Shopping Cart
Remove All
Your shopping cart is currently empty
Anti-4-1BB/CD137/TNFRSF9 Antibody (9T808) is a Mouse antibody targeting 4-1BB/CD137/TNFRSF9. Anti-4-1BB/CD137/TNFRSF9 Antibody (9T808) can be used in FCM,ICC,IHC,WB.
| Pack Size | Price | USA Warehouse | Global Warehouse | Quantity |
|---|---|---|---|---|
| 50 μL | $298 | 7-10 days | 7-10 days | |
| 100 μL | $426 | 7-10 days | 7-10 days |
| Description | Anti-4-1BB/CD137/TNFRSF9 Antibody (9T808) is a Mouse antibody targeting 4-1BB/CD137/TNFRSF9. Anti-4-1BB/CD137/TNFRSF9 Antibody (9T808) can be used in FCM,ICC,IHC,WB. |
| Synonyms | TNFRSF9, T cell antigen ILA, ILA, FLJ43501, CDw137, CD137, 4-1BB ligand receptor, 4-1BB, 41BB |
| Clone | 9T808 |
| Reactivity | Human,Mouse,Rat |
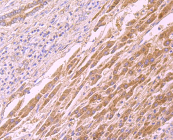
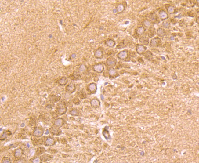
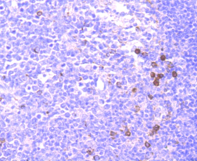
| Verified Activity | 1. Western blot analysis of CD137 on HepG2 cell lysate using anti-CD137 antibody at 1/500 dilution. 2. Immunohistochemical analysis of paraffin-embedded rat brain tissue using anti-CD137 antibody. Counter stained with hematoxylin. 3. Immunohistochemical analysis of paraffin-embedded rat hippocampus tissue using anti-CD137 antibody. Counter stained with hematoxylin. 4. Immunohistochemical analysis of paraffin-embedded human tonsil tissue using anti-CD137 antibody. Counter stained with hematoxylin. 5. Immunohistochemical analysis of paraffin-embedded human liver cancer tissue using anti-CD137 antibody. Counter stained with hematoxylin. 6. Immunohistochemical analysis of paraffin-embedded mouse brain tissue using anti-CD137 antibody. Counter stained with hematoxylin. 7. ICC staining CD137 (green) in A431 cells. The nuclear counter stain is DAPI (blue). Cells were fixed in paraformaldehyde, permeabilised with 0.25% Triton X100/PBS. 8. ICC staining CD137 (green) in A549 cells. The nuclear counter stain is DAPI (blue). Cells were fixed in paraformaldehyde, permeabilised with 0.25% Triton X100/PBS. 9. ICC staining CD137 (green) in LOVO cells. The nuclear counter stain is DAPI (blue). Cells were fixed in paraformaldehyde, permeabilised with 0.25% Triton X100/PBS. 10. Flow cytometric analysis of Jurkat cells with CD137 antibody at 1/100 dilution (red) compared with an unlabelled control (cells without incubation with primary antibody; black). ![]() ![]() ![]() ![]() ![]() ![]() ![]() ![]() ![]() ![]() |
| Application | |
| Recommended Dose | WB: 1:500; IHC: 1:50-200; ICC: 1:100-500; FCM: 1:50-200 |
| Antibody Type | Monoclonal |
| Host Species | Mouse |
| Construction | Hybridoma Monoclonal Antibody |
| Purification | ProA affinity purified |
| Appearance | Liquid |
| Formulation | 1*TBS (pH7.4), 0.5%BSA, 50%Glycerol. Preservative: 0.05% Sodium Azide. |
| Research Background | CD137, also designated ILA and 4-1BB in mouse, belongs to the tumor necrosis factor receptor family and delivers a costimulatory signal to T lymphocytes. CD137 is expressed on activated T cells and binds an inducible ligand that is found on B cells, macrophages, and dendritic cells. Interactions between CD137 and its ligand are involved in antigen presentation and the generation of cytotoxic T cells. Crosslinking of the CD137 ligand induces apoptosis in resting lymphocytes. In contrast, CD137 regulates peripheral monocyte survival by inducing a cytokine release profile, and is mediated by M-CSF and to a lesser extent by granulocyte-macrophage colony-stimulating factor and IL-3. Soluble forms of CD137 are found in sera from patients with rheumatoid arthritis and may provide a negative control mechanism for immune responses. |
| Conjucates | Unconjugated |
| Immunogen | Recombinant Protein |
| Uniprot ID |
| Molecular Weight | Theoretical: 35 kDa. |
| Stability & Storage | Store at -20°C or -80°C for 12 months. Avoid repeated freeze-thaw cycles. |
| Transport | Shipping with blue ice. |
| Size | Quantity | Unit Price | Amount | Operation |
|---|

Copyright © 2015-2026 TargetMol Chemicals Inc. All Rights Reserved.