buffer (normal goat serum) at 37°C for 20 min; Antibody incubation with (ASCL2) polyclonal Antibody, Unconjugated (TMAB-00151) 1:100, 90 minutes at 37°C; followed by a conjugated Goat Anti-Rabbit IgG antibody at 37°C for 90 minutes, DAPI (blue) was used to stain the cell nucleus. 2. Tissue/cell: human placenta tissue; 4% Paraformaldehyde-fixed and paraffin-embedded; Antigen retrieval: citrate buffer (0.01M, pH6.0), Boiling bathing for 15 min; Block endogenous peroxidase by 3% Hydrogen peroxide for 30 min; Blocking buffer (normal goat serum) at 37°C for 20 min; Incubation: Anti-ASCL2 Polyclonal Antibody, Unconjugated (TMAB-00151) 1:200, overnight at 4°C, followed by conjugation to the secondary antibody and DAb staining. 3. Tissue/cell: mouse lung tissue; 4% Paraformaldehyde-fixed and paraffin-embedded; Antigen retrieval: citrate buffer (0.01M, pH6.0), Boiling bathing for 15 min; Block endogenous peroxidase by 3% Hydrogen peroxide for 30 min; Blocking buffer (normal goat serum) at 37°C for 20 min; Incubation: Anti-ASCL2 Polyclonal Antibody, Unconjugated (TMAB-00151) 1:200, overnight at 4°C, followed by conjugation to the secondary antibody and DAb staining. 4. Tissue/cell: mouse placenta tissue; 4% Paraformaldehyde-fixed and paraffin-embedded; Antigen retrieval: citrate buffer (0.01M, pH6.0), Boiling bathing for 15 min; Block endogenous peroxidase by 3% Hydrogen peroxide for 30 min; Blocking buffer (normal goat serum) at 37°C for 20 min; Incubation: Anti-ASCL2 Polyclonal Antibody, Unconjugated (TMAB-00151) 1:200, overnight at 4°C, followed by conjugation to the secondary antibody and DAb staining. 5. Blank control: K562. Primary Antibody (green line): Rabbit Anti-ASCL2 antibody (TMAB-00151) Dilution: 2 μg/10^6 cells; Isotype Control Antibody (orange line): Rabbit IgG. Secondary Antibody: Goat anti-rabbit IgG-PE Dilution: 1 μg/test. Protocol The cells were fixed with 4% PFA (10 min at room temperature) and then permeabilized with 90% ice-cold methanol for 20 min at-20°C. The cells were then incubated in 5% BSA to block non-specific protein-protein interactions for 30 min at room temperature. Cells stained with Primary Antibody for 30 min at room temperature. The secondary antibody used for 40 min at room temperature. ![]() ![]() ![]() ![]() ![]() |
| Application | |
| Recommended Dose | FCM=2 μg/Test; ICC/IF=1:100-500; IF=1:100-500; IHC-Fr=1:100-500; IHC-P=1:100-500 |
| Antibody Type | Polyclonal |
| Host Species | Rabbit |
| Subcellular Localization | Nucleus. |
| Tissue Specificity | Expressed specifically in the extravillous trophoblasts of the developing placenta. |
| Construction | Polyclonal Antibody |
| Purification | Protein A purified |
| Appearance | Liquid |
| Formulation | 0.01M TBS (pH7.4) with 1% BSA, 0.02% Proclin300 and 50% Glycerol. |
| Concentration | 1 mg/mL |
| Research Background | Members of the myogenic determination family are basic helix-loop-helix (bHLH) proteins that can be separated into two classes, both of which work together to activate DNA transcription. Class A proteins include the ubiquitously expressed E-box binding factors, namely E2A, ITF-2 and HEB, while class B proteins, such as MyoD, myogenin and Neuro D (BETA2), are transiently expressed and exhibit a much more limited tissue distribution. Working in opposition to these positively acting factors are a specialized group of basic helix-loop-helix (bHLH) transcription factors that function as dominant negative regulators and are involved in cell lineage determination and differentiation. ASCL2 is a 193 amino acid protein that localizes to the nucleus and contains one bHLH domain. Expressed in developing placental tissue, ASCL2 binds to DNA and functions as a transcriptional regulator that is involved in the maturation of neuronal precursors in the peripheral and central nervous systems. |
| Immunogen | KLH conjugated synthetic peptide: Human ASCL2 |
| Antigen Species | Human |
| Gene Name | ASCL2 |
| Gene ID | |
| Protein Name | Achaete-scute homolog 2 |
| Uniprot ID | |
| Function | AS-C proteins are involved in the determination of the neuronal precursors in the peripheral nervous system and the central nervous system. |
| Molecular Weight | Theoretical: 22 kDa. |
| Stability & Storage | Store at -20°C or -80°C for 12 months. Avoid repeated freeze-thaw cycles. |
| Transport | Shipping with blue ice. |
| Size | Quantity | Unit Price | Amount | Operation |
|---|

Copyright © 2015-2026 TargetMol Chemicals Inc. All Rights Reserved.