Shopping Cart
Remove All
Your shopping cart is currently empty
Goat Anti-Mouse IgG H&L Secondary Antibody-Biotin is a Biotin-conjugated Goat antibody targeting IgG H&L. Goat Anti-Mouse IgG H&L Secondary Antibody-Biotin can be used in ELISA,ICC/IF,IF,IHC-F,IHC-P,WB.
| Pack Size | Price | USA Warehouse | Global Warehouse | Quantity |
|---|---|---|---|---|
| 100 μL | $175 | 7-10 days | 7-10 days | |
| 1 mL | $1,190 | 7-10 days | 7-10 days |
| Description | Goat Anti-Mouse IgG H&L Secondary Antibody-Biotin is a Biotin-conjugated Goat antibody targeting IgG H&L. Goat Anti-Mouse IgG H&L Secondary Antibody-Biotin can be used in ELISA,ICC/IF,IF,IHC-F,IHC-P,WB. |
| Synonyms | Immunoglobulin G, Goat Anti-Mouse IgG H&L (Biotin) |
| Ig Type | IgG |
| Reactivity | Mouse |
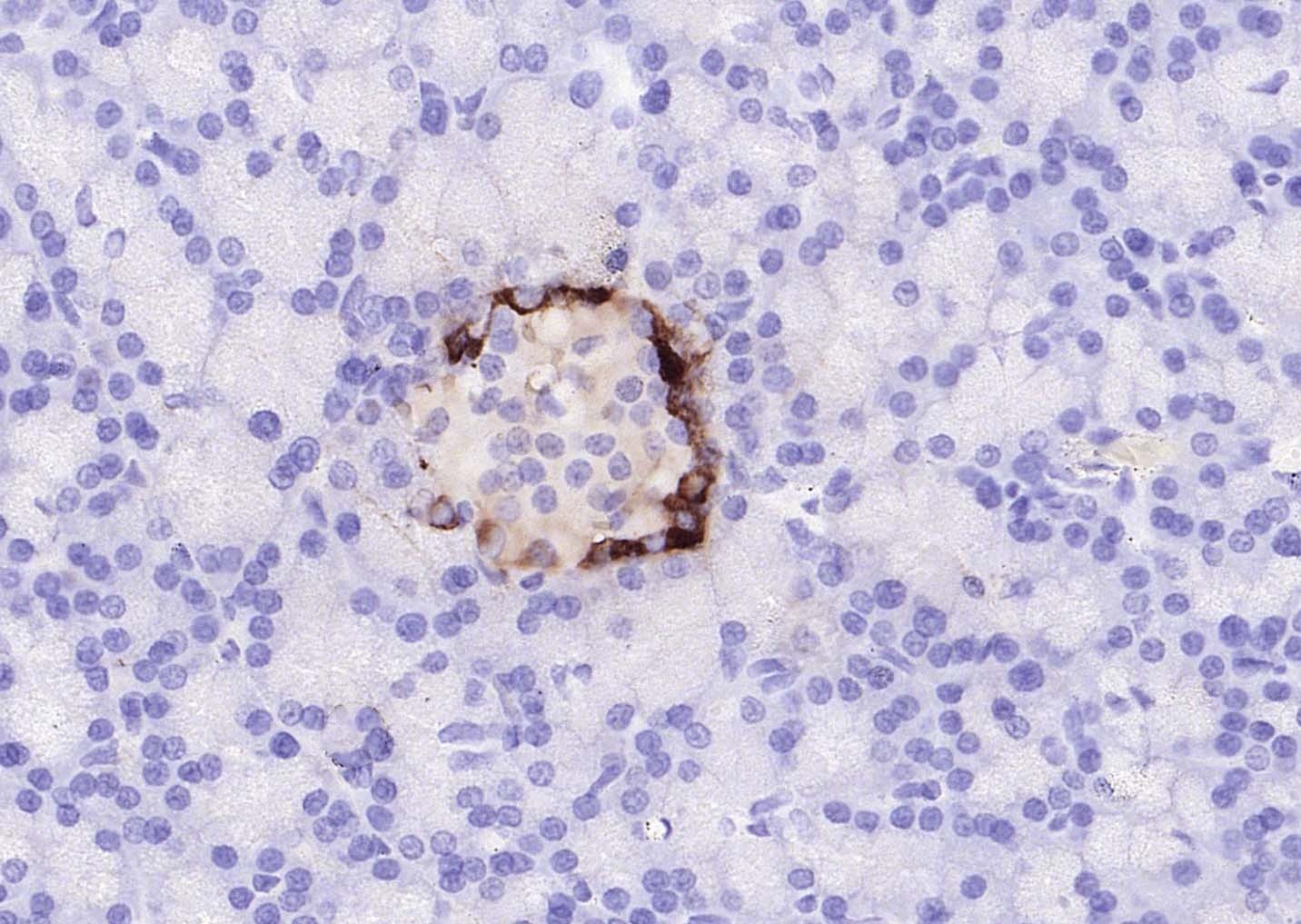
| Verified Activity | 1. Paraformaldehyde-fixed, paraffin embedded (mouse pancreas); Antigen retrieval by boiling in sodium citrate buffer (pH6.0) for 15 min; Block endogenous peroxidase by 3% hydrogen peroxide for 20 minutes; Blocking buffer (normal goat serum) at 37°C for 30 min; Antibody incubation with (GLP-1) Monoclonal Antibody, Unconjugated at 1:200 overnight at 4°C, followed by operating according to SP Kit (Mouse) (TMAB-02010B 1:1000) instructionsand DAB staining.
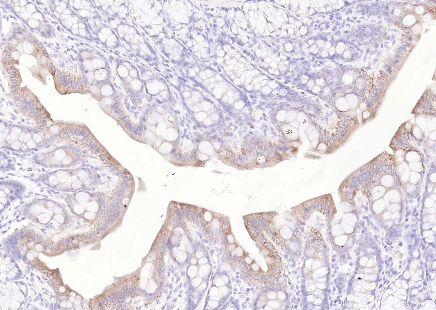
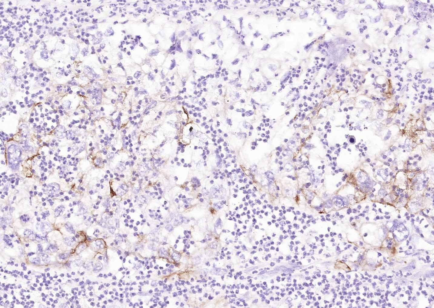
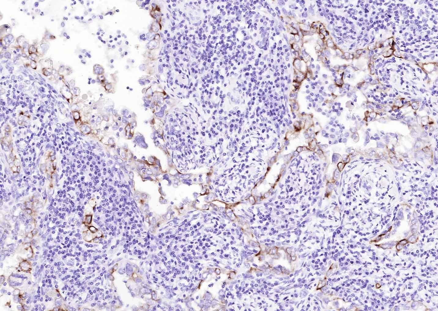
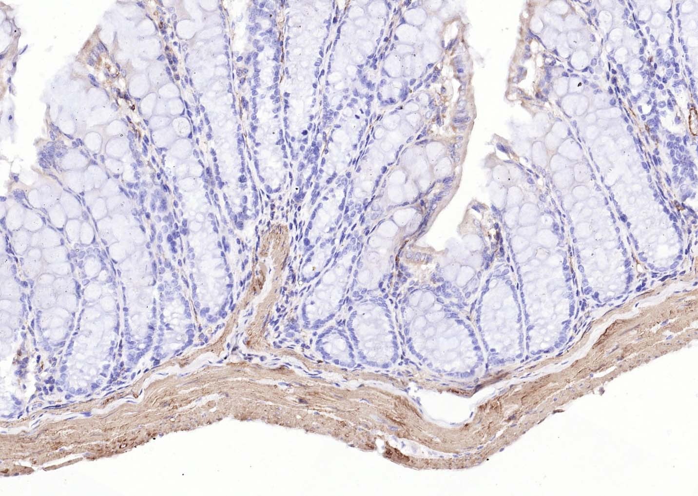
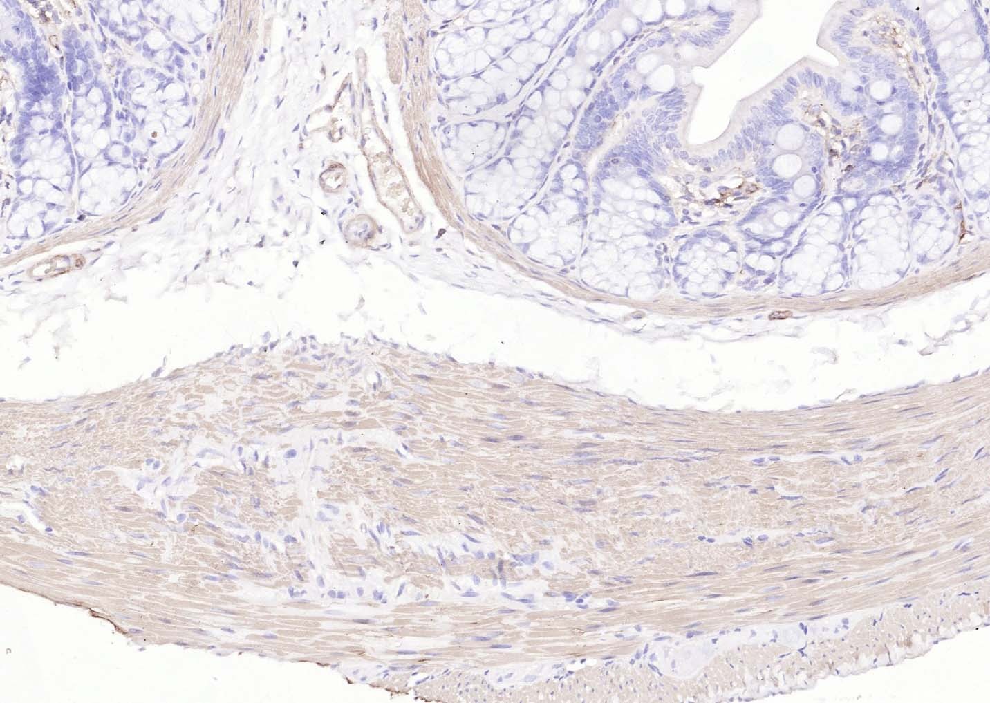
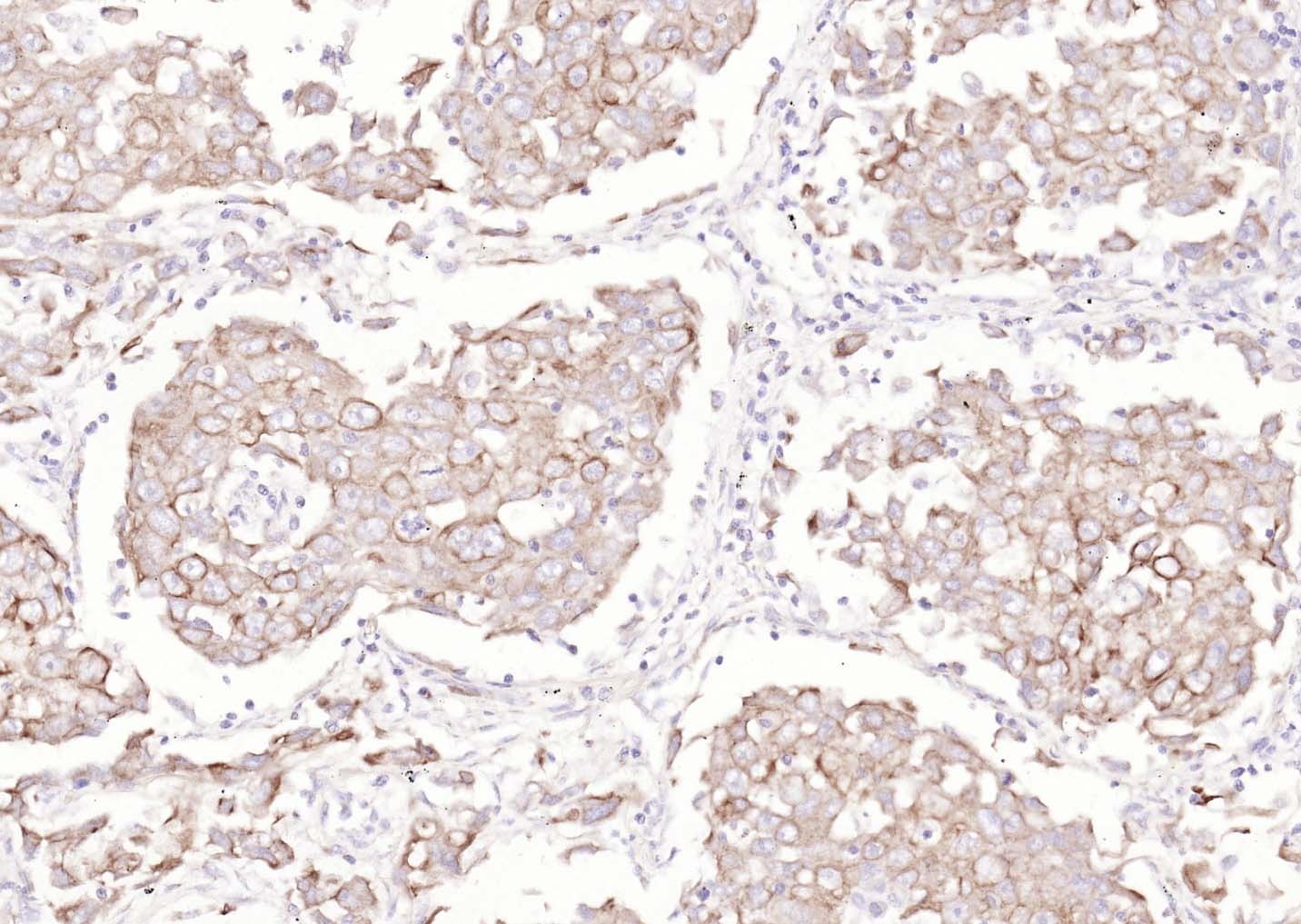
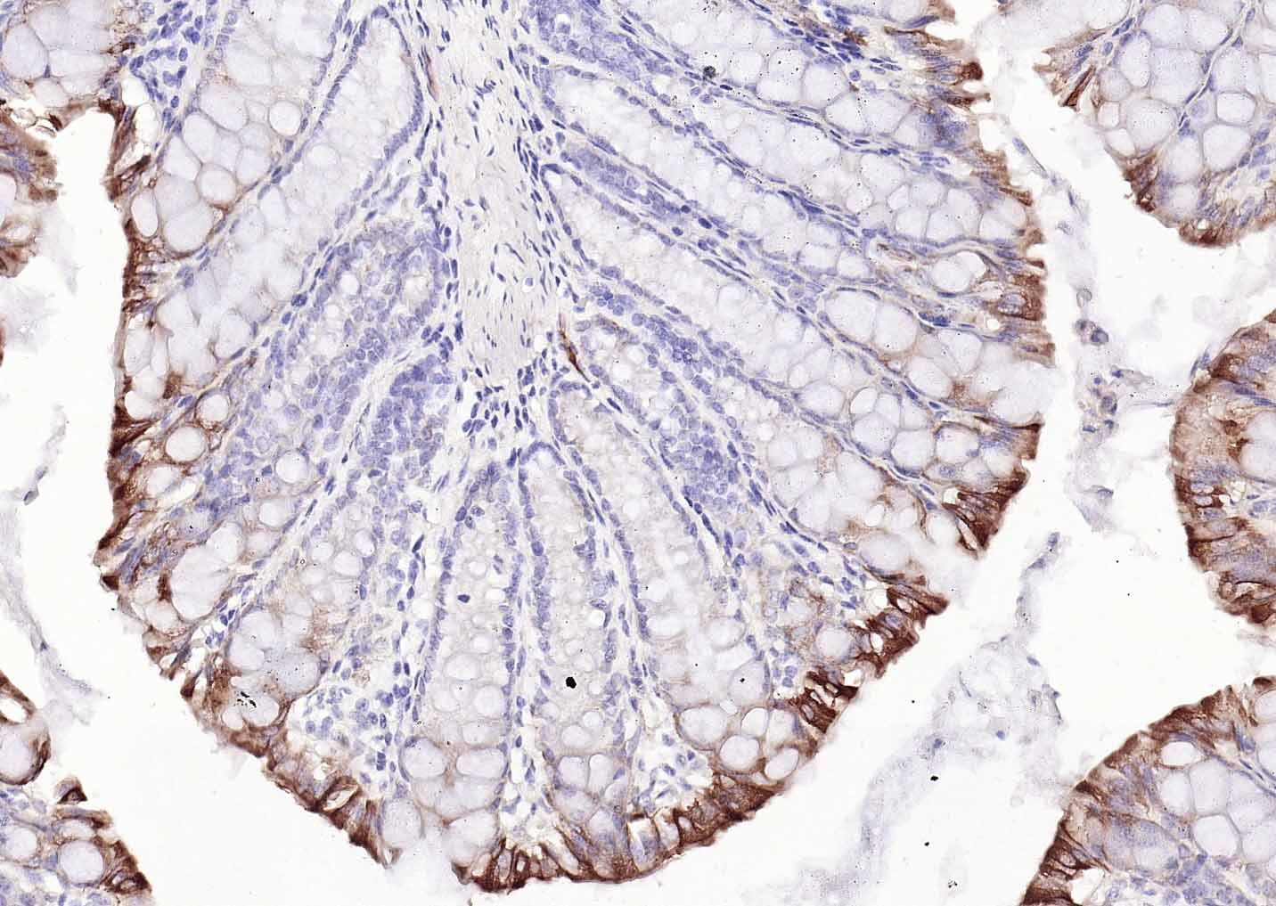
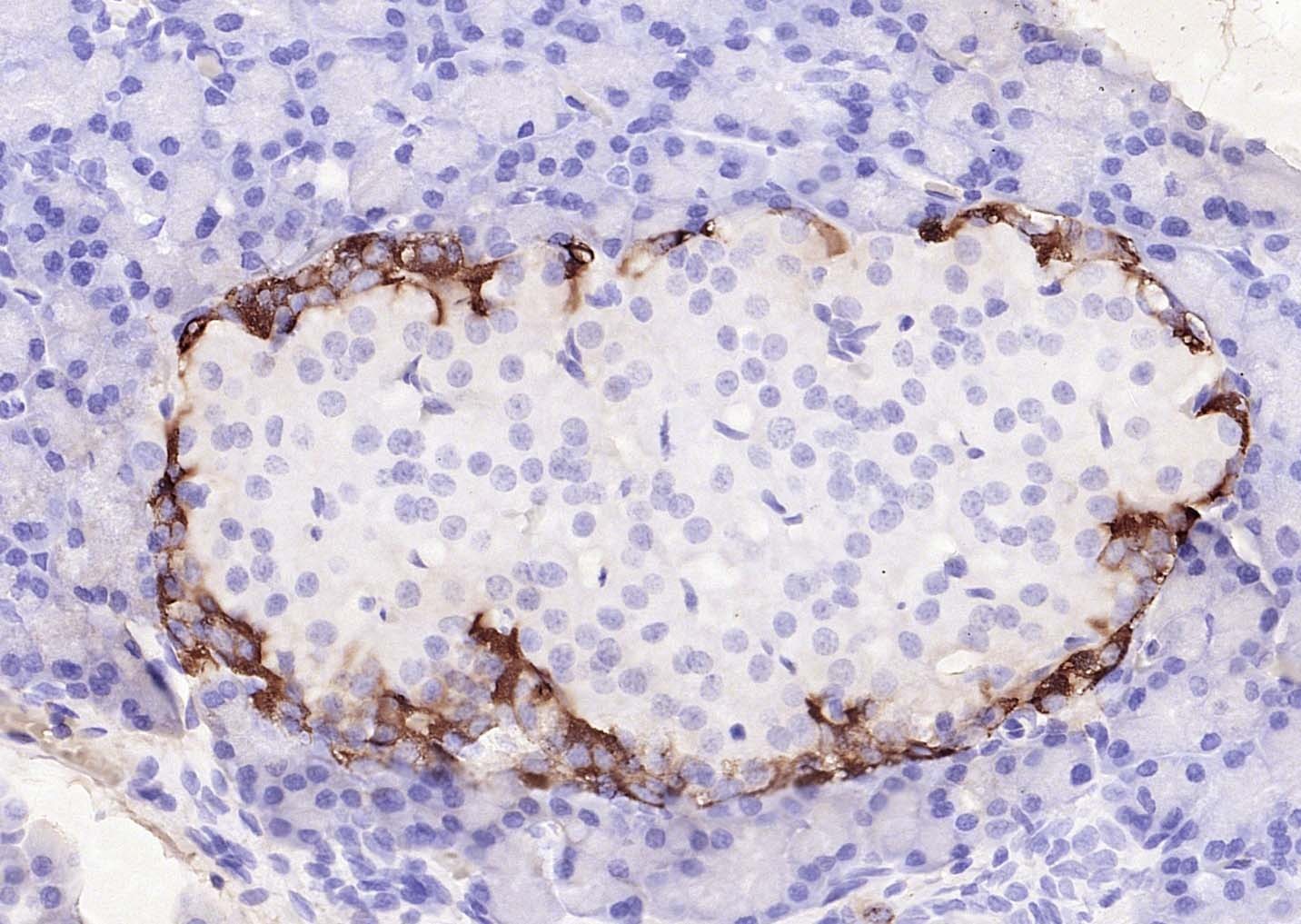
2. Paraformaldehyde-fixed, paraffin embedded (mouse colon); Antigen retrieval by boiling in sodium citrate buffer (pH6.0) for 15 min; Block endogenous peroxidase by 3% hydrogen peroxide for 20 minutes; Blocking buffer (normal goat serum) at 37°C for 30 min; Antibody incubation with (Cytokeratin 8) Monoclonal Antibody, Unconjugated at 1:200 overnight at 4°C, followed by operating according to SP Kit (Mouse) (TMAB-02010B 1:2000) instructionsand DAB staining. 3. Paraformaldehyde-fixed, paraffin embedded (rat colon); Antigen retrieval by boiling in sodium citrate buffer (pH6.0) for 15 min; Block endogenous peroxidase by 3% hydrogen peroxide for 20 minutes; Blocking buffer (normal goat serum) at 37°C for 30 min; Antibody incubation with (Cytokeratin 8) Monoclonal Antibody, Unconjugated at 1:200 overnight at 4°C, followed by operating according to SP Kit (Mouse) (TMAB-02010B 1:2000) instructionsand DAB staining. 4. Paraformaldehyde-fixed, paraffin embedded (human lung carcinoma); Antigen retrieval by boiling in sodium citrate buffer (pH6.0) for 15 min; Block endogenous peroxidase by 3% hydrogen peroxide for 20 minutes; Blocking buffer (normal goat serum) at 37°C for 30 min; Antibody incubation with (Cytokeratin 8) Monoclonal Antibody, Unconjugated at 1:200 overnight at 4°C, followed by operating according to SP Kit (Mouse) (TMAB-02010B 1:1000) instructionsand DAB staining. 5. Paraformaldehyde-fixed, paraffin embedded (human cervical carcinoma); Antigen retrieval by boiling in sodium citrate buffer (pH6.0) for 15 min; Block endogenous peroxidase by 3% hydrogen peroxide for 20 minutes; Blocking buffer (normal goat serum) at 37°C for 30 min; Antibody incubation with (Cytokeratin 8) Monoclonal Antibody, Unconjugated at 1:200 overnight at 4°C, followed by operating according to SP Kit (Mouse) (TMAB-02010B 1:500) instructionsand DAB staining. 6. Paraformaldehyde-fixed, paraffin embedded (human gastric carcinoma); Antigen retrieval by boiling in sodium citrate buffer (pH6.0) for 15 min; Block endogenous peroxidase by 3% hydrogen peroxide for 20 minutes; Blocking buffer (normal goat serum) at 37°C for 30 min; Antibody incubation with (Cytokeratin 8) Monoclonal Antibody, Unconjugated at 1:200 overnight at 4°C, followed by operating according to SP Kit (Mouse) (TMAB-02010B 1:2000) instructionsand DAB staining. 7. Paraformaldehyde-fixed, paraffin embedded (mouse colon); Antigen retrieval by boiling in sodium citrate buffer (pH6.0) for 15 min; Block endogenous peroxidase by 3% hydrogen peroxide for 20 minutes; Blocking buffer (normal goat serum) at 37°C for 30 min; Antibody incubation with (alpha smooth muscle Actin) Monoclonal Antibody, Unconjugated at 1:200 overnight at 4°C, followed by operating according to SP Kit (Mouse) (TMAB-02010B 1:500) instructionsand DAB staining. 8. Paraformaldehyde-fixed, paraffin embedded (rat colon); Antigen retrieval by boiling in sodium citrate buffer (pH6.0) for 15 min; Block endogenous peroxidase by 3% hydrogen peroxide for 20 minutes; Blocking buffer (normal goat serum) at 37°C for 30 min; Antibody incubation with (alpha smooth muscle Actin) Monoclonal Antibody, Unconjugated at 1:200 overnight at 4°C, followed by operating according to SP Kit (Mouse) (TMAB-02010B 1:500) instructionsand DAB staining. 9. Paraformaldehyde-fixed, paraffin embedded (rat pancreas); Antigen retrieval by boiling in sodium citrate buffer (pH6.0) for 15 min; Block endogenous peroxidase by 3% hydrogen peroxide for 20 minutes; Blocking buffer (normal goat serum) at 37°C for 30 min; Antibody incubation with (GLP-1) Monoclonal Antibody, Unconjugated at 1:200 overnight at 4°C, followed by operating according to SP Kit (Mouse) (TMAB-02010B 1:1000) instructionsand DAB staining. 10. Paraformaldehyde-fixed, paraffin embedded (human endometrial carcinoma); Antigen retrieval by boiling in sodium citrate buffer (pH6.0) for 15 min; Block endogenous peroxidase by 3% hydrogen peroxide for 20 minutes; Blocking buffer (normal goat serum) at 37°C for 30 min; Antibody incubation with (CK7) Monoclonal Antibody, Unconjugated at 1:200 overnight at 4°C, followed by operating according to SP Kit (Mouse) (TMAB-02010B 1:500) instructionsand DAB staining. ![]() ![]() ![]() ![]() ![]() ![]() ![]() ![]() ![]() ![]() |
| Application | |
| Recommended Dose | WB: 1:2000-20000; IHC-P: 1:200-1000; IHC-F: 1:200-1000; ELISA: 1:2000-20000; ICC/IF: 1:100-1000; IF: 1:100-1000; FCM: 1:100-1000 |
| Antibody Type | Polyclonal |
| Host Species | Goat |
| Construction | Polyclonal Antibody |
| Purification | Affinity purified by Protein G, nonspecific adsorbed |
| Appearance | Liquid |
| Formulation | 10 mM TBS (pH=7.4) with 1% BSA, 0.03% Proclin300 and 50% glycerol. |
| Concentration | 2.0 mg/ml |
| Research Background | Immunoglobulin G (IgG), is one of the most abundant proteins in serum with normal levels between 8-17 mg/mL in adult blood. IgG is important for our defence against microorganisms and the molecules are produced by B lymphocytes as a part of our adaptive immune response. The IgG molecule has two separate functions; to bind to the pathogen that elicited the response and to recruit other cells and molecules to destroy the antigen. The variability of the IgG pool is generated by somatic recombination and the number of specificities in an individual at a given time point is estimated to be 1011 variants. |
| Immunogen | Native Mouse IgG |
| Stability & Storage | Store at -20°C or -80°C for 12 months. Avoid repeated freeze-thaw cycles. |
| Transport | Shipping with blue ice. |
| Size | Quantity | Unit Price | Amount | Operation |
|---|

Copyright © 2015-2026 TargetMol Chemicals Inc. All Rights Reserved.