Shopping Cart
Remove All
Your shopping cart is currently empty
Anti-S100A10 Antibody (8Q369) is a Rabbit antibody targeting S100A10. Anti-S100A10 Antibody (8Q369) can be used in IHC,WB.
| Pack Size | Price | USA Warehouse | Global Warehouse | Quantity |
|---|---|---|---|---|
| 50 μL | $297 | 7-10 days | 7-10 days | |
| 100 μL | $497 | 7-10 days | 7-10 days |
| Description | Anti-S100A10 Antibody (8Q369) is a Rabbit antibody targeting S100A10. Anti-S100A10 Antibody (8Q369) can be used in IHC,WB. |
| Synonyms | S100 calcium binding protein A10, P11, p10, MGC111133, GP11, CLP11, CAL1L, Ca[1], ANX2LG, ANX2L, 42C |
| Ig Type | IgG |
| Clone | 8Q369 |
| Reactivity | Human,Mouse |
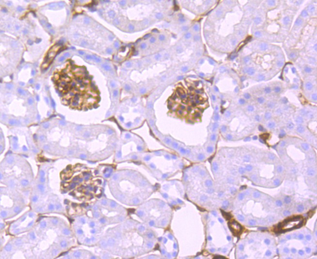
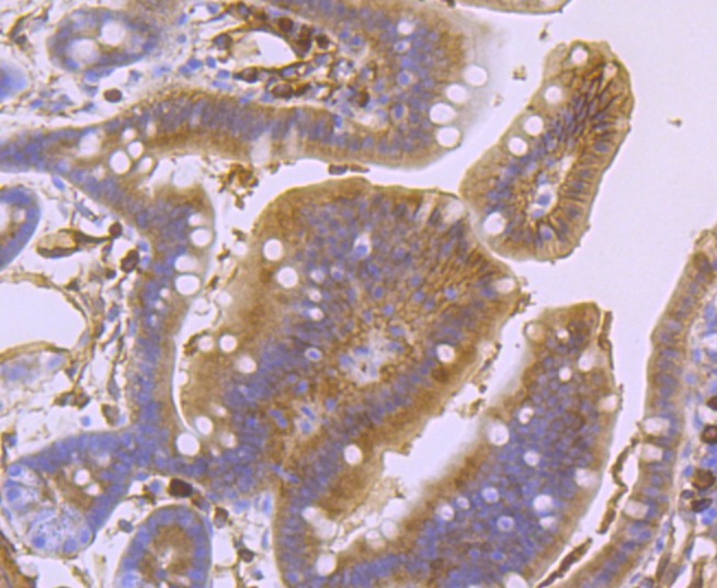
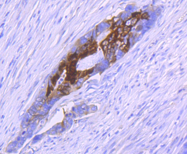
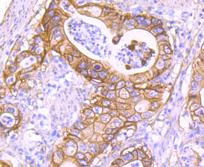
| Verified Activity | 1. Western blot analysis of S100A10 on human lung lysates using anti-S100A10 antibody at 1/1,000 dilution. 2. Immunohistochemical analysis of paraffin-embedded human colon cancer tissue using anti-S100A10 antibody. Counter stained with hematoxylin. 3. Immunohistochemical analysis of paraffin-embedded human kidney tissue using anti-S100A10 antibody. Counter stained with hematoxylin. 4. Immunohistochemical analysis of paraffin-embedded human gastric carcinoma tissue using anti-S100A10 antibody. Counter stained with hematoxylin. 5. Immunohistochemical analysis of paraffin-embedded mouse kidney tissue using anti-S100A10 antibody. Counter stained with hematoxylin. 6. Immunohistochemical analysis of paraffin-embedded mouse colon tissue using anti-S100A10 antibody. Counter stained with hematoxylin. ![]() ![]() ![]() ![]() ![]() ![]() |
| Application | |
| Recommended Dose | WB: 1:1000-2000; IHC: 1:50-200 |
| Antibody Type | Monoclonal |
| Host Species | Rabbit |
| Construction | Recombinant Antibody |
| Purification | ProA affinity purified |
| Appearance | Liquid |
| Formulation | 1*TBS (pH7.4), 1%BSA, 40%Glycerol. Preservative: 0.05% Sodium Azide. |
| Research Background | The S-100 family of calcium-activated proteins interact with a range of target proteins to modulate biological signaling pathways. Numerous cancer cell lines overexpress the plasminogen receptor S-100A10 on the extracellular cell surface, where it forms a heterotetrameric complex with Annexin II, though this association is not required for plasma membrane localization or binding and activation of plasminogen. Additionally, S-100A10 acts as a cellular chaperone for hepatitis B (Hep B) virus polymerase. Hep B virus polymerase normally localizes to the cytoplasm only, though in the presence of S-100A10 a portion relocates to the nucleus, implying a role for S-100A10 and intracellular calcium in the process of viral replication. |
| Conjucates | Unconjugated |
| Immunogen | Recombinant Protein |
| Uniprot ID |
| Molecular Weight | Theoretical: 11 kDa. |
| Stability & Storage | Store at -20°C or -80°C for 12 months. Avoid repeated freeze-thaw cycles. |
| Transport | Shipping with blue ice. |
| Size | Quantity | Unit Price | Amount | Operation |
|---|

Copyright © 2015-2026 TargetMol Chemicals Inc. All Rights Reserved.