Shopping Cart
Remove All
Your shopping cart is currently empty
Anti-APCDD1 Polyclonal Antibody is a Rabbit antibody targeting APCDD1. Anti-APCDD1 Polyclonal Antibody can be used in IF,IHC-Fr,IHC-P,WB.
| Pack Size | Price | USA Stock | Global Stock | Quantity |
|---|---|---|---|---|
| 50 μL | $222 | 7-10 days | 7-10 days | |
| 100 μL | $374 | 7-10 days | 7-10 days | |
| 200 μL | $528 | 7-10 days | 7-10 days |
| Description | Anti-APCDD1 Polyclonal Antibody is a Rabbit antibody targeting APCDD1. Anti-APCDD1 Polyclonal Antibody can be used in IF,IHC-Fr,IHC-P,WB. |
| Synonyms | HYPT1, HTS, HHS, FP7019, Drapc1, B7323, Apcdd1 |
| Ig Type | IgG |
| Reactivity | Human (predicted:Mouse,Rat,Chicken,Dog,Rabbit) |
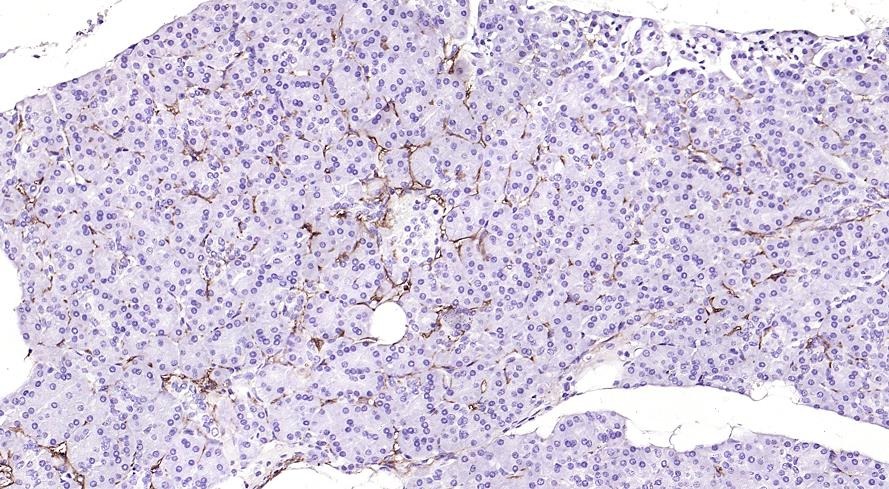
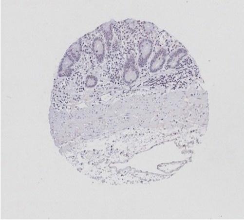
| Verified Activity | 1. Formalin-fixed and paraffin embedded human stomach labeled with Rabbit Anti-APCDD1 Polyclonal Antibody (TMAB-00127) at 1:250 room temperature overnight followed by conjugation to secondary antibody. 2. Sample: DU145 Cell (Human) Lysate at 40 μg Primary: Anti-APCDD1 (TMAB-00127) at 1/300 dilution Secondary: IRDye800CW Goat Anti-Rabbit IgG at 1/20000 dilution Predicted band size: 56 kDa Observed band size: 56 kDa 3. Paraformaldehyde-fixed, paraffin embedded (Human pancreas); Antigen retrieval by boiling in sodium citrate buffer (pH6.0) for 15 min; Block endogenous peroxidase by 3% hydrogen peroxide for 20 min; Blocking buffer (normal goat serum) at 37°C for 30 min; Antibody incubation with (APCDD1) Polyclonal Antibody, Unconjugated (TMAB-00127) at 1:200 overnight at 4°C, followed by operating according to SP Kit (Rabbit) instructionsand DAB staining. ![]() ![]() ![]() |
| Application | |
| Recommended Dose | WB: 1:500-2000; IHC-P: 1:100-500; IHC-Fr: 1:100-500; IF: 1:100-500 |
| Antibody Type | Polyclonal |
| Host Species | Rabbit |
| Subcellular Localization | Cell membrane; Single-pass type I membrane protein. |
| Tissue Specificity | Abundantly expressed in heart, pancreas, prostate and ovary. Moderately expressed in lung, liver, kidney, spleen, thymus, colon and peripheral lymphocytes. Abundantly expressed in both the epidermal and dermal compartments of the hair follicle. Present in |
| Construction | Polyclonal Antibody |
| Purification | Protein A purified |
| Appearance | Liquid |
| Formulation | 0.01M TBS (pH7.4) with 1% BSA, 0.02% Proclin300 and 50% Glycerol. |
| Concentration | 1 mg/mL |
| Research Background | APCDD1 is a novel protein that has been shown to be a target of Wnt/beta catenin signaling pathway in cancer cell lines. APCDD1 is overexpressed in colorectal carcinogenesis and is deregulated in CTNNB1 mutated Wilms tumors. [FUNCTION] Probably plays a role in colorectal tumorigenesis. May be a developmental target gene of the Wnt/Beta-catenin pathway. [SUBCELLULAR LOCATION] Membrane; Single-pass type I membrane protein (Potential). [TISSUE SPECIFICITY] Abundantly expressed in heart, pancreas, prostate and ovary. Moderately expressed in lung, liver, kidney, spleen, thymus, colon and peripheral lymphocytes. [INDUCTION] Transcriptionally regulated by the CTNNB1/TF7L2complex. |
| Immunogen | KLH conjugated synthetic peptide: human APCDD1 |
| Antigen Species | Human |
| Gene Name | APCDD1 |
| Gene ID | |
| Protein Name | Protein APCDD1 |
| Uniprot ID | |
| Biology Area | Signal transduction,Surface Molecules |
| Function | Negative regulator of the Wnt signaling pathway. Inhibits Wnt signaling in a cell-autonomous manner and functions upstream of beta-catenin. May act via its interaction with Wnt and LRP proteins. May play a role in colorectal tumorigenesis. |
| Molecular Weight | Theoretical: 56 kDa. Actual: 56 kDa. |
| Stability & Storage | Store at -20°C or -80°C for 12 months. Avoid repeated freeze-thaw cycles. |
| Transport | Shipping with blue ice. |
| Size | Quantity | Unit Price | Amount | Operation |
|---|

Copyright © 2015-2026 TargetMol Chemicals Inc. All Rights Reserved.