Shopping Cart
Remove All
Your shopping cart is currently empty
Anti-ARF1 Antibody (3P306) is a Rabbit antibody targeting ARF1. Anti-ARF1 Antibody (3P306) can be used in FCM,IHC,WB.
| Pack Size | Price | USA Warehouse | Global Warehouse | Quantity |
|---|---|---|---|---|
| 50 μL | $298 | 7-10 days | 7-10 days | |
| 100 μL | $498 | 7-10 days | 7-10 days |
| Description | Anti-ARF1 Antibody (3P306) is a Rabbit antibody targeting ARF1. Anti-ARF1 Antibody (3P306) can be used in FCM,IHC,WB. |
| Synonyms | ARF1, ADP ribosylation factor 1 |
| Ig Type | IgG |
| Clone | 3P306 |
| Reactivity | Human,Mouse,Rat |
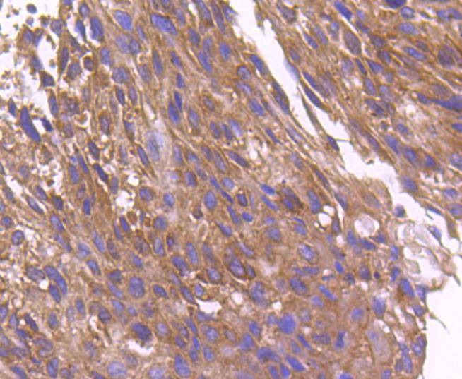
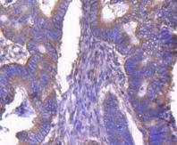
| Verified Activity | 1. Western blot analysis of ARF1 on NIH/3T3 cells lysates using anti-ARF1 antibody at 1/1,000 dilution. 2. Immunohistochemical analysis of paraffin-embedded human colon cancer tissue using anti-ARF1 antibody. Counter stained with hematoxylin. 3. Immunohistochemical analysis of paraffin-embedded human breast carcinoma tissue using anti-ARF1 antibody. Counter stained with hematoxylin. 4. Flow cytometric analysis of Hela cells with ARF1 antibody at 1/50 dilution (red) compared with an unlabelled control (cells without incubation with primary antibody; black). Alexa Fluor 488-conjugated goat anti rabbit IgG was used as the secondary antibody. ![]() ![]() ![]() ![]() |
| Application | |
| Recommended Dose | WB: 1:1000-2000; IHC: 1:50-200; FCM: 1:50-100 |
| Antibody Type | Monoclonal |
| Host Species | Rabbit |
| Construction | Recombinant Antibody |
| Purification | ProA affinity purified |
| Appearance | Liquid |
| Formulation | 1*TBS (pH7.4), 1%BSA, 40%Glycerol. Preservative: 0.05% Sodium Azide. |
| Research Background | ADP-ribosylation factors (ARFs), are small guanine nucleotide-binding proteins that enhance the enzymatic activities of cholera toxin, and constitute one family of the RAS superfamily. ARFs are essential and ubiquitous in eukaryotes, as they are involved in vesicular transport and functioning via phospholipase D activation. ARF proteins play a role in membrane traffic and organelle integrity and are intimately tied to their reversible association with membranes and distinct interactions with membrane phospholipids. ARF1 is regulated by the binding and hydrolysis of GTP. Coatomer, or COPI, is a heptameric protein recruited to membranes by ARF1. Research demonstrates that guanine nucleotide exchange-activated ARF1, when located at the Golgi membrane, recruits and binds cytoplasmic COPI to the membranes. |
| Conjucates | Unconjugated |
| Immunogen | Recombinant Protein |
| Uniprot ID |
| Molecular Weight | Theoretical: 21 kDa. |
| Stability & Storage | Store at -20°C or -80°C for 12 months. Avoid repeated freeze-thaw cycles. |
| Transport | Shipping with blue ice. |
| Size | Quantity | Unit Price | Amount | Operation |
|---|

Copyright © 2015-2026 TargetMol Chemicals Inc. All Rights Reserved.