Shopping Cart
Remove All
Your shopping cart is currently empty
Anti-Sphingosine Kinase 1/SPHK1 Antibody (6L121) is a Rabbit antibody targeting Sphingosine Kinase 1/SPHK1. Anti-Sphingosine Kinase 1/SPHK1 Antibody (6L121) can be used in FCM,IHC,WB.
| Pack Size | Price | USA Warehouse | Global Warehouse | Quantity |
|---|---|---|---|---|
| 50 μL | $298 | 7-10 days | 7-10 days | |
| 100 μL | $498 | 7-10 days | 7-10 days |
| Description | Anti-Sphingosine Kinase 1/SPHK1 Antibody (6L121) is a Rabbit antibody targeting Sphingosine Kinase 1/SPHK1. Anti-Sphingosine Kinase 1/SPHK1 Antibody (6L121) can be used in FCM,IHC,WB. |
| Synonyms | SPK, SPHK1, SPHK, sphingosine kinase 1 |
| Ig Type | IgG |
| Clone | 6L121 |
| Reactivity | Human,Mouse,Rat |
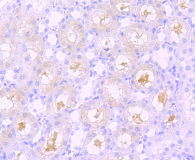
| Verified Activity | 1. Western blot analysis of SPHK1 on C2C12 lysates using anti-SPHK1 antibody at 1/1,000 dilution. 2. Immunohistochemical analysis of paraffin-embedded human kidney tissue using anti-SPHK1 antibody. Counter stained with hematoxylin. 3. Immunohistochemical analysis of paraffin-embedded rat kidney tissue using anti-SPHK1 antibody. Counter stained with hematoxylin. 4. Flow cytometric analysis of Raji cells with SPHK1 antibody at 1/100 dilution (red) compared with an unlabelled control (cells without incubation with primary antibody; black). ![]() ![]() ![]() ![]() |
| Application | |
| Recommended Dose | WB: 1:500-1000; IHC: 1:50-200; FCM: 1:50 |
| Antibody Type | Monoclonal |
| Host Species | Rabbit |
| Construction | Recombinant Antibody |
| Purification | ProA affinity purified |
| Appearance | Liquid |
| Formulation | 1*TBS (pH7.4), 1%BSA, 40%Glycerol. Preservative: 0.05% Sodium Azide. |
| Research Background | Sphingosine kinase (SphK or SphK1) is a key enzyme catalyzing the phosphorylation of sphingosine to form sphingosine 1-phosphate (SPP or S1P). Competitive inhibitors of SphK1 block formation of SPP and selectively inhibit cellular proliferation induced by a variety of factors. One potent inhibitor of SphK1 activity is DMS (N,N-dimethylsphingosine). SPP/SphK1 has been implicated as a signaling pathway that regulates diverse cellular functions, including cell growth, proliferation and survival. Specifically, SphK1 is involved in the signaling pathway(s) that protects human hepatocytes from the apoptotic action of TNFα. Furthermore, SPP/SphK1 may play an important role in neuronal survival by regulating activation of SAPKs and caspases. SphK1 is widely expressed with highest levels in adult liver, kidney, heart and skeletal muscle; however, activation of SphK1 disengages cells from their liver-specific phenotype. |
| Conjucates | Unconjugated |
| Immunogen | Recombinant Protein |
| Uniprot ID |
| Molecular Weight | Theoretical: 51 kDa. |
| Stability & Storage | Store at -20°C or -80°C for 12 months. Avoid repeated freeze-thaw cycles. |
| Transport | Shipping with blue ice. |
| Size | Quantity | Unit Price | Amount | Operation |
|---|

Copyright © 2015-2026 TargetMol Chemicals Inc. All Rights Reserved.