Shopping Cart
Remove All
Your shopping cart is currently empty
Anti-14-3-3 epsilon Antibody (5E440) is a Rabbit antibody targeting 14-3-3 epsilon. Anti-14-3-3 epsilon Antibody (5E440) can be used in FCM,ICC/IF,IHC,WB.
| Pack Size | Price | USA Warehouse | Global Warehouse | Quantity |
|---|---|---|---|---|
| 50 μL | $297 | 7-10 days | 7-10 days | |
| 100 μL | $496 | 7-10 days | 7-10 days |
| Description | Anti-14-3-3 epsilon Antibody (5E440) is a Rabbit antibody targeting 14-3-3 epsilon. Anti-14-3-3 epsilon Antibody (5E440) can be used in FCM,ICC/IF,IHC,WB. |
| Synonyms | tyrosine 3-monooxygenase/tryptophan 5-monooxygenase activation protein, ε, tyrosine 3-monooxygenase/tryptophan 5-monooxygenase activation protein, epsilon, MDS, MDCR, KCIP-1, HEL2, 14-3-3E, 14-3-3 ε |
| Ig Type | IgG |
| Clone | 5E440 |
| Reactivity | Human,Mouse,Rat |
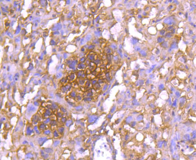
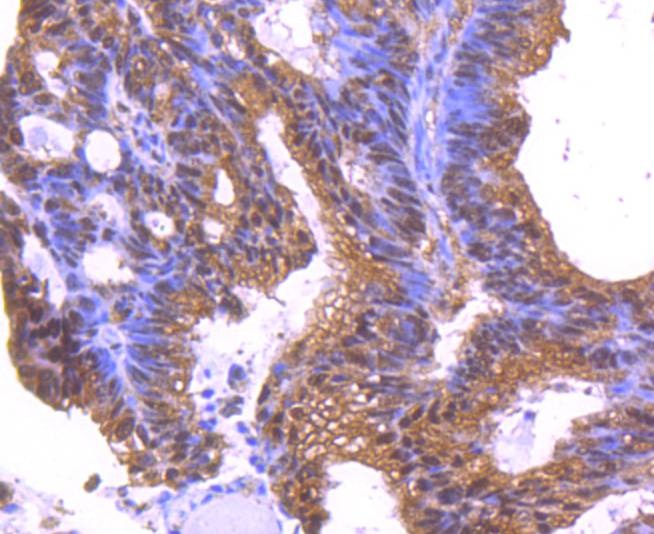
| Verified Activity | 1. Western blot analysis of 14-3-3 epsilon on different lysates using anti-14-3-3 epsilon antibody at 1/1,000 dilution. Positive control: Lane 1: SH-SY-5Y, Lane 2: 293T. 2. Immunohistochemical analysis of paraffin-embedded mouse placenta tissue using anti-14-3-3 epsilon antibody. Counter stained with hematoxylin. 3. Immunohistochemical analysis of paraffin-embedded human colon cancer tissue using anti-14-3-3 epsilon antibody. Counter stained with hematoxylin. 4. ICC staining 14-3-3 epsilon in Hela cells (green). The nuclear counter stain is DAPI (blue). Cells were fixed in paraformaldehyde, permeabilised with 0.25% Triton X100/PBS. 5. ICC staining 14-3-3 epsilon in SH-SY-5Y cells (green). The nuclear counter stain is DAPI (blue). Cells were fixed in paraformaldehyde, permeabilised with 0.25% Triton X100/PBS. 6. ICC staining 14-3-3 epsilon in NIH/3T3 cells (green). The nuclear counter stain is DAPI (blue). Cells were fixed in paraformaldehyde, permeabilised with 0.25% Triton X100/PBS. 7. Flow cytometric analysis of SH-SY-5Y cells with 14-3-3 epsilon antibody at 1/50 dilution (red) compared with an unlabelled control (cells without incubation with primary antibody; black). Alexa Fluor 488-conjugated goat anti rabbit IgG was used as the secondary antibody. ![]() ![]() ![]() ![]() ![]() ![]() ![]() |
| Application | |
| Recommended Dose | WB: 1:1000-2000; IHC: 1:50-200; ICC/IF: 1:50-200; FCM: 1:10-100 |
| Antibody Type | Monoclonal |
| Host Species | Rabbit |
| Construction | Recombinant Antibody |
| Purification | ProA affinity purified |
| Appearance | Liquid |
| Formulation | 1*TBS (pH7.4), 1%BSA, 40%Glycerol. Preservative: 0.05% Sodium Azide. |
| Research Background | The 14-3-3 family of proteins plays a key regulatory role in signal transduction, checkpoint control, apoptotic and nutrient-sensing pathways. 14-3-3 proteins are highly conserved and ubiquitously expressed. There are at least seven isoforms, β, γ, ε, ??, ζ, ?? and η that have been identified in mammals. The 14-3-3 epsilon, a subtype of the 14-3-3 family of proteins, was thought to be brain and neuron-specific. It has been shown to interact with CDC25 phosphatases, RAF1 and IRS1 proteins, suggesting its role in diverse biochemical activities related to signal transduction, such as cell division and regulation of insulin sensitivity. It has also been implicated in the pathogenesis of small cell lung cancer. |
| Conjucates | Unconjugated |
| Immunogen | Recombinant Protein |
| Uniprot ID |
| Molecular Weight | Theoretical: 29 kDa. |
| Stability & Storage | Store at -20°C or -80°C for 12 months. Avoid repeated freeze-thaw cycles. |
| Transport | Shipping with blue ice. |
| Size | Quantity | Unit Price | Amount | Operation |
|---|

Copyright © 2015-2026 TargetMol Chemicals Inc. All Rights Reserved.