Shopping Cart
Remove All
Your shopping cart is currently empty
Anti-UBC9/UBE2I Antibody (6S11) is a Rabbit antibody targeting UBC9/UBE2I. Anti-UBC9/UBE2I Antibody (6S11) can be used in ChIP,ICC/IF,IHC,IP,WB.
| Pack Size | Price | USA Warehouse | Global Warehouse | Quantity |
|---|---|---|---|---|
| 50 μL | $296 | 7-10 days | 7-10 days | |
| 100 μL | $498 | 7-10 days | 7-10 days |
| Description | Anti-UBC9/UBE2I Antibody (6S11) is a Rabbit antibody targeting UBC9/UBE2I. Anti-UBC9/UBE2I Antibody (6S11) can be used in ChIP,ICC/IF,IHC,IP,WB. |
| Synonyms | ubiquitin-conjugating enzyme E2I, UBC9, P18, C358B7.1 |
| Ig Type | IgG |
| Clone | 6S11 |
| Reactivity | Human,Mouse,Rat |
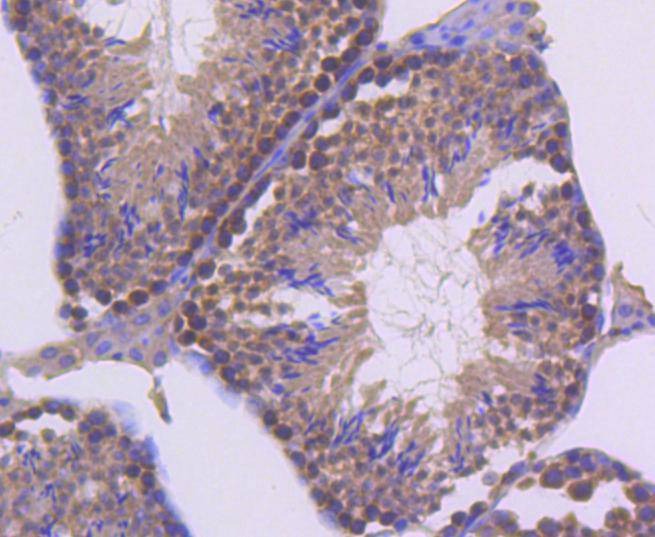
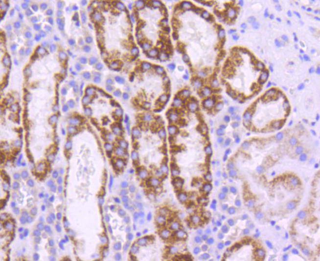
| Verified Activity | 1. Western blot analysis of UBC9 on different lysates using anti-UBC9 antibody at 1/1,000 dilution. Positive control: Lane 1: HepG2, Lane 2: HUVEC. 2. Immunohistochemical analysis of paraffin-embedded human kidney tissue using anti-UBC9 antibody. Counter stained with hematoxylin. 3. Immunohistochemical analysis of paraffin-embedded mouse testis tissue using anti-UBC9 antibody. Counter stained with hematoxylin. 4. ICC staining UBC9 in A431 cells (green). The nuclear counter stain is DAPI (blue). Cells were fixed in paraformaldehyde, permeabilised with 0.25% Triton X100/PBS. 5. ICC staining UBC9 in HepG2 cells (green). The nuclear counter stain is DAPI (blue). Cells were fixed in paraformaldehyde, permeabilised with 0.25% Triton X100/PBS. ![]() ![]() ![]() ![]() ![]() |
| Application | |
| Recommended Dose | WB: 1:500-1000; IHC: 1:50-200; ICC/IF: 1:50-200 |
| Antibody Type | Monoclonal |
| Host Species | Rabbit |
| Construction | Recombinant Antibody |
| Purification | ProA affinity purified |
| Appearance | Liquid |
| Formulation | 1*TBS (pH7.4), 1%BSA, 40%Glycerol. Preservative: 0.05% Sodium Azide. |
| Research Background | UBC9 is a component of the ubiquitin-mediated proteolytic pathway, which targets proteins for degradation by the 26S proteasome, mediates endocytosis and directs protein subcellular localization. Ub and Ub-like molecules are systematically transferred from E2 conjugating enzymes to the targeted substrate by way of an E3 ubiquitin ligase. UBC9 functions as an E2 ubiquitin conjugating enzyme that preferentially associates with the ubiquitin homolog designated SUMO-1 or sentrin, a component of the sentrinization complex. Characteristic of the E2 family members, UBC9 contains a conserved cysteine residue that is required for the thio ester formation between Ub-like proteins and the E2 member, and it shares a conserved UBC domain. Substrates for UBC9 include transcription factors E12 and E47 and mitotic regulators RanBP2 and RanGAP1, which indicates that UBC9 may regulate various cellular processes including cell cycle progression and differentiation. |
| Conjucates | Unconjugated |
| Immunogen | Recombinant Protein |
| Uniprot ID |
| Molecular Weight | Theoretical: 18 kDa. |
| Stability & Storage | Store at -20°C or -80°C for 12 months. Avoid repeated freeze-thaw cycles. |
| Transport | Shipping with blue ice. |
| Size | Quantity | Unit Price | Amount | Operation |
|---|

Copyright © 2015-2026 TargetMol Chemicals Inc. All Rights Reserved.