Shopping Cart
Remove All
Your shopping cart is currently empty
Anti-Tyrosinase/TYR Antibody (5B146) is a Rabbit antibody targeting Tyrosinase/TYR. Anti-Tyrosinase/TYR Antibody (5B146) can be used in ICC/IF,IHC,WB.
| Pack Size | Price | USA Warehouse | Global Warehouse | Quantity |
|---|---|---|---|---|
| 50 μL | $297 | 7-10 days | 7-10 days | |
| 100 μL | $497 | 7-10 days | 7-10 days |
| Description | Anti-Tyrosinase/TYR Antibody (5B146) is a Rabbit antibody targeting Tyrosinase/TYR. Anti-Tyrosinase/TYR Antibody (5B146) can be used in ICC/IF,IHC,WB. |
| Synonyms | Tyrosinase, TYR, Tumor rejection antigen AB, SK29-AB, Monophenol monooxygenase, LB24-AB |
| Ig Type | IgG |
| Clone | 5B146 |
| Reactivity | Human |
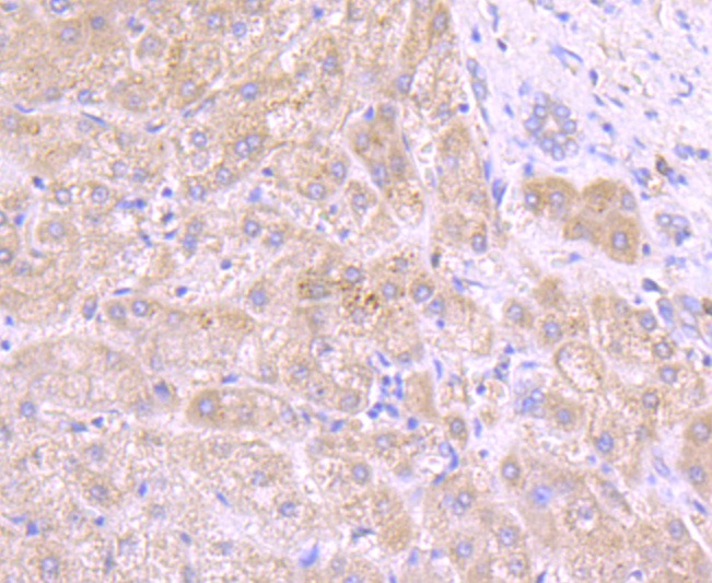
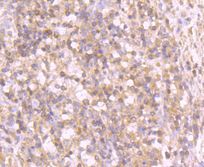
| Verified Activity | 1. Immunohistochemical analysis of paraffin-embedded human liver tissue using anti-Tyrosinase antibody. Counter stained with hematoxylin. 2. Immunohistochemical analysis of paraffin-embedded human stomach cancer tissue using anti-Tyrosinase antibody. Counter stained with hematoxylin. 3. ICC staining Tyrosinase in A431 cells (red). The nuclear counter stain is DAPI (blue). Cells were fixed in paraformaldehyde, permeabilised with 0.25% Triton X100/PBS. 4. ICC staining Tyrosinase in B16F1 cells (red). The nuclear counter stain is DAPI (blue). Cells were fixed in paraformaldehyde, permeabilised with 0.25% Triton X100/PBS. 5. ICC staining Tyrosinase in MCF-7 cells (red). The nuclear counter stain is DAPI (blue). Cells were fixed in paraformaldehyde, permeabilised with 0.25% Triton X100/PBS. ![]() ![]() ![]() ![]() ![]() |
| Application | |
| Recommended Dose | WB: 1:500-1000; IHC: 1:50-200; ICC/IF: 1:100-500 |
| Antibody Type | Monoclonal |
| Host Species | Rabbit |
| Construction | Recombinant Antibody |
| Purification | ProA affinity purified |
| Appearance | Liquid |
| Formulation | 1*TBS (pH7.4), 1%BSA, 40%Glycerol. Preservative: 0.05% Sodium Azide. |
| Research Background | This is a copper-containing oxidase that functions in the formation of pigments such as melanins and other polyphenolic compounds. Catalyzes the initial and rate limiting step in the cascade of reactions leading to melanin production from tyrosine. In addition to hydroxylating tyrosine to DOPA (3,4-dihydroxyphenylalanine), also catalyzes the oxidation of DOPA to DOPA-quinone, and possibly the oxidation of DHI (5,6-dihydroxyindole) to indole-5,6 quinone. Defects in TYR are the cause of albinism oculocutaneous type 1B (OCA1B) [MIM:606952]; also known as albinism yellow mutant type. An autosomal recessive disorder in which the biosynthesis of melanin pigment is reduced in skin, hair, and eyes. It is characterized by partial lack of tyrosinase activity. |
| Conjucates | Unconjugated |
| Immunogen | Recombinant Protein |
| Uniprot ID |
| Molecular Weight | Theoretical: 80 kDa. |
| Stability & Storage | Store at -20°C or -80°C for 12 months. Avoid repeated freeze-thaw cycles. |
| Transport | Shipping with blue ice. |
| Size | Quantity | Unit Price | Amount | Operation |
|---|

Copyright © 2015-2026 TargetMol Chemicals Inc. All Rights Reserved.