Shopping Cart
Remove All
Your shopping cart is currently empty
Anti-ABCC1 Antibody (2I585) is a Rabbit antibody targeting ABCC1. Anti-ABCC1 Antibody (2I585) can be used in FCM,IHC,WB.
| Pack Size | Price | USA Warehouse | Global Warehouse | Quantity |
|---|---|---|---|---|
| 50 μL | $296 | 7-10 days | 7-10 days | |
| 100 μL | $497 | 7-10 days | 7-10 days |
| Description | Anti-ABCC1 Antibody (2I585) is a Rabbit antibody targeting ABCC1. Anti-ABCC1 Antibody (2I585) can be used in FCM,IHC,WB. |
| Synonyms | Multidrug resistance-associated protein 1, MRP1, MRP, Leukotriene C(4) transporter (LTC4 transporter), Glutathione-S-conjugate-translocating ATPase ABCC1, ATP-binding cassette sub-family C member 1, ABCC1 |
| Ig Type | IgG |
| Clone | 2I585 |
| Reactivity | Human |
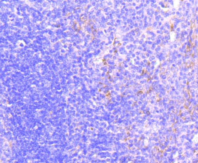
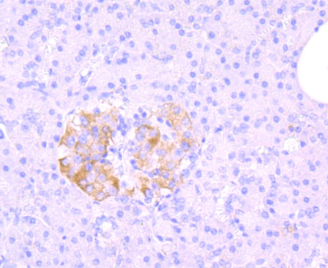
| Verified Activity | 1. Immunohistochemical analysis of paraffin-embedded human pancreas tissue using anti-MRP1 antibody. Counter stained with hematoxylin. 2. Immunohistochemical analysis of paraffin-embedded human tonsil tissue using anti-MRP1 antibody. Counter stained with hematoxylin. 3. Flow cytometric analysis of Hela cells with MRP1 antibody at 1/100 dilution (red) compared with an unlabelled control (cells without incubation with primary antibody; black). ![]() ![]() ![]() |
| Application | |
| Recommended Dose | WB: 1:500; IHC: 1:50-200 |
| Antibody Type | Monoclonal |
| Host Species | Rabbit |
| Construction | Recombinant Antibody |
| Purification | ProA affinity purified |
| Appearance | Liquid |
| Formulation | 1*TBS (pH7.4), 1%BSA, 40%Glycerol. Preservative: 0.05% Sodium Azide. |
| Research Background | The two members of the large family of ABC transporters known to confer multidrug resistance in human cancer cells are the Mdr-1 P-glycoprotein and the multidrug-resistance protein MRP1. MRP1 is an integral membrane protein that contains an Mdr-like core, an N-terminal membrane-bound region and a cytoplasmic linker, and it is expressed in various cerebral cells, as well as in lung, testis and peripheral blood. The MRP gene family also includes MRP2, which is alternatively designated cMOAT (for canalicular multispecific organic anion transporter) and MRP3, which are both conjugate export pumps expressed predominantly in hepatocytes. MRP2 localizes exclusively to the apical membrane and is constitutively expressed at a high level in normal liver cells. Conversely, MRP3 localizes to the basolateral membrane where it also mediates the transport of the organic anion S-(2,4-dinitrophenyl-) glutathione toward the basolateral side of the membrane. MRP3 is normally expressed at comparatively lower levels than MRP2 and increases only when secretion across the apical membrane by MRP2 is impaired. MRP6 protein is highly expressed in liver and kidney, whereas MRP4 and MRP5 are detected in various tissues yet at much lower levels of expression. |
| Conjucates | Unconjugated |
| Immunogen | Recombinant Protein |
| Uniprot ID |
| Molecular Weight | Theoretical: 171 kDa. |
| Stability & Storage | Store at -20°C or -80°C for 12 months. Avoid repeated freeze-thaw cycles. |
| Transport | Shipping with blue ice. |
| Size | Quantity | Unit Price | Amount | Operation |
|---|

Copyright © 2015-2026 TargetMol Chemicals Inc. All Rights Reserved.